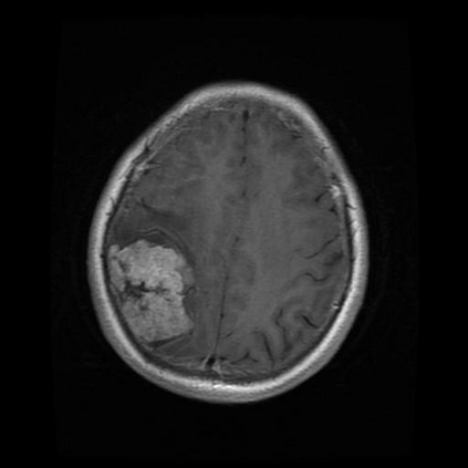
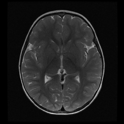
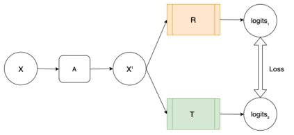
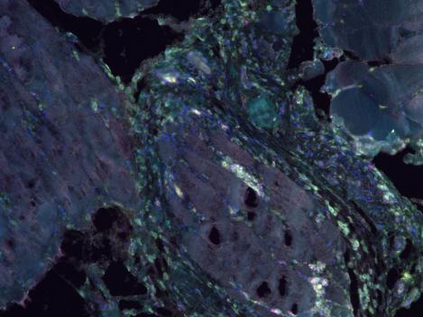
Recent advances in Deep Learning and Computer Vision have alleviated many of the bottlenecks, allowing algorithms to be label-free with better performance. Specifically, Transformers provide a global perspective of the image, which Convolutional Neural Networks (CNN) lack by design. Here we present Cross Architectural Self-Supervision, a novel self-supervised learning approach which leverages transformers and CNN simultaneously, while also being computationally accessible to general practitioners via easily available cloud services. Compared to existing state-of-the-art self-supervised learning approaches, we empirically show CASS trained CNNs, and Transformers gained an average of 8.5% with 100% labelled data, 7.3% with 10% labelled data, and 11.5% with 1% labelled data, across three diverse datasets. Notably, one of the employed datasets included histopathology slides of an autoimmune disease, a topic underrepresented in Medical Imaging and has minimal data. In addition, our findings reveal that CASS is twice as efficient as other state-of-the-art methods in terms of training time. The code is open source and is available on GitHub.


翻译:深层学习和计算机愿景的近期进展缓解了许多瓶颈,使得算法能够无标签地运行,表现更好。 具体地说, 变异器提供了一种全局图像的全局视角,而进化神经网络(CNN)却因设计而缺乏这种视角。 在这里,我们展示了跨建筑自闭式自我观察,这是一种新的自我监督的学习方法,它同时利用变压器和CNN,同时通过容易获得的云服务使普通从业者可以通过计算获得。 与现有最先进的自我监督的学习方法相比,我们从经验上展示了CASS培训的CNN, 变异器获得了平均8.5%的定位数据,7.3%的标定数据,7.3%的标定数据,11.5%的标定数据,分布在三个不同的数据集中。 值得注意的是,使用的一个数据集包括了自动免疫系统疾病的病理学幻灯片,一个医学成像中比例不足和数据极少。 此外,我们的研究结果显示, CASS在培训时间方面比其他最新方法效率高出一倍。 代码是开放的源和在 GiHub上。

0
下载
关闭预览

相关内容

剑桥大学《数据科学: 原理与实践》课程,附PPT下载
专知会员服务
54+阅读 · 2021年1月20日
100+篇《自监督学习(Self-Supervised Learning)》论文最新合集
专知会员服务
167+阅读 · 2020年3月18日
强化学习最新教程,17页pdf
专知会员服务
182+阅读 · 2019年10月11日
[综述]深度学习下的场景文本检测与识别
专知会员服务
78+阅读 · 2019年10月10日
【哈佛大学商学院课程Fall 2019】机器学习可解释性
专知会员服务
105+阅读 · 2019年10月9日
【SIGGRAPH2019】TensorFlow 2.0深度学习计算机图形学应用
专知会员服务
41+阅读 · 2019年10月9日
ACM MM 2022 Call for Papers
CCF多媒体专委会
5+阅读 · 2022年3月29日
IEEE TII Call For Papers
CCF多媒体专委会
3+阅读 · 2022年3月24日
AIART 2022 Call for Papers
CCF多媒体专委会
1+阅读 · 2022年2月13日
【ICIG2021】Check out the hot new trailer of ICIG2021 Symposium8
中国图象图形学学会CSIG
0+阅读 · 2021年11月16日
【ICIG2021】Check out the hot new trailer of ICIG2021 Symposium2
中国图象图形学学会CSIG
0+阅读 · 2021年11月8日
【ICIG2021】Check out the hot new trailer of ICIG2021 Symposium1
中国图象图形学学会CSIG
0+阅读 · 2021年11月3日
Hierarchically Structured Meta-learning
CreateAMind
27+阅读 · 2019年5月22日
Transferring Knowledge across Learning Processes
CreateAMind
29+阅读 · 2019年5月18日
Unsupervised Learning via Meta-Learning
CreateAMind
43+阅读 · 2019年1月3日
A Technical Overview of AI & ML in 2018 & Trends for 2019
待字闺中
18+阅读 · 2018年12月24日
国家自然科学基金
0+阅读 · 2015年12月31日
国家自然科学基金
0+阅读 · 2012年12月31日
国家自然科学基金
0+阅读 · 2011年12月31日
国家自然科学基金
0+阅读 · 2011年12月31日
Transformers in Medical Image Analysis: A Review
Arxiv
40+阅读 · 2022年2月24日
Arxiv
34+阅读 · 2022年2月15日
W-net: Bridged U-net for 2D Medical Image Segmentation
Arxiv
20+阅读 · 2018年7月12日
VIP会员
相关资讯
ACM MM 2022 Call for Papers
CCF多媒体专委会
5+阅读 · 2022年3月29日
IEEE TII Call For Papers
CCF多媒体专委会
3+阅读 · 2022年3月24日
AIART 2022 Call for Papers
CCF多媒体专委会
1+阅读 · 2022年2月13日
【ICIG2021】Check out the hot new trailer of ICIG2021 Symposium8
中国图象图形学学会CSIG
0+阅读 · 2021年11月16日
【ICIG2021】Check out the hot new trailer of ICIG2021 Symposium2
中国图象图形学学会CSIG
0+阅读 · 2021年11月8日
【ICIG2021】Check out the hot new trailer of ICIG2021 Symposium1
中国图象图形学学会CSIG
0+阅读 · 2021年11月3日
Hierarchically Structured Meta-learning
CreateAMind
27+阅读 · 2019年5月22日
Transferring Knowledge across Learning Processes
CreateAMind
29+阅读 · 2019年5月18日
Unsupervised Learning via Meta-Learning
CreateAMind
43+阅读 · 2019年1月3日
A Technical Overview of AI & ML in 2018 & Trends for 2019
待字闺中
18+阅读 · 2018年12月24日
相关基金
国家自然科学基金
0+阅读 · 2015年12月31日
国家自然科学基金
0+阅读 · 2012年12月31日
国家自然科学基金
0+阅读 · 2011年12月31日
国家自然科学基金
0+阅读 · 2011年12月31日
Top
微信扫码咨询专知VIP会员