人为什么?为嘛?为啥?为么子?会有口音?

2019 年 8 月 29 日 中科院物理所

本文由微信公众号“环球科学”(ID:huanqiukexue)授权转载

转载请先联系newmedia@huanqiukexue.com


图片来源: pixabay


我们在学习语言发音时,常常把自己发音不“地道”归结于口型不到位或地域环境因素的影响。而作为人类个体,人与人之间一项更隐蔽的差异常常被我们忽略了。


撰文 | 鲁婧涵



口音的真相


人为什么有口音?很多人不理解这个问题,往往是因为对造成口音差异的一个关键因素——发音器官(包括舌头、嘴唇、牙齿、下颚、硬腭、软颚)的复杂程度缺乏了解。在日常生活中,人们往往不会有意识地对自己的发音动作进行精细调控,而是凭直觉让自己的发音器官组合发出元音和辅音,从而配合发出某种声音。而实际上,每一个发音器官的发音动作或状态,都会引起发音效果的变化,这就是口音的真相。


对发音器官的各种复杂精细配合进行研究,是发音语音学(articulatory phonetics)的研究范畴。发音语言学将各种发音还原为普遍的发音动作和动作幅度这两项要素,每种语言的语音都是这两种要素的特定组合。学习一门新的语言时,人们希望通过模仿发音口型,调整母语发音的习惯,让自己的发音更地道。


但日前,马克斯普朗克心理语言学研究所(Max Planck Institute for Psycholinguistics)的一个研究小组在《自然·人类行为》杂志上的最新研究提出,人类个体间的解剖学差异与生活的文化环境,对于不同语言间语言差异的出现,也起到重要的作用。


研究显示,硬腭形状的微小差异也会对我们的发音造成影响,并且这种影响是无法通过其他发音器(如舌头)弥补的。随着父母对子女的语言教育与日常交流,这种影响会传递给下一代,并逐代放大。数代后,人们最终说话的方式呈现出明显差异,其差异程度大于不同方言,小于不同语言间的发音差异。



硬腭结构影响发音


在这项最新研究中,研究小组重点关注声道(vocal tract)结构对发音的影响。通过对多种族样本的数据(数据来自于ArtiVarK样本的94名参与者的口腔内3D光学扫描结果)进行统计分析,四个分布广泛的种族(欧裔或北美的欧洲后裔、北印度裔、南印度裔、华裔)声道的口腔部分大体类似,但也表现出可识别的差异。


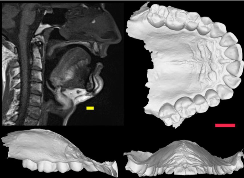
为了进一步探究发音器官结构对发音的影响,研究团队利用计算机建模模拟声道。在模型中,他们可以精确控制声道的解剖结构,并观察它对语音产生的实际影响。论文集中讨论了口腔声道的一个组成部分——硬腭,尤其是中矢状硬腭形状(midsagittal hard palate shape,MSHPS,如下图)的差异对发音的影响。


中矢状硬腭形状(MSHPS)扫描图


研究团队将107名正常人的MSHPS导入计算机模型,然后通过机器学习,训练计算机智能体发出五个“种子”元音(在不同语言中分布广泛,且覆盖了较为极端的发音方式,如下图),比如“beet”中的“ee”音和“boot”中的“oo”音。


图中不同的坐标,反应了不同语言和方言中,5个元音的发音方式。其中,黑色代表让计算机智能体训练的“种子”元音。


研究结果显示,MSHPS的差异以微小的方式影响元音的发音,从而导致产生的元音出现声学上微弱但系统的个体差异。



文化传播的叠加效应


由于人类说话能力的形成还受到父母或文化环境的影响,因此研究人员还将微小的解剖学差异与文化结合起来。发音差异会通过跨代传播而变得更加明显吗?


研究团队运用计算机模拟了一个语言演化的简单模型。他们使用迭代学习模型,选择了五组不同的MSHPS结构。在每一组内部,让与第一代具有同样MSHPS结构的智能体向上一代智能体学习发音,如此持续了50代。


结果显示,虽然硬腭形态的微小差异给第一代智能体带来的发音差异较为微弱,但具有同一种MSHPS结构的下一代向上一代学习发音后,即使这些智能体积极地试图通过其他发音器官(如舌头)来弥补硬腭形态造成的发音差异,但这种差异仍被放大。也就是说,不同人种间MSHPS结构差异导致的发音差异经过跨代传播后,可能导致不同人种间元音系统的跨语言差异


5组MSHPS模型发音传播50代后的结果(黄色代表“种子”元音,蓝色代表传播50代后的元音发音)


“即使是声道形状的微小变化,也可能影响我们说话的方式。甚至可能在数代之后,这种差异程度大于不同方言间的差异。因此,发音是生物学问题!”该研究的第一作者Dan Dediu说。


Dan Dediu认为,这一结果可以帮助我们更好地理解解剖学差异对语音的影响,以及如何在需要时纠正它,例如在语音病理学、法医语言学、牙科和术后恢复的情况下。但最重要的是,该研究强调了在我们发音器官普遍相似的背景下,个体差异在语言中的重要作用。


“作为人类,我们有很多共性,但我们同样也是独特的个体,人们可以从语音中听到它。”论文共同作者、现任新加坡南洋理工大学人文学院的Scott Moisik总结道。


这项研究表明,文化和生物学是共同演化的,它把人们的兴趣从普遍主义和高度简化的解释重新集中到进化论的观点上来,在进化论中,变异不是噪音,而是语言和文化的一个核心特征。


原始论文:

https://www.nature.com/articles/s41562-019-0663-x

参考链接:

https://www.eurekalert.org/pub_releases/2019-08/mpif-vit081419.php

原文标题:英语发音不地道?这项隐蔽的个体差异被我们忽略了

  
  
    

本文由微信公众号“环球科学”(ID:huanqiukexue)授权转载

转载请先联系newmedia@huanqiukexue.com

编辑:Shiny


近期热门文章Top10

↓ 点击标题即可查看 ↓

1. 如果太阳biu的一声熄灭了,地球上会发生什么事情?

2. 每个摊煎饼的大妈,都是隐藏的流体力学专家

3. 你看的是《长安十二时辰》,我看的却是一部黑科技科普剧

4. 数学的深渊

5. 掉入海底一万米

6. 别人用脚、用声波都能打开瓶盖,为啥有的女生却拧不开?

7. 这是一篇理工男写的口红科普文

8. 声音最大能有多大?

9. 盲人看到的世界真是黑漆漆一片吗?

10. 用过的吸管不要扔,在火上烤一下,隔壁的小孩都...

点此查看以往全部热门文章


登录查看更多
1

相关内容

智能体,顾名思义,就是具有智能的实体,英文名是Agent。
【ICML2020-哈佛】深度语言表示中可分流形
专知会员服务
13+阅读 · 2020年6月2日
【ICMR2020】持续健康状态接口事件检索
专知会员服务
18+阅读 · 2020年4月18日
【芝加哥大学】可变形的风格转移,Deformable Style Transfer
专知会员服务
31+阅读 · 2020年3月26日
【干货书】流畅Python,766页pdf,中英文版
专知会员服务
227+阅读 · 2020年3月22日
何晖光:多模态情绪识别及跨被试迁移学习
深度学习大讲堂
58+阅读 · 2019年4月23日
鼠标终将消失,未来我们有哪些人机交互方式?
人工智能学家
5+阅读 · 2018年11月25日
Python为啥这么牛?
Python程序员
3+阅读 · 2018年3月30日
一文读懂语音识别史
机械鸡
9+阅读 · 2017年10月16日
中美日全球美女机器人大PK,哪一款是你想要的味道?
机器人大讲堂
4+阅读 · 2017年9月16日
为什么不能和阿里巴巴好好说话呢?
创业邦杂志
3+阅读 · 2017年7月3日
Revealing the Dark Secrets of BERT
Arxiv
4+阅读 · 2019年9月11日
Star-Transformer
Arxiv
5+阅读 · 2019年2月28日
Arxiv
4+阅读 · 2018年10月31日
Learning to Focus when Ranking Answers
Arxiv
5+阅读 · 2018年8月8日
Arxiv
8+阅读 · 2018年5月21日
Arxiv
3+阅读 · 2018年3月14日
VIP会员
相关资讯
何晖光:多模态情绪识别及跨被试迁移学习
深度学习大讲堂
58+阅读 · 2019年4月23日
鼠标终将消失,未来我们有哪些人机交互方式?
人工智能学家
5+阅读 · 2018年11月25日
Python为啥这么牛?
Python程序员
3+阅读 · 2018年3月30日
一文读懂语音识别史
机械鸡
9+阅读 · 2017年10月16日
中美日全球美女机器人大PK,哪一款是你想要的味道?
机器人大讲堂
4+阅读 · 2017年9月16日
为什么不能和阿里巴巴好好说话呢?
创业邦杂志
3+阅读 · 2017年7月3日
Top
微信扫码咨询专知VIP会员