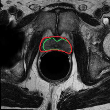
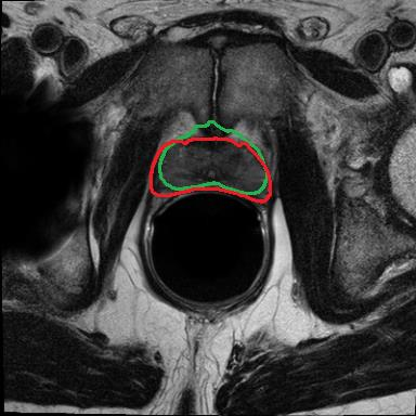
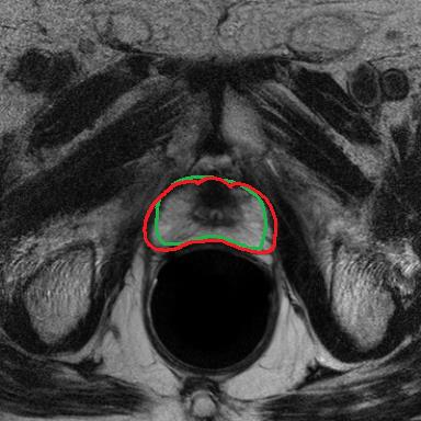
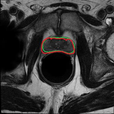
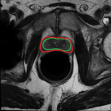
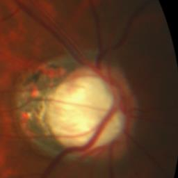
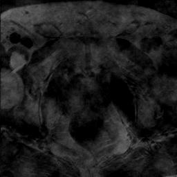
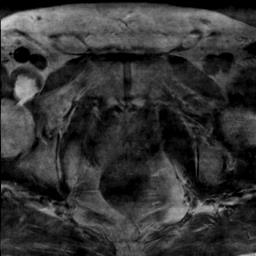
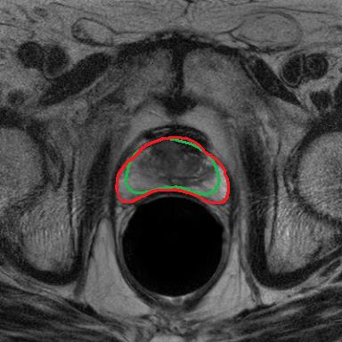
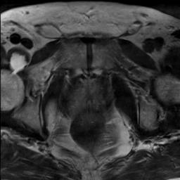
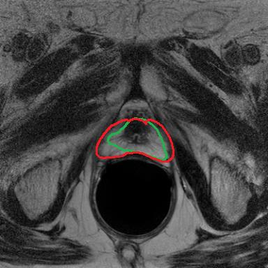
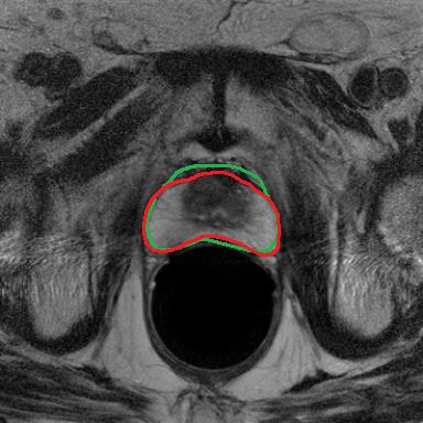
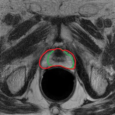
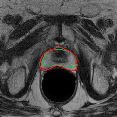
Modern deep neural networks struggle to transfer knowledge and generalize across diverse domains when deployed to real-world applications. Currently, domain generalization (DG) is introduced to learn a universal representation from multiple domains to improve the network generalization ability on unseen domains. However, previous DG methods only focus on the data-level consistency scheme without considering the synergistic regularization among different consistency schemes. In this paper, we present a novel Hierarchical Consistency framework for Domain Generalization (HCDG) by integrating Extrinsic Consistency and Intrinsic Consistency synergistically. Particularly, for the Extrinsic Consistency, we leverage the knowledge across multiple source domains to enforce data-level consistency. To better enhance such consistency, we design a novel Amplitude Gaussian-mixing strategy into Fourier-based data augmentation called DomainUp. For the Intrinsic Consistency, we perform task-level consistency for the same instance under the dual-task scenario. We evaluate the proposed HCDG framework on two medical image segmentation tasks, i.e., optic cup/disc segmentation on fundus images and prostate MRI segmentation. Extensive experimental results manifest the effectiveness and versatility of our HCDG framework.


翻译:现代深层神经网络在应用到现实世界应用时,努力转让知识,并在不同领域推广知识。目前,引入了领域通用(DG),以学习多个领域的普遍代表性,以提高在无形领域的网络通用能力。然而,以前的DG方法只侧重于数据级一致性计划,而没有考虑不同一致性计划之间的协同规范。在本文件中,我们介绍了一个新的横向总体化等级一致性框架(HCDG),将外部一致性和内在一致性结合起来。特别是,对于极端一致性,我们利用多个来源领域的知识,加强数据级一致性。为了更好地增强这种一致性,我们设计了一个新的宽度混合战略,将其纳入基于四重数据增强系统,称为DomainUp。对于 " 内在一致性 ",我们通过在双重任务设想下为同一领域执行任务层面的一致性。我们评估了拟议的HCDG框架,涉及两个医学图像分块任务,即:Indministic Conforality Cal-DGForal Pal-DGFDRal-DFAFDFDAFAFDFDFDAFDRAFDFDFMDFDFDFDFDFDFAFAFDFDFDFDFDFAFAFDFDFDFDFDFAFAFAFDFDFAFAFAFAFAFAFAFAFAFAFAFDFAFAFAFAFAFDFDFAFDFAFAFAFAFAFAFDFAFAFDFAFAFFAFAFAFAFAFAFAFAFAFAFAFAFAFAFAFAFAFAFAFAFAFAFAFAFAFAFAFAFAFAFAFAFAFAFAFAFAFAFAFAFAFAFAFAFAFAFAFAFAFAFAFAFAFAFAFAFA,我们。 和GAFAFAFAFAFAFAFAFAFA,我们。

0
下载
关闭预览

相关内容

专知会员服务
26+阅读 · 2021年4月2日
专知会员服务
45+阅读 · 2020年10月31日
专知会员服务
61+阅读 · 2020年3月19日
100+篇《自监督学习(Self-Supervised Learning)》论文最新合集
专知会员服务
167+阅读 · 2020年3月18日
机器学习入门的经验与建议
专知会员服务
94+阅读 · 2019年10月10日
IEEE ICKG 2022: Call for Papers
机器学习与推荐算法
3+阅读 · 2022年3月30日
ACM MM 2022 Call for Papers
CCF多媒体专委会
5+阅读 · 2022年3月29日
AIART 2022 Call for Papers
CCF多媒体专委会
1+阅读 · 2022年2月13日
【ICIG2021】Check out the hot new trailer of ICIG2021 Symposium9
中国图象图形学学会CSIG
0+阅读 · 2021年12月17日
Hierarchically Structured Meta-learning
CreateAMind
27+阅读 · 2019年5月22日
Transferring Knowledge across Learning Processes
CreateAMind
29+阅读 · 2019年5月18日
Unsupervised Learning via Meta-Learning
CreateAMind
43+阅读 · 2019年1月3日
A Technical Overview of AI & ML in 2018 & Trends for 2019
待字闺中
18+阅读 · 2018年12月24日
disentangled-representation-papers
CreateAMind
26+阅读 · 2018年9月12日
国家自然科学基金
0+阅读 · 2015年12月31日
国家自然科学基金
0+阅读 · 2014年12月31日
国家自然科学基金
0+阅读 · 2014年12月31日
国家自然科学基金
0+阅读 · 2014年12月31日
国家自然科学基金
0+阅读 · 2013年12月31日
国家自然科学基金
0+阅读 · 2013年12月31日
国家自然科学基金
0+阅读 · 2012年12月31日
VIP会员
相关资讯
IEEE ICKG 2022: Call for Papers
机器学习与推荐算法
3+阅读 · 2022年3月30日
ACM MM 2022 Call for Papers
CCF多媒体专委会
5+阅读 · 2022年3月29日
AIART 2022 Call for Papers
CCF多媒体专委会
1+阅读 · 2022年2月13日
【ICIG2021】Check out the hot new trailer of ICIG2021 Symposium9
中国图象图形学学会CSIG
0+阅读 · 2021年12月17日
Hierarchically Structured Meta-learning
CreateAMind
27+阅读 · 2019年5月22日
Transferring Knowledge across Learning Processes
CreateAMind
29+阅读 · 2019年5月18日
Unsupervised Learning via Meta-Learning
CreateAMind
43+阅读 · 2019年1月3日
A Technical Overview of AI & ML in 2018 & Trends for 2019
待字闺中
18+阅读 · 2018年12月24日
disentangled-representation-papers
CreateAMind
26+阅读 · 2018年9月12日
相关基金
国家自然科学基金
0+阅读 · 2015年12月31日
国家自然科学基金
0+阅读 · 2014年12月31日
国家自然科学基金
0+阅读 · 2014年12月31日
国家自然科学基金
0+阅读 · 2014年12月31日
国家自然科学基金
0+阅读 · 2013年12月31日
国家自然科学基金
0+阅读 · 2013年12月31日
国家自然科学基金
0+阅读 · 2012年12月31日
Top
微信扫码咨询专知VIP会员