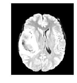
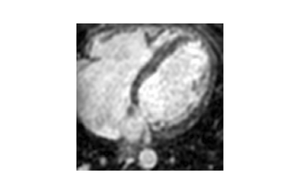
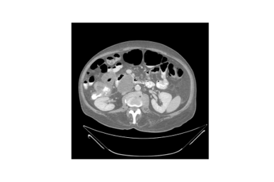
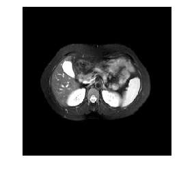
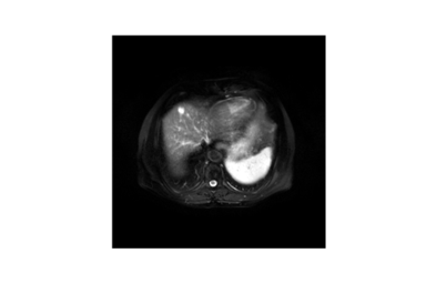
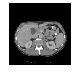
Medical image segmentation methods normally perform poorly when there is a domain shift between training and testing data. Unsupervised Domain Adaptation (UDA) addresses the domain shift problem by training the model using both labeled data from the source domain and unlabeled data from the target domain. Source-Free UDA (SFUDA) was recently proposed for UDA without requiring the source data during the adaptation, due to data privacy or data transmission issues, which normally adapts the pre-trained deep model in the testing stage. However, in real clinical scenarios of medical image segmentation, the trained model is normally frozen in the testing stage. In this paper, we propose Fourier Visual Prompting (FVP) for SFUDA of medical image segmentation. Inspired by prompting learning in natural language processing, FVP steers the frozen pre-trained model to perform well in the target domain by adding a visual prompt to the input target data. In FVP, the visual prompt is parameterized using only a small amount of low-frequency learnable parameters in the input frequency space, and is learned by minimizing the segmentation loss between the predicted segmentation of the prompted target image and reliable pseudo segmentation label of the target image under the frozen model. To our knowledge, FVP is the first work to apply visual prompts to SFUDA for medical image segmentation. The proposed FVP is validated using three public datasets, and experiments demonstrate that FVP yields better segmentation results, compared with various existing methods.


翻译:暂无翻译

1
下载
关闭预览

相关内容

100+篇《自监督学习(Self-Supervised Learning)》论文最新合集
专知会员服务
167+阅读 · 2020年3月18日
Stabilizing Transformers for Reinforcement Learning
专知会员服务
60+阅读 · 2019年10月17日
MIT新书《强化学习与最优控制》
专知会员服务
282+阅读 · 2019年10月9日
Multi-Task Learning的几篇综述文章
深度学习自然语言处理
15+阅读 · 2020年6月15日
强化学习三篇论文 避免遗忘等
CreateAMind
20+阅读 · 2019年5月24日
Hierarchically Structured Meta-learning
CreateAMind
27+阅读 · 2019年5月22日
Transferring Knowledge across Learning Processes
CreateAMind
29+阅读 · 2019年5月18日
强化学习的Unsupervised Meta-Learning
CreateAMind
18+阅读 · 2019年1月7日
Unsupervised Learning via Meta-Learning
CreateAMind
43+阅读 · 2019年1月3日
A Technical Overview of AI & ML in 2018 & Trends for 2019
待字闺中
18+阅读 · 2018年12月24日
国家自然科学基金
0+阅读 · 2015年12月31日
国家自然科学基金
1+阅读 · 2015年12月31日
国家自然科学基金
0+阅读 · 2013年12月31日
国家自然科学基金
0+阅读 · 2012年12月31日
国家自然科学基金
0+阅读 · 2012年12月31日
国家自然科学基金
0+阅读 · 2012年12月31日
国家自然科学基金
1+阅读 · 2011年12月31日
国家自然科学基金
0+阅读 · 2009年12月31日
VIP会员
相关基金
国家自然科学基金
0+阅读 · 2015年12月31日
国家自然科学基金
1+阅读 · 2015年12月31日
国家自然科学基金
0+阅读 · 2013年12月31日
国家自然科学基金
0+阅读 · 2012年12月31日
国家自然科学基金
0+阅读 · 2012年12月31日
国家自然科学基金
0+阅读 · 2012年12月31日
国家自然科学基金
1+阅读 · 2011年12月31日
国家自然科学基金
0+阅读 · 2009年12月31日
Top
微信扫码咨询专知VIP会员