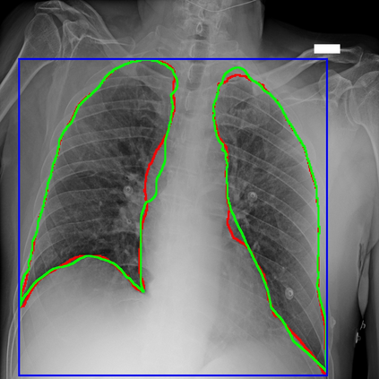
Recent epidemiological data report that worldwide more than 53 million people have been infected by SARS-CoV-2, resulting in 1.3 million deaths. The disease has been spreading very rapidly and few months after the identification of the first infected, shortage of hospital resources quickly became a problem. In this work we investigate whether chest X-ray (CXR) can be used as a possible tool for the early identification of patients at risk of severe outcome, like intensive care or death. CXR is a radiological technique that compared to computed tomography (CT) it is simpler, faster, more widespread and it induces lower radiation dose. We present a dataset including data collected from 820 patients by six Italian hospitals in spring 2020 during the first COVID-19 emergency. The dataset includes CXR images, several clinical attributes and clinical outcomes. We investigate the potential of artificial intelligence to predict the prognosis of such patients, distinguishing between severe and mild cases, thus offering a baseline reference for other researchers and practitioners. To this goal, we present three approaches that use features extracted from CXR images, either handcrafted or automatically by convolutional neuronal networks, which are then integrated with the clinical data. Exhaustive evaluation shows promising performance both in 10-fold and leave-one-centre-out cross-validation, implying that clinical data and images have the potential to provide useful information for the management of patients and hospital resources.


翻译:最近的流行病学数据报告称,全世界有5 300多万人感染了SARS-COV-2,导致130万人死亡。该疾病在首次感染后迅速蔓延,在发现第一个感染者后几个月内迅速蔓延,医院资源短缺迅速成为一个问题。在这项工作中,我们调查胸部X射线(CXR)是否可以用作一种可能的工具,用于早期发现有严重结果风险的病人,如重症护理或死亡。CXR是一种放射技术,与计算断层摄影(CT)相比,它更简单、更快、更加广泛,并导致辐射剂量降低。我们展示了一套数据集,包括意大利六家医院在2020年春季首次COVID-19紧急情况期间从820名病人收集的数据。数据集包括CXR图像、若干临床属性和临床结果。我们调查人工智能的潜力,以预测这些病人的预发病,区分重病和轻病,从而为其他研究人员和从业人员提供基线参考。为此,我们介绍了三种方法,即使用从CXR图像中提取的特征,无论是手制的还是自动由同级神经网络在2020年春季第一次COVI-19紧急情况期间收集的数据,然后与临床结果。

0
下载
关闭预览

相关内容

专知会员服务
41+阅读 · 2020年9月6日
Keras François Chollet 《Deep Learning with Python 》, 386页pdf
专知会员服务
163+阅读 · 2019年10月12日
强化学习最新教程,17页pdf
专知会员服务
182+阅读 · 2019年10月11日
2019年机器学习框架回顾
专知会员服务
36+阅读 · 2019年10月11日
[综述]深度学习下的场景文本检测与识别
专知会员服务
78+阅读 · 2019年10月10日
Call for Participation: Shared Tasks in NLPCC 2019
中国计算机学会
5+阅读 · 2019年3月22日
A Technical Overview of AI & ML in 2018 & Trends for 2019
待字闺中
18+阅读 · 2018年12月24日
Disentangled的假设的探讨
CreateAMind
9+阅读 · 2018年12月10日
已删除
将门创投
9+阅读 · 2017年10月17日
【推荐】SVM实例教程
机器学习研究会
17+阅读 · 2017年8月26日
VIP会员
相关资讯
Call for Participation: Shared Tasks in NLPCC 2019
中国计算机学会
5+阅读 · 2019年3月22日
A Technical Overview of AI & ML in 2018 & Trends for 2019
待字闺中
18+阅读 · 2018年12月24日
Disentangled的假设的探讨
CreateAMind
9+阅读 · 2018年12月10日
已删除
将门创投
9+阅读 · 2017年10月17日
【推荐】SVM实例教程
机器学习研究会
17+阅读 · 2017年8月26日
Top
微信扫码咨询专知VIP会员