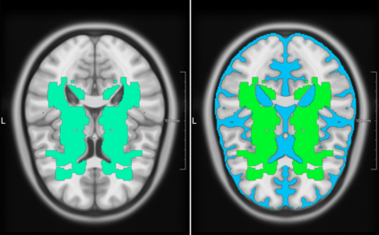
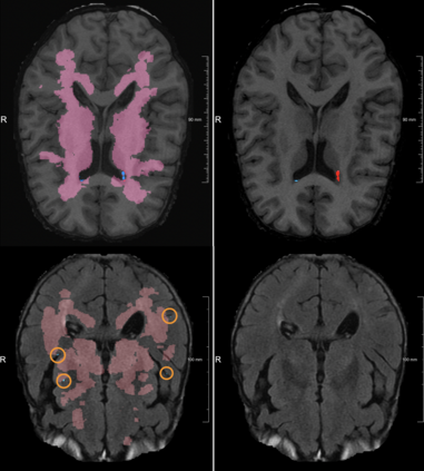
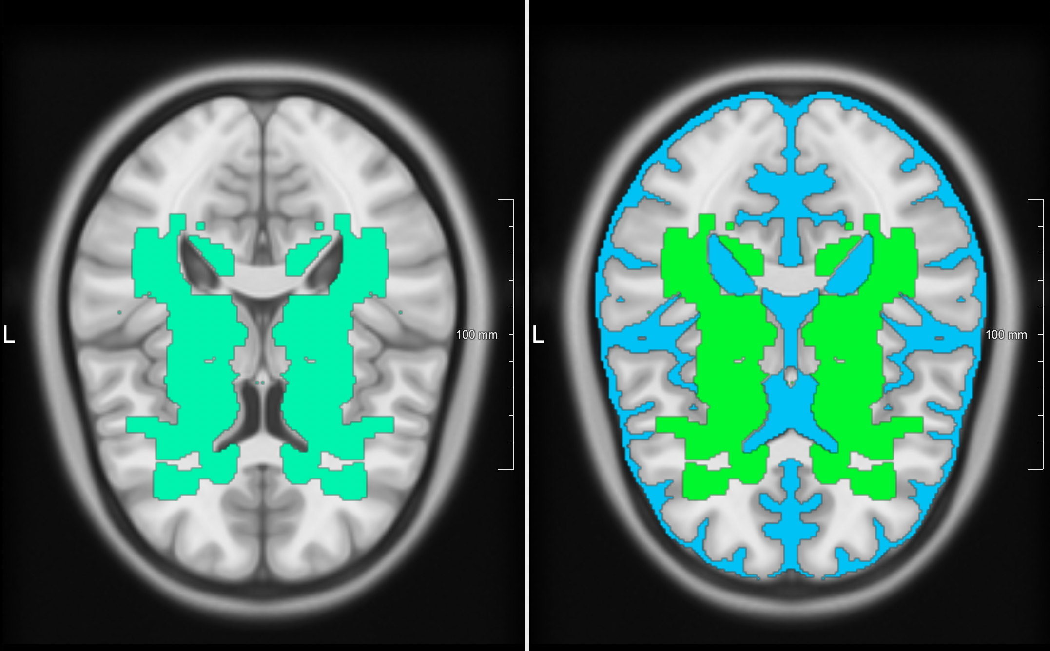
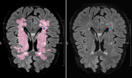
Lacunes of presumed vascular origin are fluid-filled cavities of between 3 - 15 mm in diameter, visible on T1 and FLAIR brain MRI. Quantification of lacunes relies on manual annotation or semi-automatic / interactive approaches; and almost no automatic methods exist for this task. In this work, we present a two-stage approach to segment lacunes of presumed vascular origin: (1) detection with Mask R-CNN followed by (2) segmentation with a U-Net CNN. Data originates from Task 3 of the "Where is VALDO?" challenge and consists of 40 training subjects. We report the mean DICE on the training set of 0.83 and on the validation set of 0.84. Source code is available at: https://github.com/hjkuijf/MixLacune . The docker container hjkuijf/mixlacune can be pulled from https://hub.docker.com/r/hjkuijf/mixlacune .


翻译:假定血管产物的弧度为直径3-15毫米的液体填充孔,可见于T1和FLAIR大脑MRI。 lacunes的定量取决于人工注解或半自动/交互方法; 这项任务几乎不存在自动方法。 在这项工作中,我们提出了一个对假定血管产物的弧度部分的两阶段办法:(1) 与Mask R-CNN探测,然后与U-NetCNN分离。 数据来自“VALDO在哪里”的挑战第3号任务3, 由40个培训科目组成。 我们报告了0. 83 的培训集和0.84 的验证集的平均值 DICE。 源代码见: https://github.com/hjkuijf/MixLacune。 Docker 集装箱hjkuijf/mixlacune可以从https://hub.docker.com/r/hjkuijf/mixlacune调出。

0
下载
关闭预览

相关内容

人工智能药物发现,讲述AI与药物交叉应用研究
专知会员服务
158+阅读 · 2021年1月28日
专知会员服务
84+阅读 · 2020年9月27日
科技大数据知识图谱构建方法及应用研究综述
专知会员服务
138+阅读 · 2020年8月12日
IJCAI2020接受论文列表,592篇论文pdf都在这了!
专知会员服务
64+阅读 · 2020年7月16日
TorchSeg:基于pytorch的语义分割算法开源了
极市平台
20+阅读 · 2019年1月28日
已删除
将门创投
5+阅读 · 2018年7月25日
Arxiv
8+阅读 · 2020年5月2日
Arxiv
8+阅读 · 2018年5月15日
VIP会员
相关资讯
TorchSeg:基于pytorch的语义分割算法开源了
极市平台
20+阅读 · 2019年1月28日
已删除
将门创投
5+阅读 · 2018年7月25日
Top
微信扫码咨询专知VIP会员