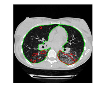
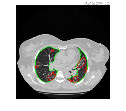
Since the breakout of coronavirus disease (COVID-19), the computer-aided diagnosis has become a necessity to prevent the spread of the virus. Detecting COVID-19 at an early stage is essential to reduce the mortality risk of the patients. In this study, a cascaded system is proposed to segment the lung, detect, localize, and quantify COVID-19 infections from computed tomography (CT) images Furthermore, the system classifies the severity of COVID-19 as mild, moderate, severe, or critical based on the percentage of infected lungs. An extensive set of experiments were performed using state-of-the-art deep Encoder-Decoder Convolutional Neural Networks (ED-CNNs), UNet, and Feature Pyramid Network (FPN), with different backbone (encoder) structures using the variants of DenseNet and ResNet. The conducted experiments showed the best performance for lung region segmentation with Dice Similarity Coefficient (DSC) of 97.19% and Intersection over Union (IoU) of 95.10% using U-Net model with the DenseNet 161 encoder. Furthermore, the proposed system achieved an elegant performance for COVID-19 infection segmentation with a DSC of 94.13% and IoU of 91.85% using the FPN model with the DenseNet201 encoder. The achieved performance is significantly superior to previous methods for COVID-19 lesion localization. Besides, the proposed system can reliably localize infection of various shapes and sizes, especially small infection regions, which are rarely considered in recent studies. Moreover, the proposed system achieved high COVID-19 detection performance with 99.64% sensitivity and 98.72% specificity. Finally, the system was able to discriminate between different severity levels of COVID-19 infection over a dataset of 1,110 subjects with sensitivity values of 98.3%, 71.2%, 77.8%, and 100% for mild, moderate, severe, and critical infections, respectively.


翻译:自Conrona病毒(COVID-19)破解以来,计算机辅助的诊断已经成为防止病毒传播的一个必要条件。早期检测COVID-19对于降低患者的死亡率风险至关重要。在这项研究中,建议采用一个连锁系统,利用DenseNet和ResNet的变体来分割肺部、检测、本地化和量化COVID-19感染。此外,该系统根据受感染的肺部百分比,将COVID-19的轻度、中度、严重或关键程度归类为轻度、中度、重度或直系。使用最先进的Encoder-Decoder神经网络(ED-CNNs)、UNet和Fature Pyramid网络(FPN)进行了一系列广泛的实验,使用DenseNet的变体格(Dender Nationality) 20 中位值和中位值(Dices Nationality Covality (DC),97.19% 和内分界(IOU) 之间进行了广泛的实验。 10 %,使用最新的Servider 系统,并使用最新的D-Settyal del Inde Systelection 和Dlation Olex 数据数据, lax lax lax lade lade lade lade laveal 。

0
下载
关闭预览

相关内容

专知会员服务
45+阅读 · 2020年10月31日
MIT-深度学习Deep Learning State of the Art in 2020,87页ppt
专知会员服务
62+阅读 · 2020年2月17日
机器学习入门的经验与建议
专知会员服务
94+阅读 · 2019年10月10日
Hierarchically Structured Meta-learning
CreateAMind
27+阅读 · 2019年5月22日
无人机视觉挑战赛 | ICCV 2019 Workshop—VisDrone2019
PaperWeekly
7+阅读 · 2019年5月5日
Unsupervised Learning via Meta-Learning
CreateAMind
43+阅读 · 2019年1月3日
disentangled-representation-papers
CreateAMind
26+阅读 · 2018年9月12日
计算机视觉的不同任务
专知
5+阅读 · 2018年8月27日
已删除
将门创投
5+阅读 · 2018年7月25日
计算机视觉领域顶会CVPR 2018 接受论文列表
深度学习医学图像分析文献集
机器学习研究会
19+阅读 · 2017年10月13日
【推荐】深度学习目标检测全面综述
机器学习研究会
21+阅读 · 2017年9月13日
3D Deep Learning on Medical Images: A Review
Arxiv
13+阅读 · 2020年4月1日
Arxiv
11+阅读 · 2019年4月15日
VIP会员
相关VIP内容
专知会员服务
45+阅读 · 2020年10月31日
MIT-深度学习Deep Learning State of the Art in 2020,87页ppt
专知会员服务
62+阅读 · 2020年2月17日
机器学习入门的经验与建议
专知会员服务
94+阅读 · 2019年10月10日
相关资讯
Hierarchically Structured Meta-learning
CreateAMind
27+阅读 · 2019年5月22日
无人机视觉挑战赛 | ICCV 2019 Workshop—VisDrone2019
PaperWeekly
7+阅读 · 2019年5月5日
Unsupervised Learning via Meta-Learning
CreateAMind
43+阅读 · 2019年1月3日
disentangled-representation-papers
CreateAMind
26+阅读 · 2018年9月12日
计算机视觉的不同任务
专知
5+阅读 · 2018年8月27日
已删除
将门创投
5+阅读 · 2018年7月25日
计算机视觉领域顶会CVPR 2018 接受论文列表
深度学习医学图像分析文献集
机器学习研究会
19+阅读 · 2017年10月13日
【推荐】深度学习目标检测全面综述
机器学习研究会
21+阅读 · 2017年9月13日
Top
微信扫码咨询专知VIP会员