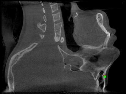
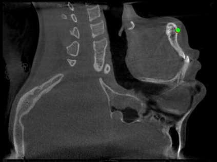
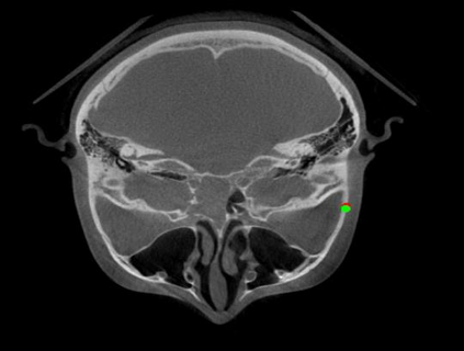
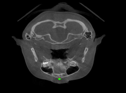
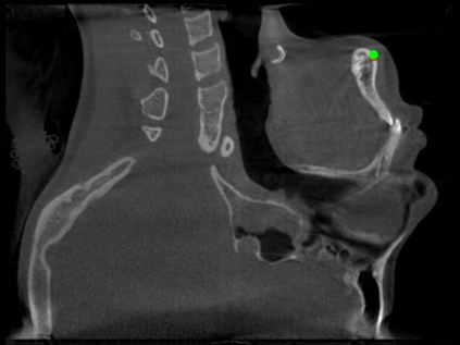
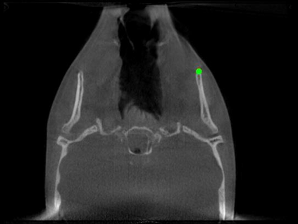
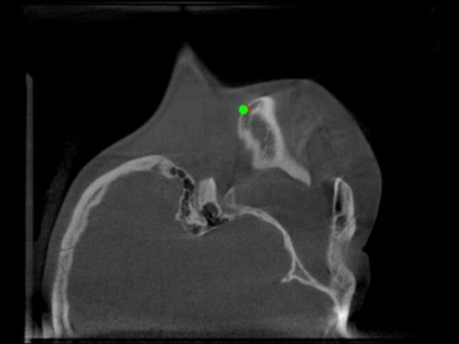
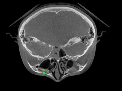
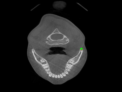
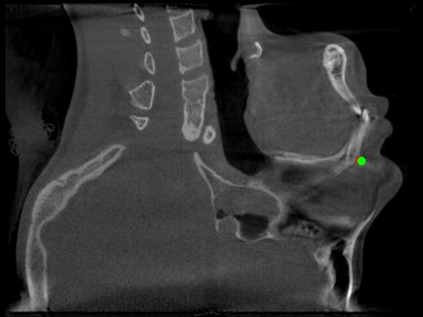
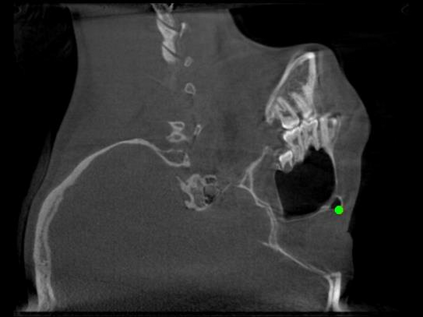
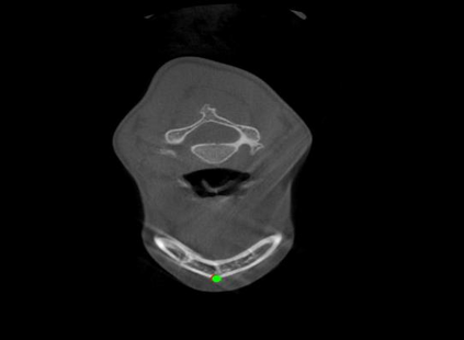
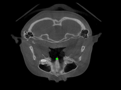
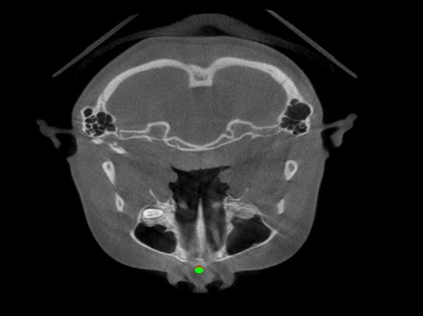
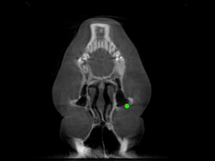
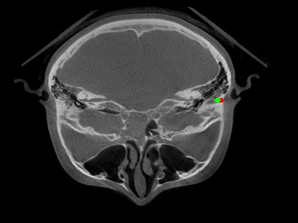
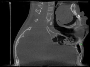
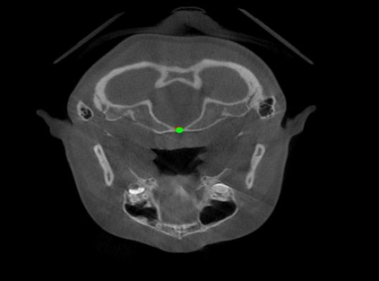
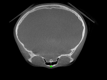
Detecting 3D landmarks on cone-beam computed tomography (CBCT) is crucial to assessing and quantifying the anatomical abnormalities in 3D cephalometric analysis. However, the current methods are time-consuming and suffer from large biases in landmark localization, leading to unreliable diagnosis results. In this work, we propose a novel Structure-Aware Long Short-Term Memory framework (SA-LSTM) for efficient and accurate 3D landmark detection. To reduce the computational burden, SA-LSTM is designed in two stages. It first locates the coarse landmarks via heatmap regression on a down-sampled CBCT volume and then progressively refines landmarks by attentive offset regression using multi-resolution cropped patches. To boost accuracy, SA-LSTM captures global-local dependence among the cropping patches via self-attention. Specifically, a novel graph attention module implicitly encodes the landmark's global structure to rationalize the predicted position. Moreover, a novel attention-gated module recursively filters irrelevant local features and maintains high-confident local predictions for aggregating the final result. Experiments conducted on an in-house dataset and a public dataset show that our method outperforms state-of-the-art methods, achieving 1.64 mm and 2.37 mm average errors, respectively. Furthermore, our method is very efficient, taking only 0.5 seconds for inferring the whole CBCT volume of resolution 768$\times$768$\times$576.


翻译:在3D 剖析分析中,检测3D在测算断层成像仪上的3D里程碑对于评估和量化解剖值异常至关重要。然而,目前的方法耗时耗时,且在里程碑定位方面存在巨大偏差,导致诊断结果不可靠。在这项工作中,我们提议建立一个新型的结构软件长期短期内存框架(SA-LSTM),用于高效和准确地探测3D里程碑。为减少计算负担,SA-LSTM设计分为两个阶段。它首先通过降版的CBCT卷次中热映射回归法将粗皮标标值标值定位在降版的CBCT卷中,然后通过使用多分辨率裁幅补分的补分法逐步完善里程碑。为了提高准确性,SA-LSTM通过自留来捕捉到裁剪切补补补补板之间的全球局部依赖性。具体地,一个新的图表关注模块隐含了里程碑的全球结构,以便合理预测位置。此外,一个新的关注模块将不相关的本地特征重新过滤,并维持高精确的当地价格,然后通过微的本地预测,利用多分数值值值,用多分数法,用多分解法来计算,将最终结果。

0
下载
关闭预览

相关内容

3D是英文“Three Dimensions”的简称,中文是指三维、三个维度、三个坐标,即有长、有宽、有高,换句话说,就是立体的,是相对于只有长和宽的平面(2D)而言。
【CVPR2021】用于目标检测的通用实例蒸馏
专知会员服务
24+阅读 · 2021年3月22日
Stabilizing Transformers for Reinforcement Learning
专知会员服务
60+阅读 · 2019年10月17日
《DeepGCNs: Making GCNs Go as Deep as CNNs》
专知会员服务
31+阅读 · 2019年10月17日
Keras François Chollet 《Deep Learning with Python 》, 386页pdf
专知会员服务
163+阅读 · 2019年10月12日
Hierarchically Structured Meta-learning
CreateAMind
27+阅读 · 2019年5月22日
A Technical Overview of AI & ML in 2018 & Trends for 2019
待字闺中
18+阅读 · 2018年12月24日
论文笔记之Feature Selective Networks for Object Detection
统计学习与视觉计算组
21+阅读 · 2018年7月26日
Hierarchical Imitation - Reinforcement Learning
CreateAMind
19+阅读 · 2018年5月25日
ResNet, AlexNet, VGG, Inception:各种卷积网络架构的理解
全球人工智能
20+阅读 · 2017年12月17日
【推荐】ResNet, AlexNet, VGG, Inception:各种卷积网络架构的理解
机器学习研究会
20+阅读 · 2017年12月17日
【推荐】YOLO实时目标检测(6fps)
机器学习研究会
20+阅读 · 2017年11月5日
【推荐】RNN/LSTM时序预测
机器学习研究会
25+阅读 · 2017年9月8日
国家自然科学基金
2+阅读 · 2015年12月31日
国家自然科学基金
1+阅读 · 2013年12月31日
国家自然科学基金
0+阅读 · 2013年12月31日
国家自然科学基金
0+阅读 · 2012年12月31日
国家自然科学基金
0+阅读 · 2012年12月31日
国家自然科学基金
0+阅读 · 2012年12月31日
国家自然科学基金
1+阅读 · 2009年12月31日
Arxiv
0+阅读 · 2022年4月19日
Arxiv
13+阅读 · 2019年11月14日
Arxiv
11+阅读 · 2019年4月15日
VIP会员
相关资讯
Hierarchically Structured Meta-learning
CreateAMind
27+阅读 · 2019年5月22日
A Technical Overview of AI & ML in 2018 & Trends for 2019
待字闺中
18+阅读 · 2018年12月24日
论文笔记之Feature Selective Networks for Object Detection
统计学习与视觉计算组
21+阅读 · 2018年7月26日
Hierarchical Imitation - Reinforcement Learning
CreateAMind
19+阅读 · 2018年5月25日
ResNet, AlexNet, VGG, Inception:各种卷积网络架构的理解
全球人工智能
20+阅读 · 2017年12月17日
【推荐】ResNet, AlexNet, VGG, Inception:各种卷积网络架构的理解
机器学习研究会
20+阅读 · 2017年12月17日
【推荐】YOLO实时目标检测(6fps)
机器学习研究会
20+阅读 · 2017年11月5日
【推荐】RNN/LSTM时序预测
机器学习研究会
25+阅读 · 2017年9月8日
相关基金
国家自然科学基金
2+阅读 · 2015年12月31日
国家自然科学基金
1+阅读 · 2013年12月31日
国家自然科学基金
0+阅读 · 2013年12月31日
国家自然科学基金
0+阅读 · 2012年12月31日
国家自然科学基金
0+阅读 · 2012年12月31日
国家自然科学基金
0+阅读 · 2012年12月31日
国家自然科学基金
1+阅读 · 2009年12月31日
Top
微信扫码咨询专知VIP会员