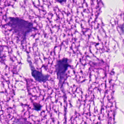
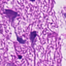
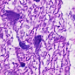
Deep neural networks for image quality enhancement typically need large quantities of highly-curated training data comprising pairs of low-quality images and their corresponding high-quality images. While high-quality image acquisition is typically expensive and time-consuming, medium-quality images are faster to acquire, at lower equipment costs, and available in larger quantities. Thus, we propose a novel generative adversarial network (GAN) that can leverage training data at multiple levels of quality (e.g., high and medium quality) to improve performance while limiting costs of data curation. We apply our mixed-supervision GAN to (i) super-resolve histopathology images and (ii) enhance laparoscopy images by combining super-resolution and surgical smoke removal. Results on large clinical and pre-clinical datasets show the benefits of our mixed-supervision GAN over the state of the art.


翻译:提高图像质量的深神经网络通常需要大量高精密的培训数据,包括低质量图像及其相应的高质量图像。虽然高质量图像的获取通常费用昂贵且耗时,但中质量图像的获取速度较快,设备成本较低,且数量较多。因此,我们提议建立一个新型的基因对抗网络(GAN),利用多种质量(例如高质量和中质量)的培训数据提高性能,同时限制数据整理的成本。我们将混合监督GAN应用到(i) 超溶性组织病理学图像,(ii) 通过合并超分辨率和外科烟雾清除,加强腹腔镜图像。大型临床和临床前数据集显示我们混合监督GAN对艺术状态的好处。

0
下载
关闭预览

相关内容

GAN:生成性对抗网,深度学习模型的一种,在神经网络模型中引入竞争机制,非常流行。
专知会员服务
45+阅读 · 2020年10月31日
【Google】平滑对抗训练,Smooth Adversarial Training
专知会员服务
49+阅读 · 2020年7月4日
disentangled-representation-papers
CreateAMind
26+阅读 · 2018年9月12日
997篇-历史最全生成对抗网络(GAN)论文串烧
深度学习与NLP
16+阅读 · 2018年6月26日
条件GAN重大改进!cGANs with Projection Discriminator
CreateAMind
8+阅读 · 2018年2月7日
计算机视觉近一年进展综述
机器学习研究会
9+阅读 · 2017年11月25日
gan生成图像at 1024² 的 代码 论文
CreateAMind
4+阅读 · 2017年10月31日
Adversarial Variational Bayes: Unifying VAE and GAN 代码
CreateAMind
7+阅读 · 2017年10月4日
Auto-Encoding GAN
CreateAMind
7+阅读 · 2017年8月4日
Arxiv
9+阅读 · 2021年5月17日
Arxiv
3+阅读 · 2020年7月16日
VIP会员
相关资讯
disentangled-representation-papers
CreateAMind
26+阅读 · 2018年9月12日
997篇-历史最全生成对抗网络(GAN)论文串烧
深度学习与NLP
16+阅读 · 2018年6月26日
条件GAN重大改进!cGANs with Projection Discriminator
CreateAMind
8+阅读 · 2018年2月7日
计算机视觉近一年进展综述
机器学习研究会
9+阅读 · 2017年11月25日
gan生成图像at 1024² 的 代码 论文
CreateAMind
4+阅读 · 2017年10月31日
Adversarial Variational Bayes: Unifying VAE and GAN 代码
CreateAMind
7+阅读 · 2017年10月4日
Auto-Encoding GAN
CreateAMind
7+阅读 · 2017年8月4日
Top
微信扫码咨询专知VIP会员