【新年病例有奖征集】“O+诊疗档案室”征集NSCLC免疫治疗病例

2019 年 2 月 3 日 肿瘤资讯
整理:肿瘤资讯
来源:肿瘤资讯

鞭炮响,新春到,金猪贺岁,福运满堂。今天,小编带着丰厚的奖品翘首以待,欢迎大家积极参与“O+诊疗档案室”有奖病例征集。

 “O+诊疗档案室”是良医汇肿瘤资讯推出的一个专注于免疫治疗的学习交流平台和病例档案库。精编国内外免疫治疗经典病例,面向全国肿瘤医师,汇聚世界名医讲解点评,旨在帮助中国医生更全面地了解免疫治疗药物的使用。为了更加贴合中国医生的临床实践,符合中国的国情,让中国的临床医生更有参与感,“O+诊疗档案室”特面向全国的肿瘤科医生有奖征集非小细胞肺癌免疫治疗病例。非常期待您的参与,如果您的病例入选我们的“O+诊疗档案室”,丰盛奖品超乎您的想象!

征集的病例要求

1.复发或转移晚期非小细胞肺癌。

2.至少经过一线治疗(除外免疫治疗),且治疗较规范。

3.可以有罕见irAE处理的病例

4.患者病史及治疗记录详细,随访完整。

5.根据治疗史提出5个左右的问题且提供选项,并且需要进行病例点评。

病例模板

简要病史:

患者男性,62岁,重度吸烟(吸烟指数1600),无肿瘤家族史。

诊断:右上肺腺癌cT3N2M1b(多发骨),Ⅳb期。

问题1.对于重度吸烟Ⅳ期肺腺癌男性患者,是否推荐患者进行基因检测?

A.推荐行EGFR、ALK、ROS1和PD-L1检测

B.推荐患者行全基因检测

C.不推荐患者行基因检测

参考答案:A   (25分)

证据:最优选项A。根据美国国家癌症综合网络(NCCN)临床实践指南非小细胞肺癌(2018 V6版)推荐,肺腺癌患者常规需要进行EGFR、ALK、ROS1、BRAF、PD-L1检测,如果能检测到靶点则建议一线靶向治疗。存在驱动基因突变患者的生存要明显优于无驱动基因突变患者。

诊疗经过(一):

一线治疗方案为卡铂+紫杉醇+聚(ADP-核糖)聚合酶(PARP),化疗5个周期后疾病出现进展,出现新的肝脏转移灶(基因状态未知)

问题2.对于重度吸烟Ⅳ期肺腺癌男性患者,一线化疗进展后二线治疗策略您推荐什么治疗方式?

A.直接化疗

B.活检并行基因检测及PD-L1检测,如能检测到靶点则靶向治疗,不能检测到则推荐化疗或免疫治疗

C.直接免疫治疗

D.A、B、C均可

参考答案:B  (25分)

证据:最优选项B。

对于肺腺癌患者,根据NCCN指南初诊时常规推荐患者行基因检查,但是患者一线入组临床试验,基因状态未知。二线治疗前可考虑活检明确患者的基因状态以及PD-L1和TMB,根据结果决定下一步治疗方式,如果基因突变为阳性可考虑靶向治疗,如基因检测阴性或无法检测则建议患者行免疫治疗,次选单药(或联合贝伐珠单抗)化疗。根据CheckMate-078的结果,纳武利尤单抗(nivolumab)已经在中国上市并用于NSCLC的二线治疗,可及性好。

二线治疗方案为纳武利尤单抗,同时左髂骨姑息性放疗(总剂量,30Gy)*

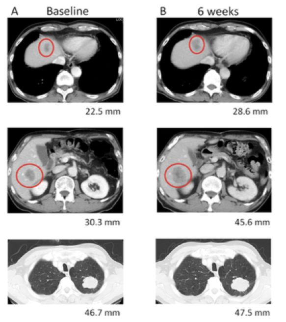
*纳武利尤单抗治疗6周后评价:肝脏病灶增大,血清CEA降低。

图1. 患者初诊(A)、纳武利尤单抗治疗6周(B)肝转移灶和肺原发灶的CT影像

图2.患者初诊到纳武利尤单抗治疗6周检测的血清CEA变化水平

问题3. 二线纳武利尤单抗免疫治疗后PD,下一步治疗策略?

A.继续纳武利尤单抗治疗,观察

B.停用纳武利尤单抗,开始三线化疗

C.继续纳武利尤单抗治疗,同时联合其他治疗,如化疗

D.停用,观察

参考答案:A (25分)

证据:最优选项A。与传统治疗不同,免疫治疗评效复杂,包括假进展、超进展、无肿瘤缓解的临床获益。但是目前关于免疫治疗假性进展的研究主要集中于回顾性研究,尚无高级别前瞻性研究的证实,根据Katz等学者[1]的在JTO杂志上发表的研究显示,假性进展的发生率约在2%。因此临床上应该慎重处理免疫治疗后出现进展的病例。

图3. 患者初诊(A)、纳武利尤单抗治疗6周(B)、纳武利尤单抗治疗12周(C)肝转移灶和肺原发灶的CT影像

图4. 患者初诊到纳武利尤单抗治疗6周、12周、18周监测的血清CEA变化水平

对于免疫治疗后病灶增大,但是血清CEA水平下降,患者症状及体征好转且耐受性良好的情况下需要综合考虑 ,排除假性进展可能,该类人群也可能是免疫治疗获益人群。该患者选择了继续使用纳武利尤单抗免疫治疗,12周后复查CT提示原发灶和转移灶均缩小,血清CEA持续下降,故该患者考虑为假性进展。

问题4. 一下几个评价体系,您认为哪个作为免疫治疗疗效评价标准更加合理?理由是什么?

A.Response Evaluation Criteria in Solid Tumors (RECIST 1.1)

B.WHO Criteria

C.Immune-related response criteria(irRC)或irRECISTs或iRECIST

D.无推荐

参考答案:D   (25分)

证据:最优选项D。传统的影像学疗效评价标准为众所周知的RECIST 1.1,由于其可能低估免疫治疗的获益,显示出了不足。2009年,一种二维的疗效评价标准(基于WHO)——irRC首先问世。2013年,专家组对该标准进行简化,形成了irRECIST标准。后来,为了统一临床研究中评估免疫治疗疗效的评价标准,RECIST工作小组出台了全新标准——iRECIST。RECIST 1.1、irRECIST/iRECIST评价标准有许多细微的差距,总的来说,RECIST 1.1更加全面和详细,但是对于新出现病灶、进展和确认进展的评价上存在一定的局限性,而免疫治疗又存在假性进展的可能,因此RECIST 1.1在免疫治疗疗效的评价同样受到限制。irRECIST和iRECIST是统一来源、不同程度简化,因此实际采用与否取决于临床医生,但是目前最常用的仍然为RECIST 1.1。

个人病例点评:

这是来自日本金田大学医学部肿瘤内科的Kazuhiko Nakagawa教授团队提供的一个关于纳武利尤单抗治疗非小细胞肺癌假性进展(包括肿瘤缩小后的组织分析)的个案报道。该病例肝转移灶活检提示纤维组织中含有丰富的淋巴细胞,这提示该患者影像学为假性进展,实际上免疫应答仍在持续。因此,对于免疫治疗的患者,临床医生必须进行多方面综合考虑,排除假性进展可能,从而更好地改善患者的生存。

联系方式

真诚期待您的来稿,与大家一起分享您的精彩案例。请按照上面的病例模板编辑后发送到jingnan.zhang@liangyihui.net。2019,不见不散哦!

版权声明

41本肿瘤患者指南丛书

点击下方图片即可免费阅读


70个肿瘤相关临床试验招募患者


点击下方图片或识别图片二维码即可查看详情


登录查看更多
0

相关内容

【快讯】KDD2020论文出炉,216篇上榜, 你的paper中了吗?
专知会员服务
51+阅读 · 2020年5月16日
专知会员服务
29+阅读 · 2020年3月6日
【学科交叉】抗生素发现的深度学习方法
专知会员服务
25+阅读 · 2020年2月23日
广东疾控中心《新型冠状病毒感染防护》,65页pdf
专知会员服务
19+阅读 · 2020年1月26日
【Blood】去甲基化治疗失败后,MDS应如何治疗?
Arxiv
6+阅读 · 2018年1月14日
Arxiv
11+阅读 · 2017年11月22日
VIP会员
Top
微信扫码咨询专知VIP会员