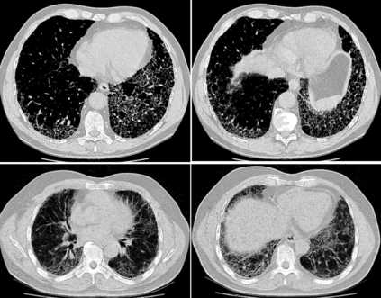
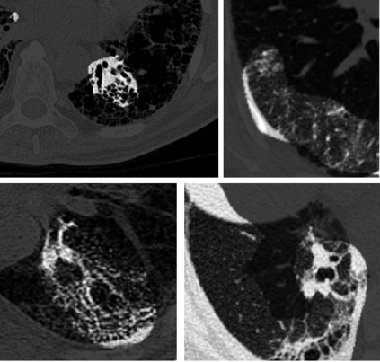
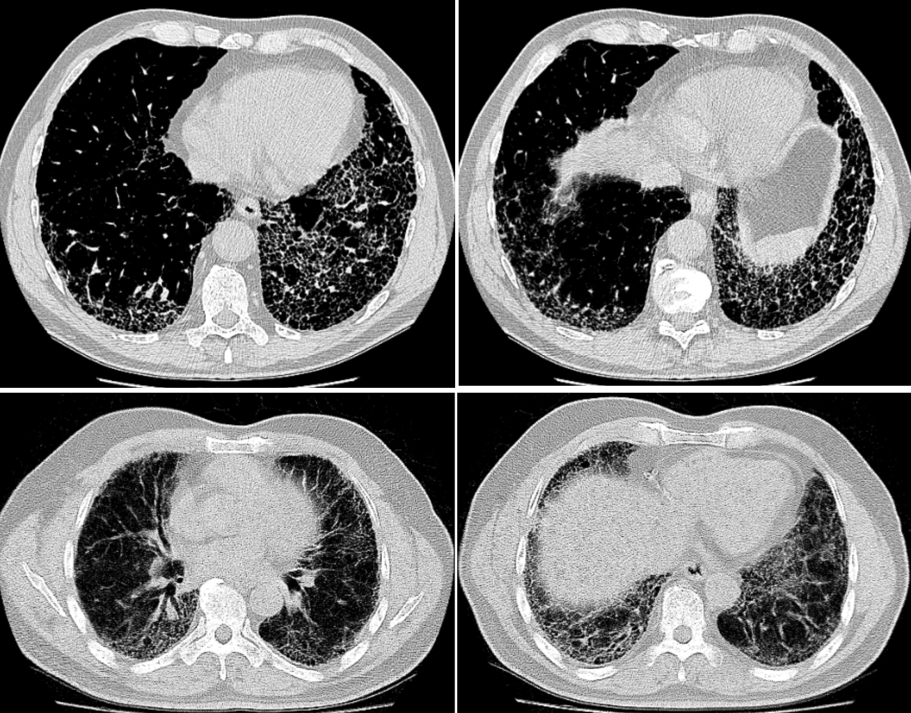
Pulmonary fibrosis is a devastating chronic lung disease that causes irreparable lung tissue scarring and damage, resulting in progressive loss in lung capacity and has no known cure. A critical step in the treatment and management of pulmonary fibrosis is the assessment of lung function decline, with computed tomography (CT) imaging being a particularly effective method for determining the extent of lung damage caused by pulmonary fibrosis. Motivated by this, we introduce Fibrosis-Net, a deep convolutional neural network design tailored for the prediction of pulmonary fibrosis progression from chest CT images. More specifically, machine-driven design exploration was leveraged to determine a strong architectural design for CT lung analysis, upon which we build a customized network design tailored for predicting forced vital capacity (FVC) based on a patient's CT scan, initial spirometry measurement, and clinical metadata. Finally, we leverage an explainability-driven performance validation strategy to study the decision-making behaviour of Fibrosis-Net as to verify that predictions are based on relevant visual indicators in CT images. Experiments using a patient cohort from the OSIC Pulmonary Fibrosis Progression Challenge showed that the proposed Fibrosis-Net is able to achieve a significantly higher modified Laplace Log Likelihood score than the winning solutions on the challenge. Furthermore, explainability-driven performance validation demonstrated that the proposed Fibrosis-Net exhibits correct decision-making behaviour by leveraging clinically-relevant visual indicators in CT images when making predictions on pulmonary fibrosis progress. While Fibrosis-Net is not yet a production-ready clinical assessment solution, we hope that its release in open source manner will encourage researchers, clinicians, and citizen data scientists alike to leverage and build upon it.


翻译:肺纤维化是一种具有破坏性的慢性肺病,造成无可弥补的肺组织疤痕和损伤,导致肺部能力逐渐丧失,而且没有已知的治疗方法。 肺纤维化治疗和管理中的一个关键步骤是评估肺功能下降,计算透视成像是一种特别有效的方法,用以确定肺部纤维化纤维化造成的肺损伤程度。我们为此引入了Fibrosis-Net,这是为预测肺部CT图像的肺纤维化进展而专门设计的深刻的神经神经网络设计。更具体地说,机械驱动设计图的探索被用来确定CT肺部分析的强有力的建筑设计,在此过程中,我们根据病人的CT扫描、初步螺旋测量测量和临床元数据,为预测肺部损伤程度而设计了一个定制的网络设计设计。 我们利用一种解释性驱动性的工作验证战略来研究Fibrobrosis-Net网络的决策行为,以核实预测是基于CT图像的相关直观指标,而不是更精确的临床诊断性分析。 使用一种耐受控性性的行为分析工具,从OSICUAL-推算的正确性分析工具显示其预测性分析结果。

0
下载
关闭预览

相关内容

【新书】Python编程基础,669页pdf
专知会员服务
197+阅读 · 2019年10月10日
最新BERT相关论文清单,BERT-related Papers
专知会员服务
53+阅读 · 2019年9月29日
Hierarchically Structured Meta-learning
CreateAMind
27+阅读 · 2019年5月22日
Transferring Knowledge across Learning Processes
CreateAMind
29+阅读 · 2019年5月18日
已删除
将门创投
3+阅读 · 2019年5月6日
论文浅尝 | Interaction Embeddings for Prediction and Explanation
开放知识图谱
11+阅读 · 2019年2月1日
A Technical Overview of AI & ML in 2018 & Trends for 2019
待字闺中
18+阅读 · 2018年12月24日
Disentangled的假设的探讨
CreateAMind
9+阅读 · 2018年12月10日
人工智能 | 国际会议/SCI期刊约稿信息9条
Call4Papers
3+阅读 · 2018年1月12日
Highway Networks For Sentence Classification
哈工大SCIR
4+阅读 · 2017年9月30日
Arxiv
0+阅读 · 2021年6月5日
Arxiv
19+阅读 · 2018年6月27日
VIP会员
相关资讯
Hierarchically Structured Meta-learning
CreateAMind
27+阅读 · 2019年5月22日
Transferring Knowledge across Learning Processes
CreateAMind
29+阅读 · 2019年5月18日
已删除
将门创投
3+阅读 · 2019年5月6日
论文浅尝 | Interaction Embeddings for Prediction and Explanation
开放知识图谱
11+阅读 · 2019年2月1日
A Technical Overview of AI & ML in 2018 & Trends for 2019
待字闺中
18+阅读 · 2018年12月24日
Disentangled的假设的探讨
CreateAMind
9+阅读 · 2018年12月10日
人工智能 | 国际会议/SCI期刊约稿信息9条
Call4Papers
3+阅读 · 2018年1月12日
Highway Networks For Sentence Classification
哈工大SCIR
4+阅读 · 2017年9月30日
Top
微信扫码咨询专知VIP会员