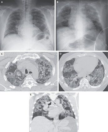
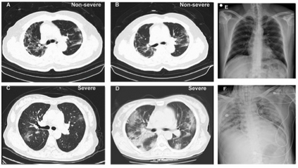
The widely spread CoronaVirus Disease (COVID)-19 is one of the worst infectious disease outbreaks in history and has become an emergency of primary international concern. As the pandemic evolves, academic communities have been actively involved in various capacities, including accurate epidemic estimation, fast clinical diagnosis, policy effectiveness evaluation and development of contract tracing technologies. There are more than 23,000 academic papers on the COVID-19 outbreak, and this number is doubling every 20 days while the pandemic is still on-going [1]. The literature, however, at its early stage, lacks a comprehensive survey from a data analytics perspective. In this paper, we review the latest models for analyzing COVID19 related data, conduct post-publication model evaluations and cross-model comparisons, and collect data sources from different projects.


翻译:广泛传播的Corona Virus病(COVID)-19是历史上最严重的传染病爆发之一,已成为国际社会主要关注的紧急情况,随着这一流行病的发展,学术界积极参与了各种能力,包括准确的流行病估计、快速临床诊断、政策成效评估和合同追踪技术开发,关于Corona Virus病(COVID)-19的爆发有23 000多份学术论文,每20天就有一倍,而该流行病的爆发仍在进行[1]。然而,文献在早期阶段缺乏从数据分析角度进行的全面调查。我们在本文件中审查了分析COVID19相关数据、进行出版后模型评估和跨模式比较以及收集不同项目数据来源的最新模型。

0
下载
关闭预览

相关内容

Linux导论,Introduction to Linux,96页ppt
专知会员服务
82+阅读 · 2020年7月26日
强化学习最新教程,17页pdf
专知会员服务
182+阅读 · 2019年10月11日
【哈佛大学商学院课程Fall 2019】机器学习可解释性
专知会员服务
105+阅读 · 2019年10月9日
计算机 | 入门级EI会议ICVRIS 2019诚邀稿件
Call4Papers
10+阅读 · 2019年6月24日
CCF推荐 | 国际会议信息10条
Call4Papers
8+阅读 · 2019年5月27日
IEEE | DSC 2019诚邀稿件 (EI检索)
Call4Papers
10+阅读 · 2019年2月25日
Unsupervised Learning via Meta-Learning
CreateAMind
43+阅读 · 2019年1月3日
RL 真经
CreateAMind
5+阅读 · 2018年12月28日
计算机类 | 期刊专刊截稿信息9条
Call4Papers
4+阅读 · 2018年1月26日
【论文】变分推断(Variational inference)的总结
机器学习研究会
39+阅读 · 2017年11月16日
Auto-Encoding GAN
CreateAMind
7+阅读 · 2017年8月4日
Arxiv
16+阅读 · 2020年5月20日
Arxiv
112+阅读 · 2020年2月5日
Arxiv
36+阅读 · 2019年11月7日
Arxiv
18+阅读 · 2019年1月16日
Arxiv
11+阅读 · 2018年7月31日
VIP会员
相关VIP内容
Linux导论,Introduction to Linux,96页ppt
专知会员服务
82+阅读 · 2020年7月26日
强化学习最新教程,17页pdf
专知会员服务
182+阅读 · 2019年10月11日
【哈佛大学商学院课程Fall 2019】机器学习可解释性
专知会员服务
105+阅读 · 2019年10月9日
相关资讯
计算机 | 入门级EI会议ICVRIS 2019诚邀稿件
Call4Papers
10+阅读 · 2019年6月24日
CCF推荐 | 国际会议信息10条
Call4Papers
8+阅读 · 2019年5月27日
IEEE | DSC 2019诚邀稿件 (EI检索)
Call4Papers
10+阅读 · 2019年2月25日
Unsupervised Learning via Meta-Learning
CreateAMind
43+阅读 · 2019年1月3日
RL 真经
CreateAMind
5+阅读 · 2018年12月28日
计算机类 | 期刊专刊截稿信息9条
Call4Papers
4+阅读 · 2018年1月26日
【论文】变分推断(Variational inference)的总结
机器学习研究会
39+阅读 · 2017年11月16日
Auto-Encoding GAN
CreateAMind
7+阅读 · 2017年8月4日
相关论文
Arxiv
16+阅读 · 2020年5月20日
Arxiv
112+阅读 · 2020年2月5日
Arxiv
36+阅读 · 2019年11月7日
Arxiv
18+阅读 · 2019年1月16日
Arxiv
11+阅读 · 2018年7月31日
Top
微信扫码咨询专知VIP会员