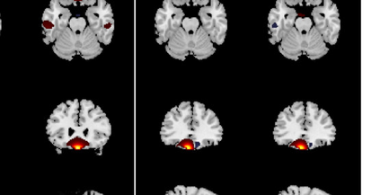
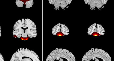
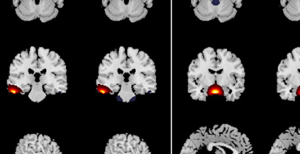
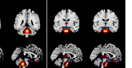
In the last two decades, unsupervised latent variable models---blind source separation (BSS) especially---have enjoyed a strong reputation for the interpretable features they produce. Seldom do these models combine the rich diversity of information available in multiple datasets. Multidatasets, on the other hand, yield joint solutions otherwise unavailable in isolation, with a potential for pivotal insights into complex systems. To take advantage of the complex multidimensional subspace structures that capture underlying modes of shared and unique variability across and within datasets, we present a direct, principled approach to multidataset combination. We design a new method called multidataset independent subspace analysis (MISA) that leverages joint information from multiple heterogeneous datasets in a flexible and synergistic fashion. Methodological innovations exploiting the Kotz distribution for subspace modeling in conjunction with a novel combinatorial optimization for evasion of local minima enable MISA to produce a robust generalization of independent component analysis (ICA), independent vector analysis (IVA), and independent subspace analysis (ISA) in a single unified model. We highlight the utility of MISA for multimodal information fusion, including sample-poor regimes and low signal-to-noise ratio scenarios, promoting novel applications in both unimodal and multimodal brain imaging data.


翻译:在过去20年中,未经监督的潜在可变模型 -- -- 盲源分离(BSS),特别是 -- -- 以其产生的可解释特征为名而享有很高的声誉。这些模型将多种数据集中现有的丰富多样的信息结合起来。另一方面,多数据集产生了在孤立的情况下无法找到的共同解决办法,有可能对复杂的系统产生关键的洞察力。为了利用复杂的多层面子空间结构,这些结构能够捕捉各数据集之间和数据集内部共同和独特变异的基本模式,我们对多数据集组合提出一种直接的、有原则的方法。我们设计了一种叫做多数据集独立的子空间分析(MISA)的新方法,以灵活和协同的方式利用从多种不同数据集获得的联合信息。利用Kotz分布用于亚空间模型的方法创新,同时对本地微型系统进行新的组合优化,使MISA能够在单一的统一模型中对独立组成部分分析(ICA)、独立的病媒分析(IVA)和独立的子空间分析(ISA)进行有力的概括。我们强调MIA在多式联运信息融合应用中的效用,包括抽样和低信号模型模型和低质量模型。

0
下载
关闭预览

相关内容

深度强化学习策略梯度教程,53页ppt
专知会员服务
184+阅读 · 2020年2月1日
【深度学习视频分析/多模态学习资源大列表】
专知会员服务
92+阅读 · 2019年10月16日
Keras François Chollet 《Deep Learning with Python 》, 386页pdf
专知会员服务
163+阅读 · 2019年10月12日
开源书:PyTorch深度学习起步
专知会员服务
51+阅读 · 2019年10月11日
机器学习入门的经验与建议
专知会员服务
94+阅读 · 2019年10月10日
【哈佛大学商学院课程Fall 2019】机器学习可解释性
专知会员服务
105+阅读 · 2019年10月9日
计算机 | 入门级EI会议ICVRIS 2019诚邀稿件
Call4Papers
10+阅读 · 2019年6月24日
Hierarchically Structured Meta-learning
CreateAMind
27+阅读 · 2019年5月22日
Transferring Knowledge across Learning Processes
CreateAMind
29+阅读 · 2019年5月18日
Call for Participation: Shared Tasks in NLPCC 2019
中国计算机学会
5+阅读 · 2019年3月22日
IEEE | DSC 2019诚邀稿件 (EI检索)
Call4Papers
10+阅读 · 2019年2月25日
Unsupervised Learning via Meta-Learning
CreateAMind
43+阅读 · 2019年1月3日
meta learning 17年:MAML SNAIL
CreateAMind
11+阅读 · 2019年1月2日
A Technical Overview of AI & ML in 2018 & Trends for 2019
待字闺中
18+阅读 · 2018年12月24日
Hierarchical Imitation - Reinforcement Learning
CreateAMind
19+阅读 · 2018年5月25日
人工智能 | 国际会议/SCI期刊约稿信息9条
Call4Papers
3+阅读 · 2018年1月12日
Arxiv
19+阅读 · 2018年3月28日
VIP会员
相关VIP内容
深度强化学习策略梯度教程,53页ppt
专知会员服务
184+阅读 · 2020年2月1日
【深度学习视频分析/多模态学习资源大列表】
专知会员服务
92+阅读 · 2019年10月16日
Keras François Chollet 《Deep Learning with Python 》, 386页pdf
专知会员服务
163+阅读 · 2019年10月12日
开源书:PyTorch深度学习起步
专知会员服务
51+阅读 · 2019年10月11日
机器学习入门的经验与建议
专知会员服务
94+阅读 · 2019年10月10日
【哈佛大学商学院课程Fall 2019】机器学习可解释性
专知会员服务
105+阅读 · 2019年10月9日
相关资讯
计算机 | 入门级EI会议ICVRIS 2019诚邀稿件
Call4Papers
10+阅读 · 2019年6月24日
Hierarchically Structured Meta-learning
CreateAMind
27+阅读 · 2019年5月22日
Transferring Knowledge across Learning Processes
CreateAMind
29+阅读 · 2019年5月18日
Call for Participation: Shared Tasks in NLPCC 2019
中国计算机学会
5+阅读 · 2019年3月22日
IEEE | DSC 2019诚邀稿件 (EI检索)
Call4Papers
10+阅读 · 2019年2月25日
Unsupervised Learning via Meta-Learning
CreateAMind
43+阅读 · 2019年1月3日
meta learning 17年:MAML SNAIL
CreateAMind
11+阅读 · 2019年1月2日
A Technical Overview of AI & ML in 2018 & Trends for 2019
待字闺中
18+阅读 · 2018年12月24日
Hierarchical Imitation - Reinforcement Learning
CreateAMind
19+阅读 · 2018年5月25日
人工智能 | 国际会议/SCI期刊约稿信息9条
Call4Papers
3+阅读 · 2018年1月12日
Top
微信扫码咨询专知VIP会员