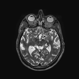
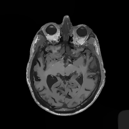
Multi-modality (or multi-channel) imaging is becoming increasingly important and more widely available, e.g. hyperspectral imaging in remote sensing, spectral CT in material sciences as well as multi-contrast MRI and PET-MR in medicine. Research in the last decades resulted in a plethora of mathematical methods to combine data from several modalities. State-of-the-art methods, often formulated as variational regularization, have shown to significantly improve image reconstruction both quantitatively and qualitatively. Almost all of these models rely on the assumption that the modalities are perfectly registered, which is not the case in most real world applications. We propose a variational framework which jointly performs reconstruction and registration, thereby overcoming this hurdle. Numerical results on simulated and real data show the potential of the proposed strategy for various applications in multi-contrast MRI, PET-MR, and hyperspectral imaging: typical misalignments between modalities such as rotations, translations, zooms can be effectively corrected during the reconstruction process. Therefore the proposed framework allows the robust exploitation of shared information across multiple modalities under real conditions.


翻译:多模式(或多通道)成像越来越重要,而且越来越普及,例如遥感中的超光谱成像、材料科学中的光谱CT以及医学中的多调MRI和PET-MR等,过去几十年的研究产生了大量数学方法,将多种模式的数据结合起来。通常作为变异性正规化的先进方法表明,在数量和质量上都大大改进了图像重建。几乎所有这些模型都基于这样一种假设,即模式已经完全登记,而在大多数现实世界应用中情况并非如此。我们提议了一个变通框架,共同进行重建和登记,从而克服这一障碍。模拟和实际数据的数字结果显示,拟议的多调MRI、PET-MR和超光谱成像的各种应用战略具有潜力:在重建过程中可以有效地纠正诸如轮换、翻译、缩影等模式之间的典型的不匹配。因此,拟议的框架允许在现实条件下,在多种模式中大力利用共享的信息。

0
下载
关闭预览

相关内容

《计算机信息》杂志发表高质量的论文,扩大了运筹学和计算的范围,寻求有关理论、方法、实验、系统和应用方面的原创研究论文、新颖的调查和教程论文,以及描述新的和有用的软件工具的论文。官网链接:https://pubsonline.informs.org/journal/ijoc
Python图像处理,366页pdf,Image Operators Image Processing in Python
自动结构变分推理,Automatic structured variational inference
专知会员服务
41+阅读 · 2020年2月10日
计算机 | IUI 2020等国际会议信息4条
Call4Papers
6+阅读 · 2019年6月17日
Hierarchically Structured Meta-learning
CreateAMind
27+阅读 · 2019年5月22日
计算机 | USENIX Security 2020等国际会议信息5条
Call4Papers
7+阅读 · 2019年4月25日
深度自进化聚类:Deep Self-Evolution Clustering
我爱读PAMI
15+阅读 · 2019年4月13日
disentangled-representation-papers
CreateAMind
26+阅读 · 2018年9月12日
Hierarchical Disentangled Representations
CreateAMind
4+阅读 · 2018年4月15日
人工智能 | 国际会议截稿信息9条
Call4Papers
4+阅读 · 2018年3月13日
计算机类 | 期刊专刊截稿信息9条
Call4Papers
4+阅读 · 2018年1月26日
Auto-Encoding GAN
CreateAMind
7+阅读 · 2017年8月4日
【今日新增】计算机领域国际会议截稿信息
Call4Papers
9+阅读 · 2017年7月21日
Arxiv
0+阅读 · 2020年11月25日
Arxiv
0+阅读 · 2020年11月20日
Arxiv
3+阅读 · 2020年2月5日
Arxiv
5+阅读 · 2019年6月5日
Arxiv
5+阅读 · 2018年1月17日
VIP会员
相关VIP内容
Python图像处理,366页pdf,Image Operators Image Processing in Python
自动结构变分推理,Automatic structured variational inference
专知会员服务
41+阅读 · 2020年2月10日
相关资讯
计算机 | IUI 2020等国际会议信息4条
Call4Papers
6+阅读 · 2019年6月17日
Hierarchically Structured Meta-learning
CreateAMind
27+阅读 · 2019年5月22日
计算机 | USENIX Security 2020等国际会议信息5条
Call4Papers
7+阅读 · 2019年4月25日
深度自进化聚类:Deep Self-Evolution Clustering
我爱读PAMI
15+阅读 · 2019年4月13日
disentangled-representation-papers
CreateAMind
26+阅读 · 2018年9月12日
Hierarchical Disentangled Representations
CreateAMind
4+阅读 · 2018年4月15日
人工智能 | 国际会议截稿信息9条
Call4Papers
4+阅读 · 2018年3月13日
计算机类 | 期刊专刊截稿信息9条
Call4Papers
4+阅读 · 2018年1月26日
Auto-Encoding GAN
CreateAMind
7+阅读 · 2017年8月4日
【今日新增】计算机领域国际会议截稿信息
Call4Papers
9+阅读 · 2017年7月21日
Top
微信扫码咨询专知VIP会员