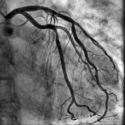
Blood vessel segmentation is crucial for many diagnostic and research applications. In recent years, CNN-based models have leaded to breakthroughs in the task of segmentation, however, such methods usually lose high-frequency information like object boundaries and subtle structures, which are vital to vessel segmentation. To tackle this issue, we propose Boundary Enhancement and Feature Denoising (BEFD) module to facilitate the network ability of extracting boundary information in semantic segmentation, which can be integrated into arbitrary encoder-decoder architecture in an end-to-end way. By introducing Sobel edge detector, the network is able to acquire additional edge prior, thus enhancing boundary in an unsupervised manner for medical image segmentation. In addition, we also utilize a denoising block to reduce the noise hidden in the low-level features. Experimental results on retinal vessel dataset and angiocarpy dataset demonstrate the superior performance of the new BEFD module.


翻译:近些年来,有线电视新闻网的模型导致分离任务突破,然而,这类方法通常会失去物体边界和对船只分割至关重要的微妙结构等高频信息;为解决这一问题,我们提议加强边界和地貌分解模块,以促进网络能力,在语义分解中提取边界信息,这种信息可以以端到端的方式纳入任意编码器-分解器结构。通过引入索贝尔边缘探测器,网络能够在之前获得更多边缘,从而以不受监督的方式加强医疗图像分解的边界。此外,我们还利用一个分解区块来减少低层特征中隐藏的噪音。关于再生容器数据集的实验结果和血管合成数据集显示了新的BEFD模块的优异性性表现。

0
下载
关闭预览

相关内容

深度学习搜索,Exploring Deep Learning for Search
专知会员服务
61+阅读 · 2020年5月9日
抢鲜看!13篇CVPR2020论文链接/开源代码/解读
专知会员服务
50+阅读 · 2020年2月26日
Stabilizing Transformers for Reinforcement Learning
专知会员服务
60+阅读 · 2019年10月17日
revelation of MONet
CreateAMind
5+阅读 · 2019年6月8日
PyTorch语义分割开源库semseg
极市平台
25+阅读 · 2019年6月6日
Hierarchically Structured Meta-learning
CreateAMind
27+阅读 · 2019年5月22日
TorchSeg:基于pytorch的语义分割算法开源了
极市平台
20+阅读 · 2019年1月28日
《pyramid Attention Network for Semantic Segmentation》
统计学习与视觉计算组
44+阅读 · 2018年8月30日
Hierarchical Disentangled Representations
CreateAMind
4+阅读 · 2018年4月15日
ResNet, AlexNet, VGG, Inception:各种卷积网络架构的理解
全球人工智能
20+阅读 · 2017年12月17日
Arxiv
8+阅读 · 2018年5月15日
VIP会员
相关VIP内容
深度学习搜索,Exploring Deep Learning for Search
专知会员服务
61+阅读 · 2020年5月9日
抢鲜看!13篇CVPR2020论文链接/开源代码/解读
专知会员服务
50+阅读 · 2020年2月26日
Stabilizing Transformers for Reinforcement Learning
专知会员服务
60+阅读 · 2019年10月17日
Top
微信扫码咨询专知VIP会员