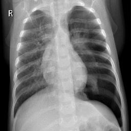
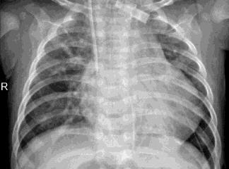
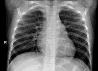
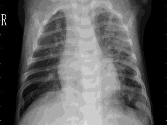
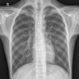
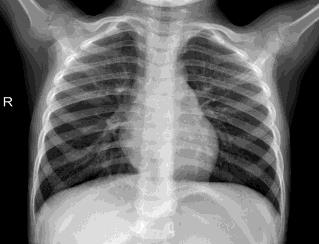
Pneumonia, a respiratory infection brought on by bacteria or viruses, affects a large number of people, especially in developing and impoverished countries where high levels of pollution, unclean living conditions, and overcrowding are frequently observed, along with insufficient medical infrastructure. Pleural effusion, a condition in which fluids fill the lung and complicate breathing, is brought on by pneumonia. Early detection of pneumonia is essential for ensuring curative care and boosting survival rates. The approach most usually used to diagnose pneumonia is chest X-ray imaging. The purpose of this work is to develop a method for the automatic diagnosis of bacterial and viral pneumonia in digital x-ray pictures. This article first presents the authors' technique, and then gives a comprehensive report on recent developments in the field of reliable diagnosis of pneumonia. In this study, here tuned a state-of-the-art deep convolutional neural network to classify plant diseases based on images and tested its performance. Deep learning architecture is compared empirically. VGG19, ResNet with 152v2, Resnext101, Seresnet152, Mobilenettv2, and DenseNet with 201 layers are among the architectures tested. Experiment data consists of two groups, sick and healthy X-ray pictures. To take appropriate action against plant diseases as soon as possible, rapid disease identification models are preferred. DenseNet201 has shown no overfitting or performance degradation in our experiments, and its accuracy tends to increase as the number of epochs increases. Further, DenseNet201 achieves state-of-the-art performance with a significantly a smaller number of parameters and within a reasonable computing time. This architecture outperforms the competition in terms of testing accuracy, scoring 95%. Each architecture was trained using Keras, using Theano as the backend.


翻译:肺炎是一种由细菌或病毒引起的呼吸道感染,它影响到大量的人,特别是在发展中国家和贫穷国家,那里经常观察到污染程度高、生活条件不干净和过分拥挤,加上医疗基础设施不足。肺炎引发了肺炎,使液体填充肺部和使呼吸复杂化的状态变得模糊不清。早期发现肺炎对于确保治疗护理和提高存活率至关重要。最常用的诊断肺炎的方法是胸部X射线成像。这项工作的目的是在数字X射线图片中开发一种自动诊断细菌和病毒肺炎的方法。这篇文章首先展示了作者的技术,然后全面报告了肺炎可靠诊断领域的最新发展情况。在本研究中,根据图像和测试其性能,对植物疾病进行分类的极深层神经网络网络网络。VGG19,ResNet 与 152v2, Restext0101, Seresnet152, Movenettv2, 以及DenseNet 20层, 快速的精确性能测试了这一结构的精确性能。在快速的模型中,实验性能显示的是, 258 和D的机型病变变的机的机的机的机的机的机的机变, 值是: 10。

0
下载
关闭预览

相关内容

专知会员服务
124+阅读 · 2020年9月8日
Keras François Chollet 《Deep Learning with Python 》, 386页pdf
专知会员服务
161+阅读 · 2019年10月12日
强化学习最新教程,17页pdf
专知会员服务
182+阅读 · 2019年10月11日
[综述]深度学习下的场景文本检测与识别
专知会员服务
78+阅读 · 2019年10月10日
【哈佛大学商学院课程Fall 2019】机器学习可解释性
专知会员服务
105+阅读 · 2019年10月9日
ACM MM 2022 Call for Papers
CCF多媒体专委会
5+阅读 · 2022年3月29日
AIART 2022 Call for Papers
CCF多媒体专委会
1+阅读 · 2022年2月13日
【ICIG2021】Check out the hot new trailer of ICIG2021 Symposium9
中国图象图形学学会CSIG
0+阅读 · 2021年12月17日
【ICIG2021】Check out the hot new trailer of ICIG2021 Symposium8
中国图象图形学学会CSIG
0+阅读 · 2021年11月16日
【ICIG2021】Check out the hot new trailer of ICIG2021 Symposium7
中国图象图形学学会CSIG
0+阅读 · 2021年11月15日
【ICIG2021】Check out the hot new trailer of ICIG2021 Symposium6
中国图象图形学学会CSIG
2+阅读 · 2021年11月12日
【ICIG2021】Check out the hot new trailer of ICIG2021 Symposium4
中国图象图形学学会CSIG
0+阅读 · 2021年11月10日
【ICIG2021】Check out the hot new trailer of ICIG2021 Symposium2
中国图象图形学学会CSIG
0+阅读 · 2021年11月8日
【ICIG2021】Check out the hot new trailer of ICIG2021 Symposium1
中国图象图形学学会CSIG
0+阅读 · 2021年11月3日
【推荐】用Tensorflow理解LSTM
机器学习研究会
36+阅读 · 2017年9月11日
国家自然科学基金
0+阅读 · 2014年12月31日
国家自然科学基金
1+阅读 · 2013年12月31日
国家自然科学基金
0+阅读 · 2012年12月31日
国家自然科学基金
0+阅读 · 2012年12月31日
国家自然科学基金
0+阅读 · 2012年12月31日
国家自然科学基金
0+阅读 · 2011年12月31日
国家自然科学基金
0+阅读 · 2011年12月31日
国家自然科学基金
0+阅读 · 2011年12月31日
Arxiv
0+阅读 · 2023年2月24日
Arxiv
38+阅读 · 2021年8月31日
Arxiv
20+阅读 · 2020年6月8日
Arxiv
12+阅读 · 2018年9月5日
Arxiv
20+阅读 · 2018年1月17日
VIP会员
相关资讯
ACM MM 2022 Call for Papers
CCF多媒体专委会
5+阅读 · 2022年3月29日
AIART 2022 Call for Papers
CCF多媒体专委会
1+阅读 · 2022年2月13日
【ICIG2021】Check out the hot new trailer of ICIG2021 Symposium9
中国图象图形学学会CSIG
0+阅读 · 2021年12月17日
【ICIG2021】Check out the hot new trailer of ICIG2021 Symposium8
中国图象图形学学会CSIG
0+阅读 · 2021年11月16日
【ICIG2021】Check out the hot new trailer of ICIG2021 Symposium7
中国图象图形学学会CSIG
0+阅读 · 2021年11月15日
【ICIG2021】Check out the hot new trailer of ICIG2021 Symposium6
中国图象图形学学会CSIG
2+阅读 · 2021年11月12日
【ICIG2021】Check out the hot new trailer of ICIG2021 Symposium4
中国图象图形学学会CSIG
0+阅读 · 2021年11月10日
【ICIG2021】Check out the hot new trailer of ICIG2021 Symposium2
中国图象图形学学会CSIG
0+阅读 · 2021年11月8日
【ICIG2021】Check out the hot new trailer of ICIG2021 Symposium1
中国图象图形学学会CSIG
0+阅读 · 2021年11月3日
【推荐】用Tensorflow理解LSTM
机器学习研究会
36+阅读 · 2017年9月11日
相关基金
国家自然科学基金
0+阅读 · 2014年12月31日
国家自然科学基金
1+阅读 · 2013年12月31日
国家自然科学基金
0+阅读 · 2012年12月31日
国家自然科学基金
0+阅读 · 2012年12月31日
国家自然科学基金
0+阅读 · 2012年12月31日
国家自然科学基金
0+阅读 · 2011年12月31日
国家自然科学基金
0+阅读 · 2011年12月31日
国家自然科学基金
0+阅读 · 2011年12月31日
Top
微信扫码咨询专知VIP会员