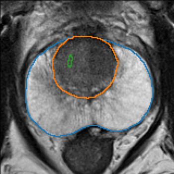
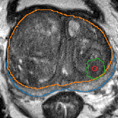
The emergence of multi-parametric magnetic resonance imaging (mpMRI) has had a profound impact on the diagnosis of prostate cancers (PCa), which is the most prevalent malignancy in males in the western world, enabling a better selection of patients for confirmation biopsy. However, analyzing these images is complex even for experts, hence opening an opportunity for computer-aided diagnosis systems to seize. This paper proposes a fully automatic system based on Deep Learning that takes a prostate mpMRI from a PCa-suspect patient and, by leveraging the Retina U-Net detection framework, locates PCa lesions, segments them, and predicts their most likely Gleason grade group (GGG). It uses 490 mpMRIs for training/validation, and 75 patients for testing from two different datasets: ProstateX and IVO (Valencia Oncology Institute Foundation). In the test set, it achieves an excellent lesion-level AUC/sensitivity/specificity for the GGG$\geq$2 significance criterion of 0.96/1.00/0.79 for the ProstateX dataset, and 0.95/1.00/0.80 for the IVO dataset. Evaluated at a patient level, the results are 0.87/1.00/0.375 in ProstateX, and 0.91/1.00/0.762 in IVO. Furthermore, on the online ProstateX grand challenge, the model obtained an AUC of 0.85 (0.87 when trained only on the ProstateX data, tying up with the original winner of the challenge). For expert comparison, IVO radiologist's PI-RADS 4 sensitivity/specificity were 0.88/0.56 at a lesion level, and 0.85/0.58 at a patient level. Additional subsystems for automatic prostate zonal segmentation and mpMRI non-rigid sequence registration were also employed to produce the final fully automated system. The code for the ProstateX-trained system has been made openly available at https://github.com/OscarPellicer/prostate_lesion_detection. We hope that this will represent a landmark for future research to use, compare and improve upon.


翻译:多参数磁共振成像(MPMRI)的出现对前列腺癌(PCa)的诊断产生了深刻影响,前列腺癌(PCa)是西方世界男性最普遍的恶性恶性肿瘤,可以更好地选择病人进行生物检查。然而,分析这些图像很复杂,甚至对专家来说也是复杂的,因此为计算机辅助诊断系统抓住机会。本文提议了一个完全自动的系统,该系统以Para-susmissual/spectrial 病人为基础的前列腺磁共振RI,并借助Retina U-Net检测框架,定位了Pela的伤性病、部分和部分,并预测了他们最有可能的Gleason等级(GGG);它使用490 mpMRMIS,从两个不同的数据集(ProstateX和IVO)进行测试:ProstateX(Valential X),在Orassional5/Serverentireal 数据中,在40/X数据中,在OIGGVAL0/VA数据中,在Seral0/SeralSeralSerental上,在数据中也做了0.10/60/60/60/60/Sermex上做了初步数据。

0
下载
关闭预览

相关内容

专知会员服务
72+阅读 · 2020年10月2日
开源书:PyTorch深度学习起步
专知会员服务
51+阅读 · 2019年10月11日
[综述]深度学习下的场景文本检测与识别
专知会员服务
78+阅读 · 2019年10月10日
机器学习入门的经验与建议
专知会员服务
94+阅读 · 2019年10月10日
Transferring Knowledge across Learning Processes
CreateAMind
29+阅读 · 2019年5月18日
这么多年,终于知道为啥右指针不能往回走了
九章算法
5+阅读 · 2019年4月15日
TCN v2 + 3Dconv 运动信息
CreateAMind
4+阅读 · 2019年1月8日
carla 学习笔记
CreateAMind
9+阅读 · 2018年2月7日
计算机视觉近一年进展综述
机器学习研究会
9+阅读 · 2017年11月25日
【推荐】Kaggle机器学习数据集推荐
机器学习研究会
8+阅读 · 2017年11月19日
VIP会员
相关资讯
Transferring Knowledge across Learning Processes
CreateAMind
29+阅读 · 2019年5月18日
这么多年,终于知道为啥右指针不能往回走了
九章算法
5+阅读 · 2019年4月15日
TCN v2 + 3Dconv 运动信息
CreateAMind
4+阅读 · 2019年1月8日
carla 学习笔记
CreateAMind
9+阅读 · 2018年2月7日
计算机视觉近一年进展综述
机器学习研究会
9+阅读 · 2017年11月25日
【推荐】Kaggle机器学习数据集推荐
机器学习研究会
8+阅读 · 2017年11月19日
Top
微信扫码咨询专知VIP会员