开卷有“益” | 晚期食管鳞癌一线PD-1单抗联合化疗获良效

2019 年 9 月 1 日 肿瘤资讯
整理:肿瘤资讯
来源:肿瘤资讯

晚期食管癌一线治疗推荐含铂为基础的联合化疗方案,但化疗有效率相对较低,且患者耐受性较差。近期PD-1单抗帕博利珠单抗已经获批用于晚期食管癌二线或以上治疗,且在一线化疗失败后的食管癌中,多个PD-1单抗对比化疗,均可显著延长总生存期(OS)。目前在国内,多项PD-1单抗用于晚期食管癌一线治疗的临床试验正在进行中,结果令人期待。本次分享的这例晚期食管鳞癌患者,合并症较多,对含铂双药化疗的耐受性相对较差,接受一线特瑞普利单抗联合白蛋白紫杉醇治疗2周期后,取得部分缓解(PR),且联合方案安全性较好,患者耐受性佳。

基本情况

患者男性,年龄59岁。主诉为“反复咳嗽咳痰3月余,进行性吞咽困难20天”。2019年2月10日行食管镜检查,活检病理提示为低分化食管鳞癌。合并高血压、左下肢静脉栓塞和2型糖尿病,现规律服用降血压药、抗凝药和降糖药。

入院查体

查体:ECOG PS评分1分,双颈部可触及多个肿大淋巴结,最大约2cm×2cm,质硬,固定,无压痛。两肺呼吸音清,双肺未闻及明显干湿性啰音。其余查体无特殊。

入院辅助检查

胸腹部CT检查示:①符合食管癌CT表现,伴纵隔、左侧锁骨上区、双侧颈部转移可能性大。②左肺上叶结节,炎性与周围型肺癌待鉴别。③胆囊结石,右肾萎缩,左肾囊肿,下腔静脉滤器置入术后改变。④甲状腺左侧叶结节,结节与腺瘤待鉴别。

会诊病理科食管活检白片,示角化性中分化鳞状细胞癌。

仅进行PD-L1表达检测,结果为阳性(>5%)。

初步诊断

⑴ 食管鳞癌伴肺内、纵隔、左侧锁骨上区、双侧颈部转移。

⑵ 2型糖尿病。

⑶ 高血压3级,极高危组。

⑷ 左下肢静脉血栓。

一线治疗

患者分别于2019年2月28日、3月20日和4月16日接受特瑞普利单抗240mg d1+白蛋白紫杉醇400mg d2,q3w,治疗3个周期。

疗效评价

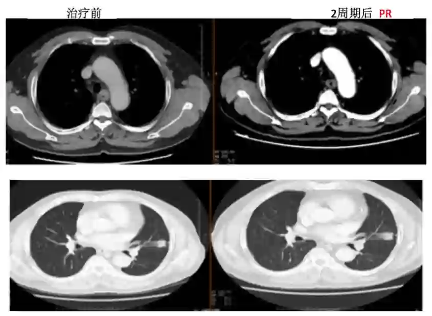
治疗后患者咳嗽减轻,吞咽困难明显缓解。查体:双颈部仍可触及多个肿大淋巴结,但较前明显缩小,最大约1cm×1cm,质硬,固定,无压痛。治疗2周期后复查胸部CT,疗效评估为PR。

总  结

晚期食管癌化疗效果欠佳,此病例基础疾病多,无法耐受联合化疗,结合PD-L1阳性表达情况,因此选用单药化疗联合免疫治疗。单药化疗联合免疫治疗在该患者取得很好的疗效,症状明显改善,疗效评价PR,无明显不良反应,患者可耐受。目前仍然在治疗中,长期的治疗效果有待观察。

病例讨论

讨论问题1:患者基础病多,无法耐受联合化疗时,能否考虑单药化疗联合免疫治疗?

目前已经开展了多项联合免疫治疗的研究,其中化疗联合免疫治疗的研究最为成功,尤其在晚期非小细胞肺癌中,免疫治疗联合化疗已经成为驱动基因阴性的晚期非小细胞肺癌的标准治疗。在食管癌、胃癌等肿瘤中,也开展了PD-1单抗联合化疗用于一线治疗的研究。临床前研究显示,免疫治疗联合化疗具有协同作用,可以进一步提高治疗疗效。然而,在追求疗效的同时,联合治疗还需要关注药物的毒副作用。上述这例患者基础疾病较多,对双药化疗的耐受性相对较差,若选用双药化疗联合免疫治疗,可能无法耐受;可以考虑单药化疗联合免疫治疗,在保证疗效的同时,减轻了毒副作用,提高了患者的耐受性。 

讨论问题2:对于机体状态较差的患者,是否能考虑使用免疫治疗?

在免疫治疗的临床研究中,通常将PS状态较差或合并症较多的患者排除在外。那么这类患者接受免疫治疗后,免疫相关不良事件(irAE)的发生率是否更高呢?2018年ASCO年会上的一篇摘要分析了患者治疗前的合并症与接受免疫治疗后irAE发生率的关系。结果显示,患者治疗前的合并症并不影响因为irAE导致免疫治疗停药的患者比例,提示在临床试验外,这类患者同样可以考虑接受免疫治疗。

讨论问题3:对于PD-L1阳性表达食管癌患者,是否考虑使用免疫治疗?

目前关于免疫治疗的疗效预测标志物是研究的热点,其中比较公认、证据较多的是PD-L1表达。在非小细胞肺癌等瘤种中,多项研究证实PD-L1表达水平与帕博利珠单抗的治疗疗效相关;在食管癌中,FDA已经正式批准帕博利珠单抗单药用于PD-L1阳性的(CPS≥10)复发性局部晚期或转移性食管鳞癌的二线及以上治疗。因此,对于PD-L1阳性的食管癌患者,可以考虑使用免疫治疗。    

               
李宝生
教授、主任医师、博士生导师

山东省肿瘤医院副院长
山东省泰山学者岗位特聘专家
中国医师协会肿瘤放射治疗医师分会会长
中华医学会肿瘤放射治疗学分会副主任委员
中国抗癌协会肿瘤放射治疗分会副主任委员
山东省医学会肺癌多学科联合委员会主席
山东省医师协会肿瘤放疗医师分会主任委员
北方肿瘤放射治疗协作组主席
《国际肿瘤学杂志》总编辑
《中华肿瘤防治杂志》副总编

专家点评
近年来,免疫治疗大放异彩,在多个实体瘤中显示出较好的疗效。在晚期食管癌中,免疫治疗也取得了一定的进展。目前,FDA已经正式批准帕博利珠单抗单药用于PD-L1阳性的(CPS≥10)复发性局部晚期或转移性食管鳞癌的二线及以上治疗。KEYNOTE-181研究评估了帕博利珠单抗对比单药化疗二线治疗晚期或转移性食管或食管胃交界癌的疗效和安全性。结果显示,帕博利珠单抗可显著改善PD-L1 CPS≥10%的晚期食管癌患者的OS,且安全性更好。纳武利尤单抗治疗晚期或复发性食管癌的Ⅲ期临床研究ATTRACTION-3的结果也以新闻形式发布,在PD-L1非选择性的患者中,与化疗组相比,纳武利尤单抗可以显著延长患者的OS。此外,帕博利珠单抗联合化疗用于晚期食管癌一线治疗的Ⅲ期临床研究KEYNOTE-590也在进行中,值得期待。就目前而言,对于晚期食管癌一线治疗, NCCN指南推荐的标准方案为两药联合的化疗方案,优选方案包括氟尿嘧啶(5-FU)或卡培他滨联合铂类,此外,紫杉类联合铂类也可作为可选方案。然而,一线化疗的有效率一般,耐受性不佳往往是食管癌患者难以坚持治疗的主要原因。上述这例晚期食管鳞癌患者,有高血压、糖尿病等合并症,接受含铂双药化疗的耐受性可能较差,结合PD-L1阳性表达情况,选用一线特瑞普利单抗联合白蛋白紫杉醇是合理选择,2个周期治疗后取得了PR,疗效较好,且耐受性较优。特瑞普利单抗作为我国第一个上市的国产PD-1单抗,已经在中国黑色素瘤患者中证实了其疗效和安全性,前期临床试验也证实其对于晚期食管癌患者有效,目前多项特瑞普利单抗用于食管癌的研究正在进行中,结果令人期待。
参考文献

1. Sean C G, Thomas H, Daniel S A, et al. Impact of comorbidity on immune checkpoint blockade tolerance across tumor types[J]. JCO.2018.36.15_suppl.e15068.

2. Takashi K, Kei M, Eric F, et al. Pembrolizumab versus chemotherapy as second-line therapy for advanced esophageal cancer: Phase III KEYNOTE-181 study[J]. 2019 Gastrointestinal Cancers Symposium. Abstract: 2.

3. Gina Columbus. Nivolumab Improves OS in Advanced or Recurrent Esophageal Cancer[N]. OncLive. Jan 10, 2019.                   

更多免疫热点资讯,尽在TOP益学院专栏!


登录查看更多
1

相关内容

模式识别 Pattern Recognition
【IJCAI2020】TransOMCS: 从语言图谱到常识图谱
专知会员服务
35+阅读 · 2020年5月4日
专知会员服务
29+阅读 · 2020年3月6日
【学科交叉】抗生素发现的深度学习方法
专知会员服务
25+阅读 · 2020年2月23日
【综述】智能医疗综述,48页论文详述医学AI最新进展
专知会员服务
71+阅读 · 2019年9月1日
Deflecting Adversarial Attacks
Arxiv
8+阅读 · 2020年2月18日
Arxiv
5+阅读 · 2018年4月13日
Arxiv
6+阅读 · 2018年2月28日
VIP会员
Top
微信扫码咨询专知VIP会员