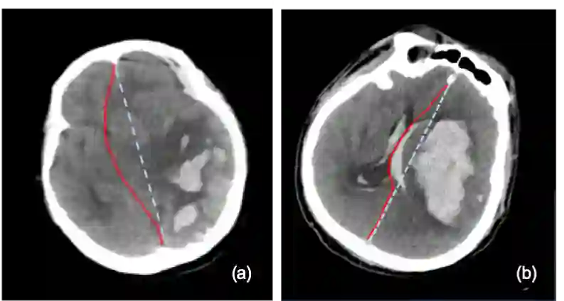
The midline related pathological image features are crucial for evaluating the severity of brain compression caused by stroke or traumatic brain injury (TBI). The automated midline delineation not only improves the assessment and clinical decision making for patients with stroke symptoms or head trauma but also reduces the time of diagnosis. Nevertheless, most of the previous methods model the midline by localizing the anatomical points, which are hard to detect or even missing in severe cases. In this paper, we formulate the brain midline delineation as a segmentation task and propose a three-stage framework. The proposed framework firstly aligns an input CT image into the standard space. Then, the aligned image is processed by a midline detection network (MD-Net) integrated with the CoordConv Layer and Cascade AtrousCconv Module to obtain the probability map. Finally, we formulate the optimal midline selection as a pathfinding problem to solve the problem of the discontinuity of midline delineation. Experimental results show that our proposed framework can achieve superior performance on one in-house dataset and one public dataset.


翻译:与中线相关的中线病理图象特征对于评价中风或创伤性脑损伤造成的脑压缩严重程度至关重要。自动中线划界不仅改进了中风症状或头部创伤患者的评估和临床决策,而且减少了诊断时间。然而,大多数先前的方法都通过对解剖点进行定位来模拟中线,这些点在严重情况下难以检测甚至缺失。在本文件中,我们将大脑中线划界作为一种分解任务提出,并提议一个三阶段框架。拟议的框架首先将输入CT图像与标准空间相匹配。然后,与Coord ConD-Net和Cascade AtrozConv 模块合并的中线检测网络(MD-Net)处理对齐图像,以获得概率图。最后,我们将最佳中线选择作为解决中线划界中断问题的路径。实验结果显示,我们提议的框架可以在内部数据集和一个公共数据集上实现优异性。

0
下载
关闭预览

相关内容

【清华大学】图随机神经网络,Graph Random Neural Networks
专知会员服务
156+阅读 · 2020年5月26日
【普林斯顿大学-微软】加权元学习,Weighted Meta-Learning
专知会员服务
40+阅读 · 2020年3月25日
Keras François Chollet 《Deep Learning with Python 》, 386页pdf
专知会员服务
160+阅读 · 2019年10月12日
强化学习最新教程,17页pdf
专知会员服务
182+阅读 · 2019年10月11日
机器学习入门的经验与建议
专知会员服务
94+阅读 · 2019年10月10日
TorchSeg:基于pytorch的语义分割算法开源了
极市平台
20+阅读 · 2019年1月28日
强化学习的Unsupervised Meta-Learning
CreateAMind
18+阅读 · 2019年1月7日
Unsupervised Learning via Meta-Learning
CreateAMind
43+阅读 · 2019年1月3日
meta learning 17年:MAML SNAIL
CreateAMind
11+阅读 · 2019年1月2日
【推荐】(TensorFlow)SSD实时手部检测与追踪(附代码)
机器学习研究会
11+阅读 · 2017年12月5日
Capsule Networks解析
机器学习研究会
11+阅读 · 2017年11月12日
Learning Dynamic Routing for Semantic Segmentation
Arxiv
8+阅读 · 2020年3月23日
VIP会员
相关VIP内容
Top
微信扫码咨询专知VIP会员