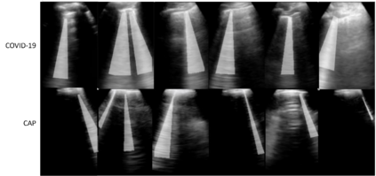
Lung ultrasound imaging has been shown effective in detecting typical patterns for interstitial pneumonia, as a point-of-care tool for both patients with COVID-19 and other community-acquired pneumonia (CAP). In this work, we focus on the hyperechoic B-line segmentation task. Using deep neural networks, we automatically outline the regions that are indicative of pathology-sensitive artifacts and their associated sonographic patterns. With a real-world data-scarce scenario, we investigate approaches to utilize both COVID-19 and CAP lung ultrasound data to train the networks; comparing fine-tuning and unsupervised domain adaptation. Segmenting either type of lung condition at inference may support a range of clinical applications during evolving epidemic stages, but also demonstrates value in resource-constrained clinical scenarios. Adapting real clinical data acquired from COVID-19 patients to those from CAP patients significantly improved Dice scores from 0.60 to 0.87 (p < 0.001) and from 0.43 to 0.71 (p < 0.001), on independent COVID-19 and CAP test cases, respectively. It is of practical value that the improvement was demonstrated with only a small amount of data in both training and adaptation data sets, a common constraint for deploying machine learning models in clinical practice. Interestingly, we also report that the inverse adaptation, from labelled CAP data to unlabeled COVID-19 data, did not demonstrate an improvement when tested on either condition. Furthermore, we offer a possible explanation that correlates the segmentation performance to label consistency and data domain diversity in this point-of-care lung ultrasound application.


翻译:肺部超声成像显示,在发现肺部间肺炎典型模式方面,作为COVID-19和其他社区肺炎(CAP)患者的护理点工具,肺部超声成像显示非常有效。在这项工作中,我们注重超速B线分解任务。我们利用深神经网络,自动概括显示病理敏感的人工制品及其相关声学模式的区域。在真实世界数据缺损假设中,我们调查了利用COVID-19和CAP肺部超声波数据来培训网络的方法;比较了微调和不受监督的域域适应。将肺部状况分为两种类型,可能支持流行病各阶段的一系列临床应用,但也展示了资源受限制的临床假设情景的价值。将从COVID-19病人获得的实际临床数据调整为CAP病人的病情图。将Dice的得分从0.60至0.87(p <0.001)和0.43至0.71(p < 0.001),独立COVID-19和CAP测试案例的得分数数据均值进行测试;将肺部肺部病况进行精确的改善,从我们进行临床数据调整时,在数据库数据调整时,也显示了标准化数据调整数据的准确度的改进,数据,只是数据调整数据,数据,从数据库数据调整数据,从试测测测测测测测数据数据,从一个数据,从试数据,从试数据,从试度为标准数据,从试数据,从试度数据,从试数据,从试为标准数据,到试度的度数据,从试度数据,从试度数据,从试度数据,从试度为标准,到试度数据,从试度,从试测测测测测测测度数据,从试。

0
下载
关闭预览

相关内容

CAP原则又称CAP定理,指的是在一个分布式系统中,Consistency(一致性)、 Availability(可用性)、Partition tolerance(分区容错性),三者不可得兼。
专知会员服务
27+阅读 · 2021年8月24日
专知会员服务
90+阅读 · 2021年6月29日
【NeurIPS 2020】对比学习全局和局部医学图像分割特征
专知会员服务
44+阅读 · 2020年10月20日
2019年机器学习框架回顾
专知会员服务
36+阅读 · 2019年10月11日
已删除
将门创投
3+阅读 · 2019年6月12日
Hierarchically Structured Meta-learning
CreateAMind
27+阅读 · 2019年5月22日
Transferring Knowledge across Learning Processes
CreateAMind
29+阅读 · 2019年5月18日
TorchSeg:基于pytorch的语义分割算法开源了
极市平台
20+阅读 · 2019年1月28日
Unsupervised Learning via Meta-Learning
CreateAMind
43+阅读 · 2019年1月3日
meta learning 17年:MAML SNAIL
CreateAMind
11+阅读 · 2019年1月2日
A Technical Overview of AI & ML in 2018 & Trends for 2019
待字闺中
18+阅读 · 2018年12月24日
Disentangled的假设的探讨
CreateAMind
9+阅读 · 2018年12月10日
【推荐】YOLO实时目标检测(6fps)
机器学习研究会
20+阅读 · 2017年11月5日
深度学习医学图像分析文献集
机器学习研究会
19+阅读 · 2017年10月13日
Arxiv
0+阅读 · 2021年10月3日
VIP会员
相关资讯
已删除
将门创投
3+阅读 · 2019年6月12日
Hierarchically Structured Meta-learning
CreateAMind
27+阅读 · 2019年5月22日
Transferring Knowledge across Learning Processes
CreateAMind
29+阅读 · 2019年5月18日
TorchSeg:基于pytorch的语义分割算法开源了
极市平台
20+阅读 · 2019年1月28日
Unsupervised Learning via Meta-Learning
CreateAMind
43+阅读 · 2019年1月3日
meta learning 17年:MAML SNAIL
CreateAMind
11+阅读 · 2019年1月2日
A Technical Overview of AI & ML in 2018 & Trends for 2019
待字闺中
18+阅读 · 2018年12月24日
Disentangled的假设的探讨
CreateAMind
9+阅读 · 2018年12月10日
【推荐】YOLO实时目标检测(6fps)
机器学习研究会
20+阅读 · 2017年11月5日
深度学习医学图像分析文献集
机器学习研究会
19+阅读 · 2017年10月13日
Top
微信扫码咨询专知VIP会员