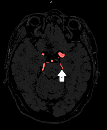
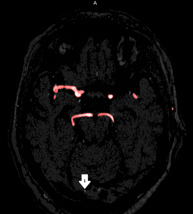
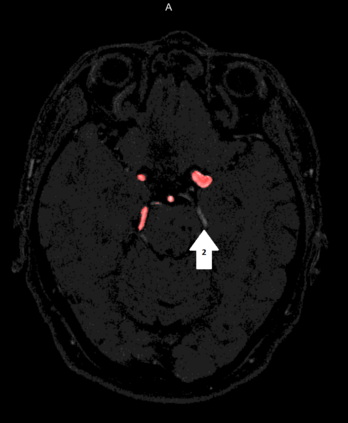
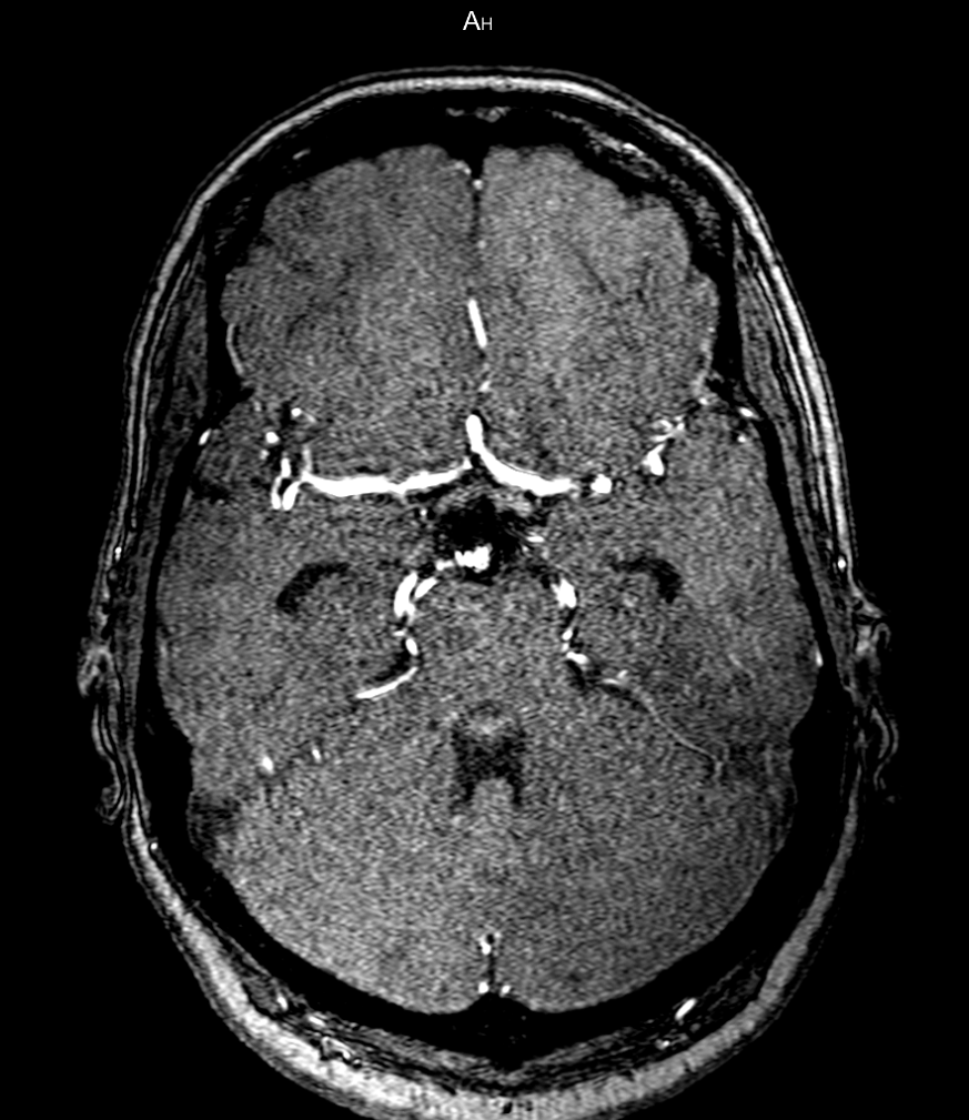
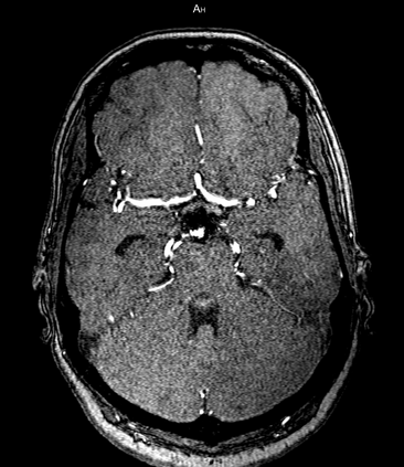
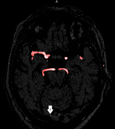
Deep learning approaches may help radiologists in the early diagnosis and timely treatment of cerebrovascular diseases. Accurate cerebral vessel segmentation of Time-of-Flight Magnetic Resonance Angiographs (TOF-MRAs) is an essential step in this process. This study investigates deep learning approaches for automatic, fast and accurate cerebrovascular segmentation for TOF-MRAs. The performance of several data augmentation and selection methods for training a 2D and 3D U-Net for vessel segmentation was investigated in five experiments: a) without augmentation, b) Gaussian blur, c) rotation and flipping, d) Gaussian blur, rotation and flipping and e) different input patch sizes. All experiments were performed by patch-training both a 2D and 3D U-Net and predicted on a test set of MRAs. Ground truth was manually defined using an interactive threshold and region growing method. The performance was evaluated using the Dice Similarity Coefficient (DSC), Modified Hausdorff Distance and Volumetric Similarity, between the predicted images and the interactively defined ground truth. The segmentation performance of all trained networks on the test set was found to be good, with DSC scores ranging from 0.72 to 0.83. Both the 2D and 3D U-Net had the best segmentation performance with Gaussian blur, rotation and flipping compared to other experiments without augmentation or only one of those augmentation techniques. Additionally, training on larger patches or slices gave optimal segmentation results. In conclusion, vessel segmentation can be optimally performed on TOF-MRAs using a trained 3D U-Net on larger patches, where data augmentation including Gaussian blur, rotation and flipping was performed on the training data.


翻译:深层学习方法可能有助于放射学家早期诊断和及时治疗脑血管疾病。在这个过程中,精密的脑血管容器分解是一个重要的步骤。本研究调查了托福-MRA的自动、快速和精确脑血管分解的深层学习方法。在五个实验中调查了用于训练2D和3D U-Net用于船只分解的若干数据增强和选择方法的性能:(a) 没有增强, b) 高尔夫模糊, c) 旋转和翻转, d) 光光放大磁磁共振反应动动动动像仪(TOF-MRA) 准确的脑血管分解过程是这个过程中的一个重要步骤。所有实验都是通过2D和3DU-网络的补习训练进行。 地面真相是用交互式门槛和区域增长方法手工界定的。 使用DPice Gality Covality(D)、 Moddddformation and 量相似性能评估,在预测图像和互动-SLEAR 3中,通过S-SL 测试了最佳的精度数据分解过程。在最佳的精度上,在SL 3-C-C-C-C-C-C-SD-SD-S-S-C-SD-S-S-S-S-S-S-S-S-S-S-S-S-S-S-S-S-S-S-S-S-S-S-S-S-S-S-S-S-S-S-S-S-S-S-S-S-S-S-S-S-S-SD-S-S-S-S-S-S-S-S-S-S-S-S-S-S-S-S-S-S-S-S-S-S-S-S-S-S-S-S-S-S-S-S-S-S-S-S-S-S-S-S-S-S-S-S-S-S-S-S-S-S-S-S-S-S-S-S-S-S-S-S-S-S-S-S-S-S-S-S-S-S-S-S

0
下载
关闭预览

相关内容

Linux导论,Introduction to Linux,96页ppt
专知会员服务
82+阅读 · 2020年7月26日
Stabilizing Transformers for Reinforcement Learning
专知会员服务
60+阅读 · 2019年10月17日
Keras François Chollet 《Deep Learning with Python 》, 386页pdf
专知会员服务
161+阅读 · 2019年10月12日
机器学习入门的经验与建议
专知会员服务
94+阅读 · 2019年10月10日
【SIGGRAPH2019】TensorFlow 2.0深度学习计算机图形学应用
专知会员服务
41+阅读 · 2019年10月9日
Transferring Knowledge across Learning Processes
CreateAMind
29+阅读 · 2019年5月18日
Unsupervised Learning via Meta-Learning
CreateAMind
43+阅读 · 2019年1月3日
已删除
将门创投
8+阅读 · 2018年10月31日
笔记 | Deep active learning for named entity recognition
黑龙江大学自然语言处理实验室
24+阅读 · 2018年5月27日
Reinforcement Learning: An Introduction 2018第二版 500页
CreateAMind
14+阅读 · 2018年4月27日
Deep Reinforcement Learning 深度增强学习资源
数据挖掘入门与实战
7+阅读 · 2017年11月4日
最佳实践:深度学习用于自然语言处理(三)
待字闺中
3+阅读 · 2017年8月20日
强化学习 cartpole_a3c
CreateAMind
9+阅读 · 2017年7月21日
Arxiv
0+阅读 · 2021年3月17日
Arxiv
0+阅读 · 2021年3月16日
Arxiv
3+阅读 · 2019年6月5日
VIP会员
相关资讯
Transferring Knowledge across Learning Processes
CreateAMind
29+阅读 · 2019年5月18日
Unsupervised Learning via Meta-Learning
CreateAMind
43+阅读 · 2019年1月3日
已删除
将门创投
8+阅读 · 2018年10月31日
笔记 | Deep active learning for named entity recognition
黑龙江大学自然语言处理实验室
24+阅读 · 2018年5月27日
Reinforcement Learning: An Introduction 2018第二版 500页
CreateAMind
14+阅读 · 2018年4月27日
Deep Reinforcement Learning 深度增强学习资源
数据挖掘入门与实战
7+阅读 · 2017年11月4日
最佳实践:深度学习用于自然语言处理(三)
待字闺中
3+阅读 · 2017年8月20日
强化学习 cartpole_a3c
CreateAMind
9+阅读 · 2017年7月21日
Top
微信扫码咨询专知VIP会员