当强迫症遇上AI,这种“另类绝症”有救了?

2021 年 12 月 14 日 学术头条

撰文:朱哼哼
编审:王哈哈
排版:李雪薇


生活中,总有一些人喜欢将自己的物品摆放整齐,或者爱干净、有洁癖。对于这类人,我们称其为“强迫症”。

医学上将强迫症定义为焦虑障碍的一种,主要表现为强迫性思维和强迫性行为。例如,出门时明明已经锁门了,但是还是会一直怀疑到底有没有锁门,万一没锁怎么办。再比如,夜晚下班或者放学回家的路上,明明回头看到背后没有人,但是还是忍不住怀疑有人在跟踪。亦或是,明明觉得不真实,但还是会觉得身边的某个人可能会伤害自己。

相信在日常生活中,大部分人都会有过上述的一些经历,那么这是否意味着我们得了强迫症了呢?

一般而言,生活中偶尔出现上述症状其实是正常现象,只要没有影响正常生活即可,而真正的强迫症症状会严重很多。例如,电影《飞行家》中的小李子,怀疑手没有洗干净,反复搓洗一直到把手洗出血才罢手,或担心厕所把手脏不敢开门,直到别人开门才出去。当然,
生活中可能也有一些强迫症患者的症状不是这么明显,诊断起来也比较困难。

近日,来自美国布朗大学脑科学研究所的 David A. Borton 教授带领的研究团队通过对 5 名重度强迫症患者进行长期脑电监测,
并利用人工智能对患者生活中的强迫行为进行分析,首次识别出了大脑中强迫症相关的脑电波信号,为强迫症的诊断和针对性治疗铺平了道路。

对此,Borton 教授表示,“强迫症是一种症状严重程度随时间变化很大的疾病,受多种环境因素影响。此前,药物治疗效果不佳的患者,深部脑刺激可以有效缓解强迫症状。不过,由于无法识别患者强迫症发作的时机,深部脑刺激会带来一系列的副作用。在此次研究中,我们
首次识别出了强迫症相关的脑电波信号,针对这一信号调整深度脑刺激强度,无疑会降低副作用。”



该研究以“Long-term ecological assessment of intracranial electrophysiology synchronized to behavioral markers in obsessive-compulsive disorder”为题,发表在最近一期的 Nature Medicine 杂志上。

强迫症真的是一种病

在日常工作生活中,如果有人过分较真,我们可能会开玩笑说他有“强迫症”,仿佛强迫症只是一个很小的事情。然而,实际上强迫症对患者生活的影响非常大。由于强迫症患者可以意识到各种强迫思维只是自己的想象,因此很想摆脱这种思维,但又无法控制自己不去想象,因此他们往往会产生严重的焦虑和痛苦,对于学习、工作、生活以及人际交往都会导致严重影响。

近年来,统计数据提示强迫症的发病率正在不断攀升,有研究显示普通人群中强迫症的患病率接近 2%,约 2/3 的患者在 25 岁前发病。也就是说,
每 100 个人中就有大约 2 个强迫症患者,且大多是年轻人。 世界卫生组织(WHO)所做的全球疾病调查也发现,强迫症已成为 15~44 岁青年人群中造成疾病负担最重的 20 种疾病之一。

不过,在临床上,确诊的强迫症患者远低于这一比例。首先,与普通人不同,在很多强迫症患者的意识中,各种强迫性思想或行为反而是正常的,且部分患者会隐瞒自己的症状,不愿意就诊。其次,由于强迫症的症状非常广泛,患者的就诊过程往往非常曲折,很难确诊。此外,很多强迫症患者往往也患有其他精神疾病,例如焦虑、抑郁等等,从而导致漏诊。

(来源:psu.edu)


目前,针对强迫症的治疗主要有三种方式,首先是 药物治疗 ,虽然强迫症的发病原因至今不明,但有研究发现强迫症的发病有生物学方面的因素,脑内神经递质失衡是造成强迫症发病的重要原因。目前的抗强迫药物都是用抗抑郁药,抗抑郁药可以调节强迫症患者脑内神经递质水平,使脑内的神经递质趋向正常,从而改善强迫症状。

其次是
心理治疗 ,强迫症常用的心理治疗方法包括认知行为治疗、精神动力学治疗、支持性心理治疗及森田疗法等。其中,认知行为治疗被认为是治疗强迫症最有效的心理治疗方法。一般来说,药物治疗联合心理治疗,可以明显改善患者强迫症状,降低长期复发率。临床上,大约 70% 的患者都对联合治疗有反应。

最后,对于药物治疗以及心理干预无效的患者,
深部脑刺激 也是一种可行的治疗方案。

人工智能助力捕获强迫症大脑信号

所谓深部脑刺激,就是利用外科手术,将电极植入到患者脑内,并利用脉冲发生器刺激患者大脑深部特定区域,以纠正大脑异常的脑电波,缓解神经异常症状。由于深部脑刺激不会破坏大脑结构和正常功能,因此被广泛应用于多种神经和精神疾病,例如帕金森、特发性震颤、肌张力障碍、癫痫、老年痴呆等的治疗。

对于各种药物和心理治疗无效的难治性强迫症患者,深部脑刺激可以起到非常好的疗效,超过一半的患者症状明显改善,生活质量显著提高。而虽然深部脑刺激对于部分强迫症患者的强迫症状疗效欠佳,但是其焦虑、抑郁等伴随症状均明显改善。

相比于其他神经外科治疗手段,
深部脑刺激的主要优势在于,可以通过调节刺激频率和参数,尽可能的实现精确治疗,增加疗效,降低不良反应。

然而,对于强迫症患者而言,深部脑刺激的频率和强度都是由医生自己的经验来调节,不同患者在经过刺激后症状缓解时间数周到数月不等,管理起来非常复杂。因此,
为了改善深部脑刺激的疗效,必须精准的识别患者强迫症发作时机,并针对性给予刺激。

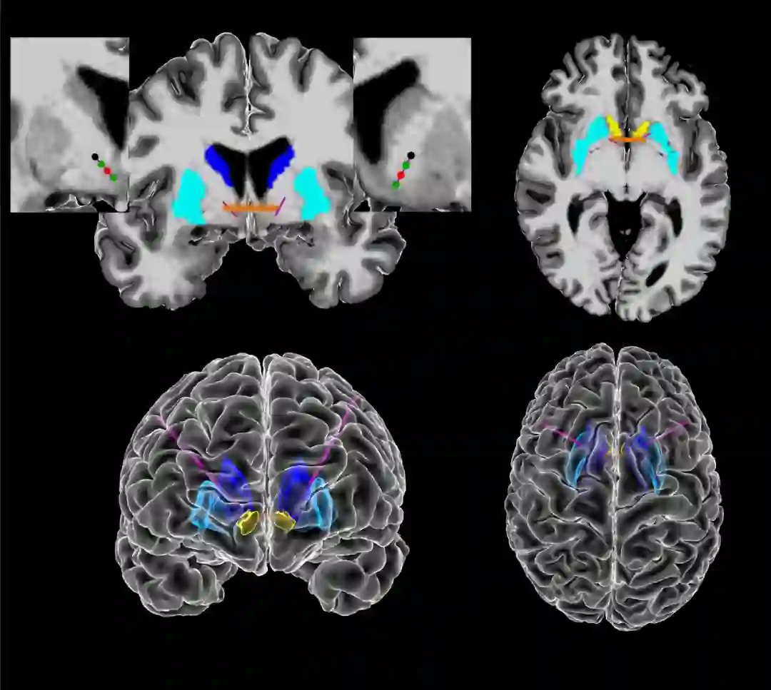
图 | 颅内电生理数据的采集(来源:Nature


为此,Borton 教授带领的研究团队招募了 5 名接受深部脑刺激治疗的重度强迫症患者进行试验,收集强迫症患者的脑电波活动,同时利用视频记录患者的生活和行为,并利用人工智能评估患者各种微妙的情绪变化,并与脑电波活动相匹配。

结果发现,
与以往的经验不同,强迫症的大脑信号不仅仅来自于大脑腹侧内囊/腹侧纹状体 ,也来自于大脑皮质-纹状体-丘脑-皮质环路。 除了脑电波信号,研究人员还收集了一套强迫症患者行为的生物标志物,包括面部表情和身体运动。通过人工智能,他们发现这些行为和特征与大脑内部信号变化密切相关。


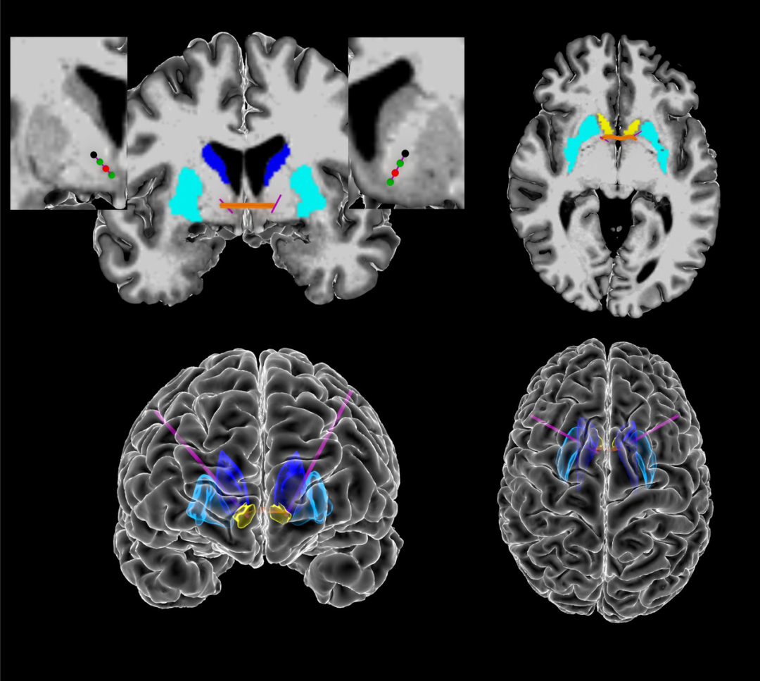
图 | 大脑深部刺激的作用示意(来源:Nature


同时,研究人员证明,当患者出现这些强迫症标准,无论是大脑信号还是行为标志时进行深部脑刺激可以显著改善患者的强迫症状。

显然,利用这些标志物,
未来人们可以开发出更为精确的自动化深部脑刺激系统。 一旦患者出现强迫症信号,系统便可自动捕捉并及时利用深部脑刺激进行针对性缓解,且依据患者症状强度,自动调节刺激强度。

据悉,研究人员目前正在开发自动化深部脑刺激系统。同时,研究人员还计划进一步招募更多患者进行试验,以捕捉更多的强迫症标志,从而更精准、更有效地指导自动化深部脑刺激系统。

参考资料:
https://www.nature.com/articles/s41591-021-01550-z

https://www.brown.edu/news/2021-12-09/ocd

点这里关注我👇记得标星~



热门视频推荐

更多精彩视频,尽在学术头条视频号,欢迎关注~


# 往期推荐 #

00后之光!4名高中生开发的这款App,让视障人群重获出行自由


登录查看更多
0

相关内容

人工智能杂志AI(Artificial Intelligence)是目前公认的发表该领域最新研究成果的主要国际论坛。该期刊欢迎有关AI广泛方面的论文,这些论文构成了整个领域的进步,也欢迎介绍人工智能应用的论文,但重点应该放在新的和新颖的人工智能方法如何提高应用领域的性能,而不是介绍传统人工智能方法的另一个应用。关于应用的论文应该描述一个原则性的解决方案,强调其新颖性,并对正在开发的人工智能技术进行深入的评估。 官网地址:http://dblp.uni-trier.de/db/journals/ai/
专知会员服务
21+阅读 · 2021年6月18日
CVPR 2021 | 时间序列疾病预测的因果隐马尔可夫模型
专知会员服务
64+阅读 · 2021年4月11日
专知会员服务
39+阅读 · 2021年3月29日
专知会员服务
44+阅读 · 2020年7月15日
因果图,Causal Graphs,52页ppt
专知会员服务
253+阅读 · 2020年4月19日
人工智能,装在罐子里
学术头条
0+阅读 · 2022年4月13日
疫情宅家躺平?AI教练:不存在的
新智元
0+阅读 · 2022年4月13日
疫情之下,感觉很焦虑,怎么办?
创业邦杂志
0+阅读 · 2022年4月11日
为什么你总是越睡越困?
36氪
0+阅读 · 2022年3月8日
国家自然科学基金
1+阅读 · 2015年12月31日
国家自然科学基金
0+阅读 · 2014年12月31日
国家自然科学基金
0+阅读 · 2012年12月31日
国家自然科学基金
0+阅读 · 2012年12月31日
国家自然科学基金
1+阅读 · 2012年12月31日
Arxiv
0+阅读 · 2022年4月18日
Exploring Visual Relationship for Image Captioning
Arxiv
15+阅读 · 2018年9月19日
VIP会员
相关资讯
人工智能,装在罐子里
学术头条
0+阅读 · 2022年4月13日
疫情宅家躺平?AI教练:不存在的
新智元
0+阅读 · 2022年4月13日
疫情之下,感觉很焦虑,怎么办?
创业邦杂志
0+阅读 · 2022年4月11日
为什么你总是越睡越困?
36氪
0+阅读 · 2022年3月8日
相关基金
国家自然科学基金
1+阅读 · 2015年12月31日
国家自然科学基金
0+阅读 · 2014年12月31日
国家自然科学基金
0+阅读 · 2012年12月31日
国家自然科学基金
0+阅读 · 2012年12月31日
国家自然科学基金
1+阅读 · 2012年12月31日
Top
微信扫码咨询专知VIP会员