CT肝脏分割 | 结合改进的U-Net和Morphsnakes的肝脏分割

2018 年 9 月 3 日 中国图象图形学报

引用格式

刘哲,张晓林,宋余庆,等.结合改进的U-Net和Morphsnakes的肝脏分割[J]. 中国图象图形学报, 2018, 23(8): 1254-1262.

DOI: 10.11834/jig.170585

原文链接

http://www.cjig.cn/html/jig/2018/8/weixin/20180814.htm

文后有彩蛋↓↓↓

国内外医学图像肝脏分割研究集锦


导语精确的肝脏分割是计算机辅助肝脏疾病诊断和手术规划的必要步骤,基于改进的U-Net的肝脏分割方法可以实现CT图像中肝脏的全自动精确分割,之后使用Morphsnakes优化分割结果,可获得更精确平滑的分割边界。


专家推荐


本文提出了一种基于改进的U-Net和Morphsnakes算法的增强CT图像肝脏分割方法,实验结果表明,分割准确率高,容易训练,结果具有一定的临床参考价值。


论文看点


1、 创建了IU-Net,加深了网络层次以获取更多特征,并去掉了一些对结果影响不大的skip-connect。

2、 对于IU-Net不够精细的分割结果,采用opencv去掉分割结果中冗余部分,并且填补因分割肝脏中从血管造成的空洞。

3、 使用Morphsnakes算法优化分割边界,获得增强CT图像中肝脏的轮廓。


本文方法
本文对U-Net进行了改进和优化,重新构建了IU-Net模型,在输出输入等尺寸的基础上,大大提高CT图像肝脏的分割准确率,并且通过OpenCV和Morphsnakes算法对IU-Net的分割结果进行精细分割,使最后的分割结果边界更加平滑、精确。


图1 本文算法示意图


步骤1  基于Hounsfield的数据预处理

步骤2  IU-Net模型结构构建

步骤3  基于OpenCV和Morphsnakes的肝脏精准分割


图2 本文构建的IU-Net网络结构


实验结果

本文基于来自江苏大学附属医院的180例病人的增强CT图像以及公开数据集3DIRCADb1的20例病人的增强CT图像进行本文算法、FCN-8s和U-Net算法肝脏图像分割的对比实验。


  • 评价指标:采用Dice来对分割结果进行评价;采用Precision(精准率)和Recall(召回率)对分割结果进行评价。

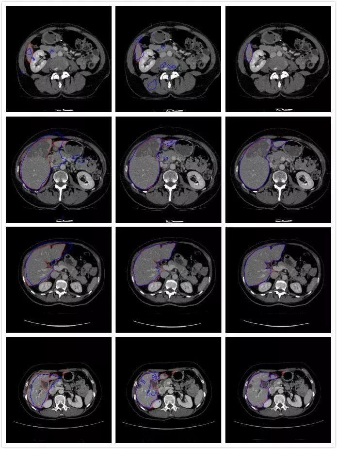
  • 结果对比:本文算法对于各种形状的肝脏都有较高的分割准确率;FCN-8s对肝脏区域较大的图像分割准确率高,但结果较为细碎,分割较小的肝脏时,有许多冗余部分;U-Net能分割出肝脏所在区域的大致位置,但是无法获得肝脏的精确边界。

(a) U-Net分割图   (b) FCN-8s分割图 (c) 本文算法分割图

图3 不同算法分割图(注:红色轮廓为Ground Truth,蓝色轮廓为最终分割结果)

表1 不同算法分割结果对比



国内外医学图像肝脏分割研究集锦


文献[1]提出运用阈值、形态学操作、K-means 聚类和多层感知神经网络(Multi-Layer Perceptron Network, MLP)对肝脏进行分割。[DOI:10.1016/j.compbiomed.2008.04.006]

文献[2]提出了一种基于区域生长的肝脏CT图像分割方法,通过运用拟蒙特卡洛(Quasi-MonteCarlo)算法获取感兴趣区域的种子点和设计区域生长准则。[DOI:10.1016/j.ijleo.2013.10.049]

文献[3]提出一种基于先验信息水平集方法的肝脏CT序列图像自动分割方法,用二次区域生长法获取肝脏的初步分割结果,将其作为先验知识,构造新的边缘指示函数和水平集能量函数,最后应用自适应边缘行进算法修补边缘,细化分割。[DOI:10.11817/j.issn.1672-7207.2015.04.020]

文献[4]提出了基于层次的上下文活动轮廓(HCAC)的于三维CT肝脏全自动分割方法,先利用训练图像以及对应的手动肝脏分割结果学习模型,然后使用上下文活动轮廓(CAC)进行迭代分割,得到最后的分割结果。[http://mall.cnki.net/magazine/Article/SWGC201402032.htm]

文献[5]提出了一种将凸性可变模型与图像亮度和局部区域特征相结合的肝脏自动分割方法。[http://www.cnki.com.cn/Article/CJFDTotal-DZYX201509003.htm]

文献[6]利用相邻切片之间的空间相关性构建图割能量函数,迭代分割整个序列。[DOI: 10.1007/978-3-642-33418-4_49]

文献[7]结合相邻切片之间的位置信息构建图割能量函数,用图割算法实现肝脏初始分割,再结合亮度和轮廓几何特性,运用边缘行进算法优化分割结果。该方法需要手动分割初始切片,并且对于对比度较低的图像分割效果较差。

[http://www.cnki.com.cn/Article/CJFDTotal-DZYX201606031.htm]

卷积神经网络具有有高效的特征提取能力、良好的容错能力、自学习能力、自适应性能好等优势,基于卷积神经网络的图像分割方法成为目前研究的热点。Olaf等人[8]采用端到端的全卷积神经网络,实现了生物医学图像中的细胞分割,这是全卷积神经网络在医学图像分割领域的第一次应用。 [DOI: 10.1007/978-3-319-24574-4_28]

Patrick等人[9]直接采用两个级联的U-Net的网络模型实现肝脏以及肝脏肿瘤的分割。 [DOI: 10.1007/978-3-319-46723-8_48]

Cohen 等人[10]采用基于VGG-16修改的FCN-8s来实现肝脏以及肝脏损伤的检测。但是该方法分割结果不够精细,分割的图像边缘粗糙。 [DOI: 10.1007/978-3-319-46976-8_9]




第一作者


刘哲(1982-),副教授,2012年6月于江苏大学获取计算机应用技术专业博士学位,主要研究方向为医学图像处理。E-mail:1000004088@ujs.edu.cn

通信作者

张晓林,硕士研究生,主要研究方向为医学图像处理。E-mail:2211608038@stmail.ujs.edu.cn

其他作者❍

宋余庆,男,教授,主要研究领域为医学图像处理与分析、数据挖掘、模式识别、计算机医学应用。E-mail:yqsong@ujs.edu.cn

朱彦,男,硕士研究生,主要研究领域为血液病。E-mail:salary_hi@126.com

袁德琪,男,硕士研究生,主要研究领域为医学影像分析及诊断。E-mail:77867339@ujs.edu.cn

前沿丨观点丨咨讯丨独家

扫描下方二维码 关注学报公众号

中国图象图形学报 | 订阅号


登录查看更多
6

相关内容

北京大学哲学系副主任、博古睿研究中心联合主任,万人计划“青年拔尖人才”,第24届世界哲学大会中国组委会执行秘书长。
基于改进卷积神经网络的短文本分类模型
专知会员服务
26+阅读 · 2020年7月22日
专知会员服务
51+阅读 · 2020年7月16日
基于深度学习的多标签生成研究进展
专知会员服务
147+阅读 · 2020年4月25日
图像分割的U-Net系列方法
极市平台
56+阅读 · 2019年10月21日
已删除
将门创投
6+阅读 · 2019年9月3日
病理图像的全景分割
人工智能前沿讲习班
16+阅读 · 2019年6月1日
基于显著性的图像分割
AI研习社
7+阅读 · 2019年4月21日
DeepLabv3+:语义分割领域的新高峰
极市平台
4+阅读 · 2018年3月3日
基于深度学习的肿瘤图像分割研究取得进展
中科院之声
17+阅读 · 2017年9月17日
Deep Co-Training for Semi-Supervised Image Segmentation
VIP会员
相关VIP内容
基于改进卷积神经网络的短文本分类模型
专知会员服务
26+阅读 · 2020年7月22日
专知会员服务
51+阅读 · 2020年7月16日
基于深度学习的多标签生成研究进展
专知会员服务
147+阅读 · 2020年4月25日
相关资讯
图像分割的U-Net系列方法
极市平台
56+阅读 · 2019年10月21日
已删除
将门创投
6+阅读 · 2019年9月3日
病理图像的全景分割
人工智能前沿讲习班
16+阅读 · 2019年6月1日
基于显著性的图像分割
AI研习社
7+阅读 · 2019年4月21日
DeepLabv3+:语义分割领域的新高峰
极市平台
4+阅读 · 2018年3月3日
基于深度学习的肿瘤图像分割研究取得进展
中科院之声
17+阅读 · 2017年9月17日
Top
微信扫码咨询专知VIP会员