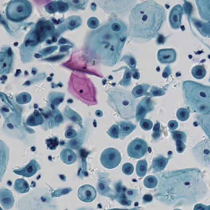
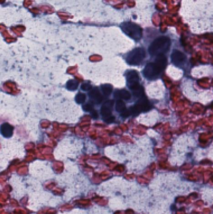
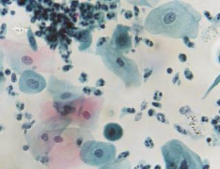
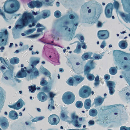
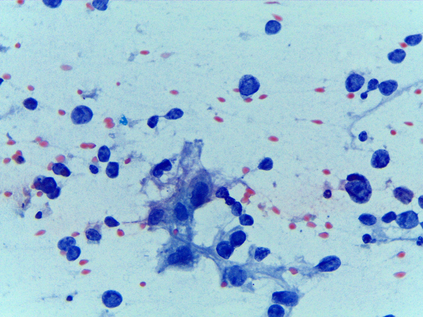
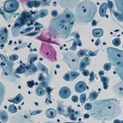
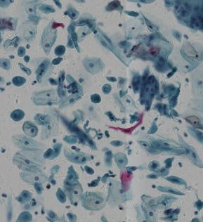
Computational cytology is a critical, rapid-developing, yet challenging topic in the field of medical image computing which analyzes the digitized cytology image by computer-aided technologies for cancer screening. Recently, an increasing number of deep learning (DL) algorithms have made significant progress in medical image analysis, leading to the boosting publications of cytological studies. To investigate the advanced methods and comprehensive applications, we survey more than 120 publications of DL-based cytology image analysis in this article. We first introduce various deep learning methods, including fully supervised, weakly supervised, unsupervised, and transfer learning. Then, we systematically summarize the public datasets, evaluation metrics, versatile cytology image analysis applications including classification, detection, segmentation, and other related tasks. Finally, we discuss current challenges and potential research directions of computational cytology.


翻译:在医学图象计算领域,计算细胞学是一个关键、快速发展但又具有挑战性的专题,通过计算机辅助癌症筛查技术分析数字化细胞学图象。最近,越来越多的深度学习算法在医学图象分析方面取得了显著进展,从而推动了细胞学研究出版物的出版。为了调查本篇文章中的先进方法和综合应用,我们调查了120多份基于DL的细胞学图象分析出版物。我们首先引入了各种深层次的学习方法,包括充分监管、监管薄弱、不受监督和转移学习。然后,我们系统地总结了公共数据集、评价指标、多功能细胞学图象分析应用,包括分类、检测、分解和其他相关任务。最后,我们讨论了目前的挑战以及计算细胞学的潜在研究方向。

0
下载
关闭预览

相关内容

100+篇《自监督学习(Self-Supervised Learning)》论文最新合集
专知会员服务
167+阅读 · 2020年3月18日
Stabilizing Transformers for Reinforcement Learning
专知会员服务
60+阅读 · 2019年10月17日
Keras François Chollet 《Deep Learning with Python 》, 386页pdf
专知会员服务
163+阅读 · 2019年10月12日
强化学习最新教程,17页pdf
专知会员服务
182+阅读 · 2019年10月11日
[综述]深度学习下的场景文本检测与识别
专知会员服务
78+阅读 · 2019年10月10日
VCIP 2022 Call for Special Session Proposals
CCF多媒体专委会
1+阅读 · 2022年4月1日
IEEE ICKG 2022: Call for Papers
机器学习与推荐算法
3+阅读 · 2022年3月30日
ACM MM 2022 Call for Papers
CCF多媒体专委会
5+阅读 · 2022年3月29日
IEEE TII Call For Papers
CCF多媒体专委会
3+阅读 · 2022年3月24日
ACM TOMM Call for Papers
CCF多媒体专委会
2+阅读 · 2022年3月23日
AIART 2022 Call for Papers
CCF多媒体专委会
1+阅读 · 2022年2月13日
【ICIG2021】Latest News & Announcements of the Plenary Talk2
中国图象图形学学会CSIG
0+阅读 · 2021年11月2日
【ICIG2021】Latest News & Announcements of the Industry Talk1
中国图象图形学学会CSIG
0+阅读 · 2021年7月28日
Unsupervised Learning via Meta-Learning
CreateAMind
43+阅读 · 2019年1月3日
强化学习族谱
CreateAMind
26+阅读 · 2017年8月2日
国家自然科学基金
3+阅读 · 2017年12月31日
国家自然科学基金
1+阅读 · 2015年12月31日
国家自然科学基金
46+阅读 · 2015年12月31日
国家自然科学基金
0+阅读 · 2013年12月31日
国家自然科学基金
1+阅读 · 2012年12月31日
国家自然科学基金
0+阅读 · 2012年12月31日
国家自然科学基金
0+阅读 · 2011年12月31日
国家自然科学基金
0+阅读 · 2011年12月31日
国家自然科学基金
1+阅读 · 2009年12月31日
国家自然科学基金
2+阅读 · 2009年12月31日
A Survey on Deep Hashing Methods
Arxiv
1+阅读 · 2022年4月19日
Arxiv
2+阅读 · 2022年4月19日
Arxiv
23+阅读 · 2022年2月24日
Arxiv
58+阅读 · 2021年5月3日
Arxiv
17+阅读 · 2020年11月15日
A Comprehensive Survey on Transfer Learning
Arxiv
121+阅读 · 2019年11月7日
Arxiv
53+阅读 · 2018年12月11日
VIP会员
相关VIP内容
相关资讯
VCIP 2022 Call for Special Session Proposals
CCF多媒体专委会
1+阅读 · 2022年4月1日
IEEE ICKG 2022: Call for Papers
机器学习与推荐算法
3+阅读 · 2022年3月30日
ACM MM 2022 Call for Papers
CCF多媒体专委会
5+阅读 · 2022年3月29日
IEEE TII Call For Papers
CCF多媒体专委会
3+阅读 · 2022年3月24日
ACM TOMM Call for Papers
CCF多媒体专委会
2+阅读 · 2022年3月23日
AIART 2022 Call for Papers
CCF多媒体专委会
1+阅读 · 2022年2月13日
【ICIG2021】Latest News & Announcements of the Plenary Talk2
中国图象图形学学会CSIG
0+阅读 · 2021年11月2日
【ICIG2021】Latest News & Announcements of the Industry Talk1
中国图象图形学学会CSIG
0+阅读 · 2021年7月28日
Unsupervised Learning via Meta-Learning
CreateAMind
43+阅读 · 2019年1月3日
强化学习族谱
CreateAMind
26+阅读 · 2017年8月2日
相关论文
A Survey on Deep Hashing Methods
Arxiv
1+阅读 · 2022年4月19日
Arxiv
2+阅读 · 2022年4月19日
Arxiv
23+阅读 · 2022年2月24日
Arxiv
58+阅读 · 2021年5月3日
Arxiv
17+阅读 · 2020年11月15日
A Comprehensive Survey on Transfer Learning
Arxiv
121+阅读 · 2019年11月7日
Arxiv
53+阅读 · 2018年12月11日
相关基金
国家自然科学基金
3+阅读 · 2017年12月31日
国家自然科学基金
1+阅读 · 2015年12月31日
国家自然科学基金
46+阅读 · 2015年12月31日
国家自然科学基金
0+阅读 · 2013年12月31日
国家自然科学基金
1+阅读 · 2012年12月31日
国家自然科学基金
0+阅读 · 2012年12月31日
国家自然科学基金
0+阅读 · 2011年12月31日
国家自然科学基金
0+阅读 · 2011年12月31日
国家自然科学基金
1+阅读 · 2009年12月31日
国家自然科学基金
2+阅读 · 2009年12月31日
Top
微信扫码咨询专知VIP会员