敲黑板!!小细胞肺癌现代治疗策略

2018 年 5 月 1 日 肿瘤资讯
编译:月下荷花
来源:肿瘤资讯

小细胞肺癌(SCLC)是一种侵袭性高级别神经内分泌恶性疾病,具有高度转移潜能和极差的结果。虽然SCLC对细胞毒性化疗高度敏感,不过30年的临床研究发现相当多的SCLC不可治愈,转移性SCLC标准化疗后中位OS只有9-11个月,急切期望突破性治疗。美国Farago教授在Transl Lung Cancer Res杂志发文回顾了现代SCLC的临床治疗策略。

SCLC的诊断与分期

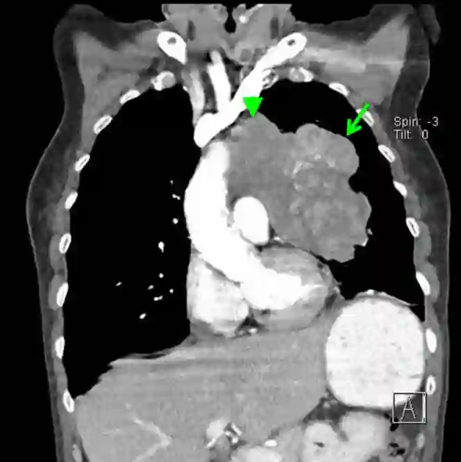
SCLC具有典型影像学表现:肺门增大、纵膈淋巴结受累(图1),常伴转移,多累及肝脏、肾上腺、骨和/脑。SCLC有时在肺内损害很小甚至难以鉴别,但受累淋巴结却很大,当然不是所有SCLC都有典型影像学表现,最终诊断需要组织学证实,可以是细针活检、活检或切除。SCLC是高级别神经内分泌肿瘤,特征是小细胞、胞浆少、核质细、染色质疏松、无显著核仁,大部分SCLC至少表达一种神经内分泌标志,但神经内分泌标志检测并非诊断所必需。

图1 胸部CT冠状位,SLLC累及左上肺叶(绿色长箭头)并延伸入纵膈(绿色短箭头)

SCLC采用CT分期,PET和脑MRI提高了远处转移检查的敏感性。二分期法最常采用,1950年首次引入,1989年修订,该分期中将SCLC分为有限期(LS)和广泛期(ES),LS疾病局限于胸腔一个区域内,可被一个放射区覆盖,ES是非LS疾病,包括恶性胸腔渗出和心包渗出或血行播散转移。IASLC的TNM分期系统同样具有预后作用,虽然TNM更精确,但因为实践原因二分期法在临床应用更多,因为进一步精细分期对治疗影响较小。 

局限期SCLC

大约30%的SCLC表现为早期疾病,划为LS或TNM中的M0,小部分患者无临床或病理证据提示纵膈淋巴结累及,这些T1-2N0M0的SCLC,推荐状态良好时行手术治疗。尚无前瞻性研究评估术后辅助化疗获益,但回顾性研究显示可改善OS,而且研究显示含铂新辅助化疗或辅助化疗较非铂方案能更好的改善结果,所以早期淋巴结阴性SCLC在手术切除后通常推荐含铂辅助治疗。大部分LS-SCLC诊断时有纵膈淋巴结受累,最优治疗方案是化疗和放疗联合,与单独化疗相比能改善生存和疾病局部控制。

不过LS-SCLC的最佳放疗方案仍有争议,Turrisi研究中纳入417例患者,随机接受45Gy,1.8Gy 1次/日,25次或1.5 Gy 2次/日,30次,同时联合使用顺铂和依托泊苷(EP),中位随访近8年,中位生存有明显差别,1次/日组19个月,2次/日组23个月。然而因后勤保证问题,2次/日治疗方案广泛实施受限,而且45Gy 1次/日和2次/日治疗的生物学效应也不相同。另有研究评估60-70Gy 1/日放疗联合化疗,最大耐受剂量为70Gy,该方案也被认为安全有效。

最近CONVERT研究纳入547例患者,接受45Gy 2次/日,30次或66Gy 1次/日,33次,同时联合4-6疗程EP,中位随访45个月,中位OS 1次/日组25个月,2次/日组30个月,二组毒性无显著差别。这项研究未能证实1次/日方案更优,未能确认二种方案的等效性,因此45Gy 2次/日,30次仍是标准治疗,但1次/日60-70Gy更方便执行,对于LS-SCLC二种方案均可接受。CALGB30610/RTOG研究将进一步明确这一问题。最佳放疗时间是在化疗的前2个周期进行。

LS-SCLC优选的基石化疗方案是顺铂联合依托泊苷,研究显示与环磷酰胺+阿霉素+长春新碱(CEV)方案相比,EP的中位生存14.5个月,优于CEV的9.7个月,2年OS分别为25%和10%,NCCN推荐EP方案化疗4-6疗程。

对放化疗后获得完全缓解、部分缓解或疾病稳定的患者推荐预防性颅脑放疗(PCI)。Meta分析显示完全缓解患者PCI可改善3年生存5.4%,脑转移发生率减少25.3%。PCI标准治疗为25Gy,避开海马区的全脑放疗(HA-WBRT)用于SCLC的临床研究正在进行中。

广泛期SCLC:全身治疗

广泛期SCLC通常认为不可治愈,姑息性治疗延长生命、减少症状,最常使用的全身治疗仍是铂剂联合依托泊苷,目前其它方案均未超越该方案,近30年来一直是SCLC的标准一线治疗。该方案治疗反应率44%-78%,因此也作为首选方案控制有症状疾病,NCCN指南建议因SCLC导致状态差的患者也可考虑全身治疗,许多患者在治疗后症状改善,虽然中位OS只有9-11个月,但快速获得治疗反应的可靠性大,只是反应持续时间较短,长期结果很差。

依立替康联合卡铂或顺铂(IP)也是SCLC可接受的一线治疗方案,日本研究中IP方案的中位OS优于EP,分别为12.8个月和9.4个月,1年生存率58.4%和37.3%。后续在美国、加拿大和澳大利亚进行的研究未能证实IP优于EP,但二组疗效相似,耐受性亦相似,EP组有更高的中性粒细胞减少和贫血,IP组有更高的腹泻发生率。因此除日本外铂剂联合依托泊苷通常作为标准治疗,但铂剂联合依立替康亦可接受。

另有研究比较了顺铂和卡铂治疗ES-SCLC疗效,二者的反应率、中位PFS和OS相似,但卡铂组的血液学毒性发生率更高,顺铂组的非血液学毒性更高,所以卡铂和顺铂均可作为一线治疗。

依立替康是唯一FDA和EMA均批准的SCLC二线用药,静脉拓普替康也进行了SCLC二线治疗研究,1.5mg/m2第1-5天,难治和敏感患者的ORR分别为6.4%和37.8%,中位OS分别为4.7和6.9个月;另有研究比较静脉拓普替康和CAV方案,ORR分别为24.3%和18.3%,中位OS分别为25.0周和24.7周,均无统计学差异。口服拓普替康2.3mg/m2第1-5天获得FDA和EMA批准用于二线SCLC治疗,与最佳支持治疗相比,可改善中位OS,减慢生活质量下降、较好的症状控制。如患者一线和二线的无治疗间隔>90天,则口服和静脉拓普替康的有效性和耐受性相似。

目前尚无其它药物在二线治疗中超越拓普替康,但有多种方案疗效堪比拓普替康,包括依立替康、紫杉醇、多西他赛、吉西他滨、长春瑞滨和替莫唑胺。无论哪种细胞毒治疗方案,如患者是敏感性疾病(一线治疗完成后>90天复发)则疗效优于耐药难治性疾病,治疗反应率分别为27.7%和14.8%,中位OS分别为7.7个月和5.4个月。二线治疗及后续治疗的选择不同医师间变化较大,与患者特征和医师偏好有关。目前尚无FDA批准的三线治疗。

近期数据证实免疫检查点抑制剂也对部分复发SCLC有治疗活性,Checkmate-032研究中患者接受纳武单抗单药或与CTLA4抑制剂伊匹单抗联合,最近数据更新显示ORR分别为11%和22%,3-4级毒性频度分别为12%和37%,无论铂剂是否敏感、治疗次数或PD-L1状态,均可见到治疗反应。目前NCCN推荐纳武单抗±伊匹单抗作为复发SCLC的治疗。

最近研究显示肿瘤突变负荷(TMB)可能对免疫检查点抑制剂治疗SCLC反应有预测作用,探索性分析Checkmate-032研究,评估肿瘤TMB,发现高TMB患者的结果优于TMB中低患者,这个结果在纳武单抗+伊匹单抗组更突出,TMB高和TMB中低患者的反应率分别为46.2%、16.0%和22.2%,中位PFS分别是7.8个月、1.3个月和1.5个月,中位OS分别为22.0个月、3.6个月和3.4个月,上述结果需要进一步前瞻性研究。

广泛期SCLC:放疗

PCI通常推荐用于LS-SCLC患者放化疗后,在ES-SCLC中的作用仍有争议。最初支持PCI的证据来自EORTC22993研究,结果显示能明显减少有症状脑转移风险、增加中位OS,但该研究中脑CT或MRI图像在诊断和随诊时均缺乏,而且PCI还会减低短期内生活质量和长期认知功能。最近一项日本研究在中期评估时发现PCI虽能减低脑转移,但并不能转化为生存优势,因此PCI前应仔细衡量获益。未接受PCI患者应规律脑MRI随访,一旦发现脑转移立即全脑放疗。接受PCI的患者也会出现新的脑转移,亦应随访,但挽救性手段有限。

多数ES-SCLC初始对化疗有反应,但最终肺部疾病会发生进展,对有症状的疾病进展,可给予姑息放疗。由于局部疾病进展风险,巩固性肺部放疗,特别是肺外疾病负荷较小时的肺部放疗是否有必要?一项单中心研究证实化疗后远处转移完全缓解且至少肺部疾病部分反应者接受肺部放疗和PCI能改善局部控制和OS;另有单臂研究证实肺部放疗能改善有限肺外疾病负荷患者的局部疾病控制;CREST/NTR1527研究证实加入肺部放疗能改善2年OS;meta分析显示巩固性肺部放疗能改善OS20%,改善PFS25%。因此对化疗有反应且主要是肺内疾病负荷的患者应考虑巩固性肺部放疗。

多处转移灶的巩固性放疗也有探讨,RTOG 0937研究显示化疗后可获完全和部分缓解的患者巩固性放疗可改善无进展生存,但未改善OS,需要进一步探讨究竟哪些多发转移的患者能获益于巩固性放疗,但根据现有数据不推荐ES-SCLC多发转移灶进行巩固性放疗。

评论

SCLC的治疗在几十年内一直停滞不前,不过现在有了新的突破的可能,SCLC的分子特征研究带来了新的治疗靶点,而不再是以往单纯的寻找细胞毒性治疗。不过前路仍长,希望在不久的将来可以看到突破性进展。

参考文献

https://www.ncbi.nlm.nih.gov/pmc/articles/PMC5835595/


责任编辑:肿瘤资讯-贾老师

28个肿瘤相关临床试验招募患者


点击下方图片即可查看详情


登录查看更多
0

相关内容

专知会员服务
29+阅读 · 2020年3月6日
【学科交叉】抗生素发现的深度学习方法
专知会员服务
25+阅读 · 2020年2月23日
广东疾控中心《新型冠状病毒感染防护》,65页pdf
专知会员服务
19+阅读 · 2020年1月26日
【华侨大学】基于混合深度学习算法的疾病预测模型
专知会员服务
97+阅读 · 2020年1月21日
Arxiv
5+阅读 · 2019年2月28日
Arxiv
6+阅读 · 2018年3月28日
VIP会员
Top
微信扫码咨询专知VIP会员