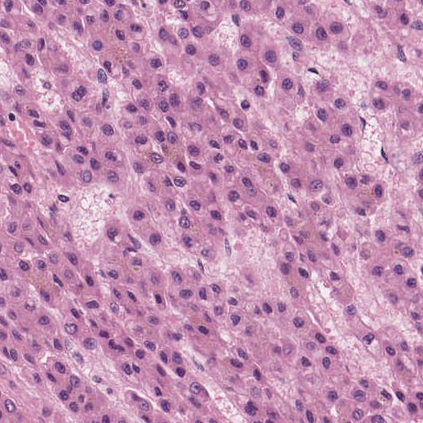
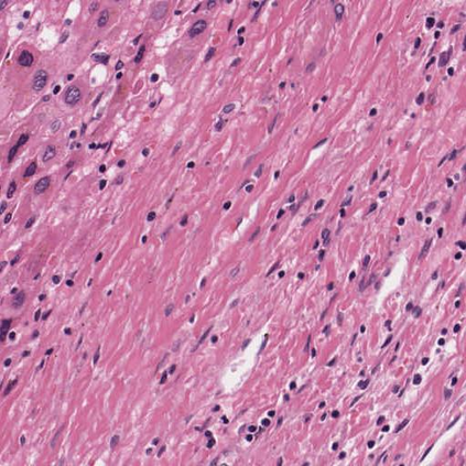
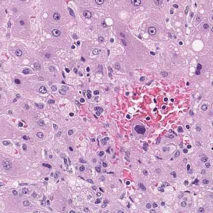
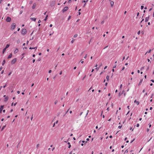
Histopathology has played an essential role in cancer diagnosis. With the rapid advances in convolutional neural networks (CNN). Various CNN-based automated pathological image segmentation approaches have been developed in computer-assisted pathological image analysis. In the past few years, Transformer neural networks (Transformer) have shown the unique merit of capturing the global long-distance dependencies across the entire image as a new deep learning paradigm. Such merit is appealing for exploring spatially heterogeneous pathological images. However, there have been very few, if any, studies that have systematically evaluated the current Transformer-based approaches in pathological image segmentation. To assess the performance of Transformer segmentation models on whole slide images (WSI), we quantitatively evaluated six prevalent transformer-based models on tumor segmentation, using the widely used PAIP liver histopathological dataset. For a more comprehensive analysis, we also compare the transformer-based models with six major traditional CNN-based models. The results show that the Transformer-based models exhibit a general superior performance over the CNN-based models. In particular, Segmenter, Swin-Transformer and TransUNet-all transformer-based-came out as the best performers among the twelve evaluated models.


翻译:在癌症诊断中,病理学在病理学病理学学上发挥了不可或缺的作用。随着进化神经网络(CNN)的快速进步,在计算机辅助病理图象分析中开发了各种CNN自动病理图象分解方法。在过去几年中,变异神经网络(Transer)显示,将全球长距离依赖全图象作为新的深层学习模式,具有独特的优势。这种优势有助于探索空间上差异性病理学图像。然而,由于以CNN为基础的变异模型在病理图象分解中系统评估当前以变异器为基础的方法的研究(如果有的话)很少。为了评估整个幻灯片图象变异器分解模型的性能,我们用广泛使用的APIP肝脏病理学数据集对肿瘤分解的六个流行变异变器模型进行了定量评估。为了更全面的分析,我们还将基于变异器的模型与六种以CNN为基础的主要传统模式进行比较。结果显示,以变异器为基础的模型在CNN的模型中展示了一般优异性表现。特别是,分段器、Swin-Transfor-trafor和Trades-Transall-traction-dall-dall-tractionerview-ders作为最佳的模型。

0
下载
关闭预览

相关内容

剑桥大学《数据科学: 原理与实践》课程,附PPT下载
专知会员服务
54+阅读 · 2021年1月20日
最新《Transformers模型》教程,64页ppt
专知会员服务
325+阅读 · 2020年11月26日
Python图像处理,366页pdf,Image Operators Image Processing in Python
Stabilizing Transformers for Reinforcement Learning
专知会员服务
60+阅读 · 2019年10月17日
【SIGGRAPH2019】TensorFlow 2.0深度学习计算机图形学应用
专知会员服务
41+阅读 · 2019年10月9日
一文带你读懂 SegNet(语义分割)
AI研习社
19+阅读 · 2019年3月9日
TorchSeg:基于pytorch的语义分割算法开源了
极市平台
20+阅读 · 2019年1月28日
Disentangled的假设的探讨
CreateAMind
9+阅读 · 2018年12月10日
Hierarchical Disentangled Representations
CreateAMind
4+阅读 · 2018年4月15日
(TensorFlow)实时语义分割比较研究
机器学习研究会
9+阅读 · 2018年3月12日
计算机视觉近一年进展综述
机器学习研究会
9+阅读 · 2017年11月25日
【论文】变分推断(Variational inference)的总结
机器学习研究会
39+阅读 · 2017年11月16日
深度学习医学图像分析文献集
机器学习研究会
19+阅读 · 2017年10月13日
【推荐】全卷积语义分割综述
机器学习研究会
19+阅读 · 2017年8月31日
Auto-Encoding GAN
CreateAMind
7+阅读 · 2017年8月4日
Arxiv
4+阅读 · 2018年6月1日
Arxiv
8+阅读 · 2018年5月15日
VIP会员
相关资讯
一文带你读懂 SegNet(语义分割)
AI研习社
19+阅读 · 2019年3月9日
TorchSeg:基于pytorch的语义分割算法开源了
极市平台
20+阅读 · 2019年1月28日
Disentangled的假设的探讨
CreateAMind
9+阅读 · 2018年12月10日
Hierarchical Disentangled Representations
CreateAMind
4+阅读 · 2018年4月15日
(TensorFlow)实时语义分割比较研究
机器学习研究会
9+阅读 · 2018年3月12日
计算机视觉近一年进展综述
机器学习研究会
9+阅读 · 2017年11月25日
【论文】变分推断(Variational inference)的总结
机器学习研究会
39+阅读 · 2017年11月16日
深度学习医学图像分析文献集
机器学习研究会
19+阅读 · 2017年10月13日
【推荐】全卷积语义分割综述
机器学习研究会
19+阅读 · 2017年8月31日
Auto-Encoding GAN
CreateAMind
7+阅读 · 2017年8月4日
Top
微信扫码咨询专知VIP会员