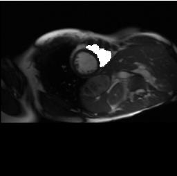
2D biomedical semantic segmentation is important for robotic vision in surgery. Segmentation methods based on Deep Convolutional Neural Network (DCNN) can out-perform conventional methods in terms of both accuracy and levels of automation. One common issue in training a DCNN for biomedical semantic segmentation is the internal covariate shift where the training of convolutional kernels is encumbered by the distribution change of input features, hence both the training speed and performance are decreased. Batch Normalization (BN) is the first proposed method for addressing internal covariate shift and is widely used. Instance Normalization (IN) and Layer Normalization (LN) have also been proposed. Group Normalization (GN) is proposed more recently and has not yet been applied to 2D biomedical semantic segmentation, however, no specific validations on GN were given. Most DCNNs for biomedical semantic segmentation adopt BN as the normalization method by default, without reviewing its performance. In this paper, four normalization methods - BN, IN, LN and GN are compared in details, specifically for 2D biomedical semantic segmentation. U-Net is adopted as the basic DCNN structure. Three datasets regarding the Right Ventricle (RV), aorta, and Left Ventricle (LV) are used for the validation. The results show that detailed subdivision of the feature map, i.e. GN with a large group number or IN, achieves higher accuracy. This accuracy improvement mainly comes from better model generalization. Codes are uploaded and maintained at Xiao-Yun Zhou's Github.


翻译:2D 生物医学语义分解对于手术中的机器人视觉很重要。 基于深革命神经网络(DCNNN) 的分解方法在准确性和自动化水平上都能够超越常规方法。 在培训 DCNN 进行生物医学语义分解的过程中,一个共同的问题是内部的共变式变化,因为输入特征的分布变化阻碍了对革命核心的训练,因此培训速度和性能都下降了。批量正常化(BN) 是解决内部共变转换的首个拟议方法,并被广泛使用。也主要提出了常规化(IN)和层正常化(LNN) 的常规方法。最近又提出了集团正常化(GN),但尚未对 2D 生物医学语系语义分解进行具体验证。大多数用于生物医学语义分解的DCNNNN(B) 将BN作为常规分解方法, 但不审查它的业绩。四种正统方法- BN、IN、 IN、 LN和 GN, 将具体用于2D 生物医学分解的精度的精度 和L-NV Rent Rial 的精度校正 的精度校。在使用U- Ri- Rental 上, 基本的U- Ri- Rental 和LVD- Rents 和LV- sal 的精度上, 和L- d- d- dis- dis- dis- s- dis- dis- dis- dis- dis- dis- dis- sal- dis- sal- sal- sal- sal- dis- sal- sal- sal- sal- sal- sal- sal- sal- sal- sal- sal- sal- sal- sal- sal- sal- sal- sal- sal- sal- sal- sal- sal- silututal- sal-sal- sal-smad- smad- sal- sal- sal- sal- sal- sal-s-sal- sal-sal-sal-sal-sal-sal-sal- sal- sal-d-

0
下载
关闭预览

相关内容

【Google】平滑对抗训练,Smooth Adversarial Training
专知会员服务
49+阅读 · 2020年7月4日
100+篇《自监督学习(Self-Supervised Learning)》论文最新合集
专知会员服务
167+阅读 · 2020年3月18日
抢鲜看!13篇CVPR2020论文链接/开源代码/解读
专知会员服务
50+阅读 · 2020年2月26日
一文道尽softmax loss及其变种
极市平台
14+阅读 · 2019年2月19日
《pyramid Attention Network for Semantic Segmentation》
统计学习与视觉计算组
44+阅读 · 2018年8月30日
半监督多任务学习:Semisupervised Multitask Learning
我爱读PAMI
18+阅读 · 2018年4月29日
ResNet, AlexNet, VGG, Inception:各种卷积网络架构的理解
全球人工智能
20+阅读 · 2017年12月17日
【推荐】ResNet, AlexNet, VGG, Inception:各种卷积网络架构的理解
机器学习研究会
20+阅读 · 2017年12月17日
【推荐】决策树/随机森林深入解析
机器学习研究会
5+阅读 · 2017年9月21日
【推荐】全卷积语义分割综述
机器学习研究会
19+阅读 · 2017年8月31日
W-net: Bridged U-net for 2D Medical Image Segmentation
Arxiv
20+阅读 · 2018年7月12日
Arxiv
8+阅读 · 2018年5月15日
VIP会员
Top
微信扫码咨询专知VIP会员