腾讯8篇AI医疗论文入选国际学术顶会,涵盖癌症图像分类、CT病灶检测等领域

2019 年 10 月 12 日 量子位
允中 发自 凹非寺
量子位 报道 | 公众号 QbitAI

国际顶级人工智能医学影像学术会议MICCAI 2019会期临近,论文录用结果陆续揭晓,腾讯共计入选8篇论文,涵盖病理癌症图像分类、医学影像分割、CT病灶检测、机器学习等范畴。

近年来AI医学蓬勃发展,以“腾讯觅影”为代表的AI医学解决方案快速进入多种疾病的诊断核心环节。

不过,医学影像数据质量参差不齐,人工标注难度大等行业性难题,导致AI在医学上的学习和应用面临诸多挑战。

在此次MICCAI 2019中,腾讯旗下两大AI实验室——腾讯AI Lab与腾讯优图实验室分别从深度学习效率提升,以及医学临床应用角度进行创新性研究,各入选4篇论文。

弥补医疗数据少的短板

将AI应用于医学图像分类的一大挑战是训练数据少,其中一个解决办法是结合迁移学习、多任务学习、半监督学习等多种训练方式。

腾讯AI Lab的研究把三种方法整合在统一框架中,从而叠加各方法的贡献,并公平对比不同场景下各方法的贡献。

 半监督学习前沿的一致性约束算法(包括VAT和PI-model)和广泛采用的多任务学习算法(hard parameter sharing)整合在一个网络中,采用交替任务的方式进行端到端的训练,通过初始点的设定融入迁移学习。

在胃镜图片良恶性分类问题上的一系列实验说明:

  • 单独使用时迁移学习提升性能最显著;

  • 迁移学习基础上,多任务学习在项目早期数据量较小时可进一步提高,而半监督学习可在较大数据量上持续提升;

  • 三者组合并利用大参数量网络可获得更好性能。

这项研究成果将可用来指导如何单独或组合使用迁移学习、多任务学习和半监督学习提升医学分类模型的准确率。

与此同时,腾讯优图实验室的研究,则有望在解决医学影像标注难题上找到新思路:医疗图像(如CT,MRI)往往是三维数据,该类数据存在标注难度大,标注信息难以获取等问题,这导致标注的三维医学图像数量通常不足以很好地训练深度学习网络。

腾讯优图实验室提出了一种深度挖掘原始数据信息的自监督学习方法,通过模拟魔方复原过程,使网络自发地在原始数据中提取有用信息。

这项研究有望减少深度学习网络对数据量的需求,提高后续监督任务的准确率。同时,这也是业内首次提出三维自监督学习方法,有望弥补业内的研究空白。

 模拟魔方复原过程的自监督学习框架。该框架包含两个操作:打乱立方块顺序及旋转立方块方向。

此外,腾讯优图实验室的另一项研究则提出了成对分割框架,通过有效挖掘医疗影像切片间的关系,并以代理监督的形式加以约束,从而通过不同切片之间的配对,大幅提升标注数据的数量和相邻切片预测结果的光滑性和一致性。这一方法能够在标注数据不足的条件下进行语义分割这一现实场景发挥效用,通过有效挖掘先验知识,弥补数据量不足的问题。

AI病理研究新突破

腾讯AI Lab 医疗中心首席科学家姚建华博士曾介绍病理AI的三个主要研究方向:一是基于AI技术的病理诊断模型,二是病理组学,三是基于AI技术的病理预后预测模型。

三个方向分别帮助医生提高诊断效率、一致率、准确率,以及新增了医生的预测疗效能力。此次在MICCAI 2019上,腾讯AI Lab在病理分析上连发3篇论文,阐述其在AI病理分析上的研究新突破。

研究之一由腾讯AI Lab与中山大学附属第六医院合作,提出一种仅使用临床诊断结果作为弱监督信号来训练分类器的方法,对从病理图像中拆分出的瓦块进行自动分类。这个新的分类方法可加速病理图像分类器的开发,通过结合智能显微镜,为临床医生提供实时的诊断意见,降低误诊的发生。

肠癌病理组织HE染色切片。通过结合智能显微镜,可以为临床医生提供实时的诊断意见,降低误诊的发生。

研究之二则由腾讯AI Lab与华南理工大学、中山大学附属第六医院合作,提出一种无标签领域自适应算法,来训练具有领域不变性的深度神经网络,从而通过探索全视野数字切片的标注信息,解决无标签显微镜图像的分类任务。

基于该方法训练出来的深度神经网络,在不使用任何带标注显微镜数据的情况下,在显微镜任务上取得了极为优异的性能,甚至超过了使用部分带标注数据训练的神经网络。

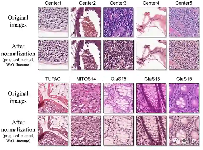
研究之三则围绕病理图像的色彩归一化。由于制片染色流程以及病理扫描仪的不同,数字病理图像的色彩存在非常显著的差异。因此,几乎所有数字病理相关的分析之前都需要进行色彩归一化。

腾讯AI Lab提出了一种针对病理图像特点优化的循环生成对抗网络,通过引入额外的输入,引导生成器产生特定色彩风格的病理图像,从而稳定训练过程中的循环一致性损失函数。相比与其他色彩归一化方法,腾讯AI Lab提出的色彩归一化网络作为癌症分类任务的前处理,能够更好地提升后续任务的性能。


(上)测试数据来源于5个不同的医学中心,本文提出的方法能将这些病理图像都归一化到相近的色彩风格。(下)将训练好的模型不经过参数微调(fine-tune)直接在其他病理数据集上测试,同样能进行准确的色彩归一化。

更贴近临床诊断需求

在智能医学影像分析上深耕多年的腾讯优图实验室医疗AI总监郑冶枫博士,在介绍AI算法研究经验时曾表示:最重要的体会是不要改变医生的现有流程,而是把AI技术无缝嵌入到医生的检查流程中去。

此次在MICCAI 2019中,腾讯优图实验室带来了两项与临床诊断需求非常紧密的研究成果。

研究之一是应用在CT病灶检测上。为了提升对不同尺寸病灶的检测准确性,腾讯优图实验室提出了一种利用通道和空间注意力机制的多尺度检测器,首次在2D检测网络上达到比3D检测网络更准确的结果,使得检测效率更高,为后续病灶检测方法的研究提供了坚实的基础。

值得一提的是,这一方法还可以为临床医生提供实时的病灶检测结果,提高医生分析CT图像的效率。

研究之二则是应用于眼底血管分割。眼底血管是人体唯一一处可以直接无介入观测的血管,很多全身性的疾病和心脑血管疾病都会影响眼底动脉和静脉的形态。因此,自动化的血管分割和动静脉分类具有重要的临床意义。

腾讯优图实验室将深度学习和多任务模型引入血管分割和动静脉分类任务,同时实现端到端的动脉、静脉及全血管的分割和分类。

这项研究成果极大地提高了眼底血管分类的精度和预测速度,实现了端到端的血管分割和动静脉分类。为眼底血管的精确量化打下了基础,进而可以促进全身性疾病和心脑血管疾病在眼底生物标记的相关研究。


 动静脉血管分割和分类效果图。(A)原始图片;(B)(E)血管分割和动静脉分类标签;(C)(F)模型预测结果; (D)(G) 局部细节放大图

加速研究到应用转化

作为“腾讯觅影”背后的技术提供者,腾讯优图实验室与腾讯AI Lab的研究成果已源源不断地落地于真实的临床研究和应用探索中。

目前,“腾讯觅影”已能利用AI医学影像分析辅助临床医生筛查早期肺癌、眼底病变、结直肠肿瘤、宫颈癌、乳腺肿瘤等疾病,以及利用AI辅诊引擎辅助医生对700多种疾病风险进行识别和预测。

与此同时,AI技术在临床上的有效性也正在被逐步验证。在北京、上海、广州、温州、南宁、德清等地,“腾讯觅影”在学科带头人的带领下分别针对早期肺癌、消化道肿瘤、眼底疾病等进行临床实验及科研合作,希望以技术帮助优化医疗资源的不均衡。

作者系网易新闻·网易号“各有态度”签约作者


大会启幕!预见智能科技新未来

量子位MEET 2020智能未来大会启幕,将携手优秀AI企业、杰出科研人员呈现一场高质量行业盛会!详情可点击图片:


榜单征集!三大奖项,锁定AI Top玩家

2019中国人工智能年度评选启幕,将评选领航企业、商业突破人物、最具创新力产品3大奖项,并于MEET 2020大会揭榜,欢迎优秀的AI公司扫码报名!

量子位 QbitAI · 头条号签约作者

վ'ᴗ' ի 追踪AI技术和产品新动态

喜欢就点「好看」吧 ! 

登录查看更多
8

相关内容

腾讯优图成立于2012年,遵循公司“一切以用户价值为依归”的理念以及“研究成果落地才能产生价值”的原则,在人脸识别、图像识别、声音识别三大领域拥有数十项领先技术,具备千亿规模的多媒体大数据计算能力。优图实验室通过智能云服务、行业解决方案等多元化的产品策略,大力推动人工智能技术的广泛应用,通过人工智能提升互联网使用体验。
【KDD2020】自适应多通道图卷积神经网络
专知会员服务
121+阅读 · 2020年7月9日
基于小样本学习的图像分类技术综述
专知会员服务
152+阅读 · 2020年5月6日
专知会员服务
164+阅读 · 2020年4月21日
【CVPR2020-旷视】DPGN:分布传播图网络的小样本学习
专知会员服务
28+阅读 · 2020年4月1日
【浙江大学】对抗样本生成技术综述
专知会员服务
92+阅读 · 2020年1月6日
新加坡南洋理工最新37页《零样本学习综述》论文
专知会员服务
114+阅读 · 2019年10月20日
商汤及联合实验室入选论文重点解读 | ECCV 2018
CVPR 2018 中国论文分享会 之「深度学习」
AI科技评论
11+阅读 · 2018年5月27日
学术 | 一骑绝尘 商汤科技44篇论文入选 CVPR 2018
商汤科技
8+阅读 · 2018年5月10日
中科院赵地:深度学习在 4 大超声影像中的应用
AI掘金志
9+阅读 · 2017年12月17日
Arxiv
7+阅读 · 2020年3月1日
Few-shot Adaptive Faster R-CNN
Arxiv
3+阅读 · 2019年3月22日
Pluralistic Image Completion
Arxiv
8+阅读 · 2019年3月11日
Arxiv
12+阅读 · 2019年2月26日
Arxiv
8+阅读 · 2018年11月27日
Arxiv
11+阅读 · 2018年5月13日
Arxiv
4+阅读 · 2017年10月30日
VIP会员
相关VIP内容
【KDD2020】自适应多通道图卷积神经网络
专知会员服务
121+阅读 · 2020年7月9日
基于小样本学习的图像分类技术综述
专知会员服务
152+阅读 · 2020年5月6日
专知会员服务
164+阅读 · 2020年4月21日
【CVPR2020-旷视】DPGN:分布传播图网络的小样本学习
专知会员服务
28+阅读 · 2020年4月1日
【浙江大学】对抗样本生成技术综述
专知会员服务
92+阅读 · 2020年1月6日
新加坡南洋理工最新37页《零样本学习综述》论文
专知会员服务
114+阅读 · 2019年10月20日
相关论文
Arxiv
7+阅读 · 2020年3月1日
Few-shot Adaptive Faster R-CNN
Arxiv
3+阅读 · 2019年3月22日
Pluralistic Image Completion
Arxiv
8+阅读 · 2019年3月11日
Arxiv
12+阅读 · 2019年2月26日
Arxiv
8+阅读 · 2018年11月27日
Arxiv
11+阅读 · 2018年5月13日
Arxiv
4+阅读 · 2017年10月30日
Top
微信扫码咨询专知VIP会员