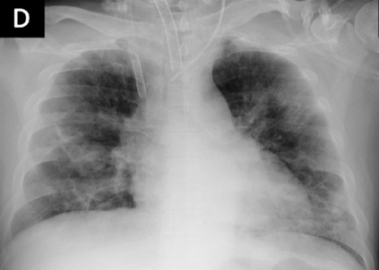
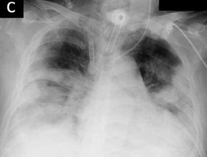
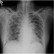
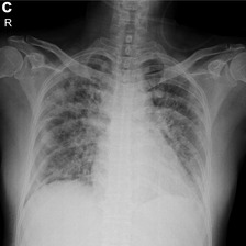
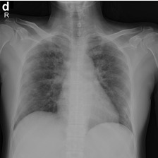
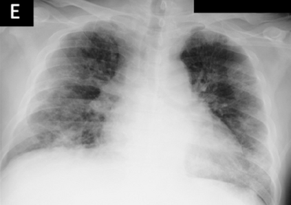
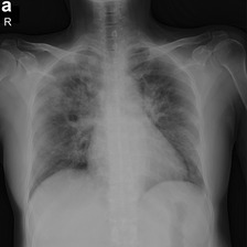
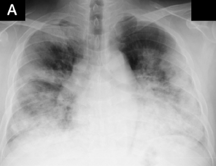
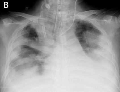
Across the world's coronavirus disease 2019 (COVID-19) hot spots, the need to streamline patient diagnosis and management has become more pressing than ever. As one of the main imaging tools, chest X-rays (CXRs) are common, fast, non-invasive, relatively cheap, and potentially bedside to monitor the progression of the disease. This paper describes the first public COVID-19 image data collection as well as a preliminary exploration of possible use cases for the data. This dataset currently contains hundreds of frontal view X-rays and is the largest public resource for COVID-19 image and prognostic data, making it a necessary resource to develop and evaluate tools to aid in the treatment of COVID-19. It was manually aggregated from publication figures as well as various web based repositories into a machine learning (ML) friendly format with accompanying dataloader code. We collected frontal and lateral view imagery and metadata such as the time since first symptoms, intensive care unit (ICU) status, survival status, intubation status, or hospital location. We present multiple possible use cases for the data such as predicting the need for the ICU, predicting patient survival, and understanding a patient's trajectory during treatment. Data can be accessed here: https://github.com/ieee8023/covid-chestxray-dataset


翻译:2019年(COVID-19)全球科罗纳病毒疾病(COVID-19)热点,简化患者诊断和管理的需要比以往更加迫切。作为主要成像工具之一,胸X光(CXRs)是常见的、快速的、非侵入的、相对廉价的,而且有可能是监测该疾病发展情况的主要成像工具之一。本文描述了首次公共COVID-19图像数据收集以及对数据可能使用案例的初步探索。该数据集目前包含数百张前视X光片,是COVID-19图像和预测性数据的最大公共资源,使得它成为开发和评价帮助治疗COVID-19的工具的必要资源。它由出版数字和各种基于网络的储存库手工汇总成机器学习(ML)友好格式,并附有数据载荷代码。我们收集了第一症状、强化护理单位状况、生存状态、内置状态或医院位置等时间的图像和元数据。我们在这里展示了多种可能的案例,用于对数据库/内存数据进行预测。我们在这里可以使用数据库/CUD数据库进行预测。

0
下载
关闭预览

相关内容

DARPA可解释人工智能
专知会员服务
131+阅读 · 2020年12月22日
【柳叶刀】人工智能在COVID-19药物再利用中的应用
专知会员服务
25+阅读 · 2020年11月25日
Linux导论,Introduction to Linux,96页ppt
专知会员服务
82+阅读 · 2020年7月26日
【干货书】真实机器学习,264页pdf,Real-World Machine Learning
[综述]深度学习下的场景文本检测与识别
专知会员服务
78+阅读 · 2019年10月10日
.NET Core 原生DI+AOP实现注解式编程
DotNet
8+阅读 · 2019年9月9日
Call for Participation: Shared Tasks in NLPCC 2019
中国计算机学会
5+阅读 · 2019年3月22日
人工智能 | SCI期刊专刊信息3条
Call4Papers
5+阅读 · 2019年1月10日
TCN v2 + 3Dconv 运动信息
CreateAMind
4+阅读 · 2019年1月8日
Unsupervised Learning via Meta-Learning
CreateAMind
43+阅读 · 2019年1月3日
A Technical Overview of AI & ML in 2018 & Trends for 2019
待字闺中
18+阅读 · 2018年12月24日
计算机类 | 期刊专刊截稿信息9条
Call4Papers
4+阅读 · 2018年1月26日
计算机视觉近一年进展综述
机器学习研究会
9+阅读 · 2017年11月25日
【推荐】用Python/OpenCV实现增强现实
机器学习研究会
15+阅读 · 2017年11月16日
深度学习医学图像分析文献集
机器学习研究会
19+阅读 · 2017年10月13日
VIP会员
相关资讯
.NET Core 原生DI+AOP实现注解式编程
DotNet
8+阅读 · 2019年9月9日
Call for Participation: Shared Tasks in NLPCC 2019
中国计算机学会
5+阅读 · 2019年3月22日
人工智能 | SCI期刊专刊信息3条
Call4Papers
5+阅读 · 2019年1月10日
TCN v2 + 3Dconv 运动信息
CreateAMind
4+阅读 · 2019年1月8日
Unsupervised Learning via Meta-Learning
CreateAMind
43+阅读 · 2019年1月3日
A Technical Overview of AI & ML in 2018 & Trends for 2019
待字闺中
18+阅读 · 2018年12月24日
计算机类 | 期刊专刊截稿信息9条
Call4Papers
4+阅读 · 2018年1月26日
计算机视觉近一年进展综述
机器学习研究会
9+阅读 · 2017年11月25日
【推荐】用Python/OpenCV实现增强现实
机器学习研究会
15+阅读 · 2017年11月16日
深度学习医学图像分析文献集
机器学习研究会
19+阅读 · 2017年10月13日
Top
微信扫码咨询专知VIP会员