郑大一附院李醒亚教授团队病例分享|ALK+脑膜转移晚期肺腺癌患者诊疗带来的总结与思考

2018 年 12 月 29 日 肿瘤资讯
编译:肿瘤资讯
来源:肿瘤资讯

脑膜转移(leptomeningeal metastasis,LM)是晚期非小细胞肺癌(non-small cell lung cancer,NSCLC)严重并发症之一,发病率低,预后差。NSCLC患者在治疗过程中约40%~55%的患者会出现脑转移,脑转移患者中约10%为脑膜转移,合并基因突变患者靶向治疗后脑/脑膜转移发生率升高。由于起病隐匿,临床表现缺乏特异性,脑膜转移早期诊断困难。因此,临床上脑膜转移患者的诊断是一难点,并且由于血脑屏障的存在,脑膜转移在治疗上也存在一定的挑战。郑州大学附属第一医院肿瘤科李醒亚教授团队为我们分享了一例在临床治疗成功典范病例,并同时提出了他们对脑膜转移患者临床诊疗的思考。

               
李醒亚
教授

主任医师,教授,博士,博士生导师
郑州大学第一附属医院肿瘤科二病区主任
中国老年学和老年医学学会精准医疗分会副主委
CSCO 理事
中国医疗保健国际交流促进会肿瘤内科分会常委
中国医药教育协会肿瘤免疫治疗专业委员会常委
河南省呼吸与危重症学会肺癌分会主委
河南省医学会肿瘤专业委员会副主委
河南省抗癌协会化疗专业委员会副主委
组建了河南省“肺癌多学科会诊” ,创建公共微信“肺癌多学科会诊”

近日,郑州大学附属第一医院肿瘤科李醒亚教授团队分享了一例ALK+脑膜转移肺腺癌患者诊疗的临床常见经典病例,并对临床脑膜转移的诊断和治疗提出了自己的思考。该患者为49岁、非吸烟、女性患者,因“干咳1月”于2018年1月就诊于上海交通大学附属胸科医院,PET/CT检查提示左肺近肺门处软组织肿块影伴局部代谢活跃,大小约45mm*18mm,SUVmax7.2,双肺弥漫结节影,代谢增高,双肺转移可能性大,左侧胸腔可见少量胸腔积液;2L、4L、7组淋巴结肿大,最大淋巴结位于4L组,大小约22*16mm,SUVmax 4.9;骶骨骨质破坏伴局部代谢活跃。头颅增强MRI检查未见明显转移征象。诊断考虑左肺中央型肺癌伴单发骶骨转移可能。

图1.患者全身PET/CT影像

患者于2018年2月5日行EBUS检查,活检病理提示:4R淋巴结细胞块低分化腺癌,基因检测提示:ALK(ventana IHC)(+)、EGFR(-)、ROS1(-)。诊断考虑左肺腺癌 cT2N2M1b(双肺、单发骨) IVA期,ALK阳性。

图2.4R组淋巴结病理活检提示低分化腺癌

图3. ALK ventana IHC检测提示阳性

患者诊断IVA期伴ALK阳性,故于2018年2月开始克唑替尼治疗,治疗过程耐受性良好,疗效评价PR。并且患者于2018年9月因腰骶部疼痛行骶骨转移灶放疗。

图4.患者接受克唑替尼治疗时候的基线情况(2018-01)、以及治疗随访胸部CT影像

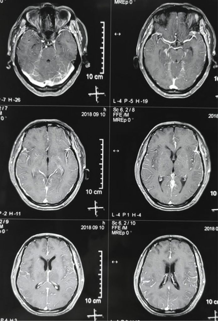
患者于2018年9月初开始出现间断头疼、失语、反应迟钝,并进行性加重,但头颅MRI(2018.09.10)脑实质未见明显转移,予以对症支持治疗。

图5. 2018年9月10日患者头颅MRI检查影像

患者于2018年9月27日因“剧烈头痛伴呕吐”就诊于我科——郑州大学附属第一医院肿瘤科,查体急性病容,表情痛苦,神志清楚,脑膜刺激征可疑阳性,考虑脑膜转移性可能性大,故立即行腰椎穿刺,提示颅内压400mmH2O,并行脑脊液细胞学检查 ,未见肿瘤细胞。但是结合患者症状体征仍不能排除脑膜转移可能。故行颈椎增强MRI排除其他部位脑脊液转移可能,检查结果提示颈椎增强MRI可见脑脊膜多发转移(图6)。

图6. 颈椎增强MRI提示脑脊膜多发转移影像

2018年9月29日,患者病情出现恶化,出现头痛伴短暂性意识障碍,查体双侧瞳孔等大等圆,对光反射灵敏,心率45次/分,血压160/100mmHg,考虑颅内高压导致出现Cushing反应。立即予以镇静、脱水等对症处理,并紧急腰穿行脑脊液引流,同时鞘内注射培美曲塞化疗联合全身培美曲塞单药化疗。患者于2018年9月30日恢复意识,并能交流顺畅,活动自如。同日,患者开始口服靶向阿来替尼二线治疗,并于10月2日因头痛再次腔内注射培美曲塞单药化疗。后患者肺部和中枢神经系统控制可,患者PS评分恢复0分。从治疗的结局来看,该病例算是一例非常成功的脑膜转移治疗成功的病例。

图7.治疗后复查患者颈椎核磁影像

图8. 患者治疗经过总结

总结与思考

郑州大学附属第一医院肿瘤科李醒亚教授团队在分享总结该病例的同时,他们也提出了自己的思考。首先对于肺癌脑膜转移的诊断。临床上如何进一步结合影像、临床症状体征和脑脊液细胞学检测提高脑膜转移的诊出率?对于脑脊液细胞学检测,如何检测方法检出肿瘤细胞的检出率更高?流式细胞术?CTC(循环肿瘤细胞)?对于EGFR、ALK等驱动基因阳性NSCLC如何有效监测、预防脑转移、脑膜转移的发生率?其次,在脑膜转移的治疗方面。该例患者在出现神经系统症状恶化后立即接受了脑脊液引流、鞘注化疗及全身化疗等治疗,并且神经系统症状迅速缓解,那么缓解主要得益于哪种治疗方式?在没有条件进行靶向耐药后检测的脑膜转移患者,是否应该直接采用其他其他可能有效的二代或三代ALK-TKI?针对脑膜转移,是否还有更有效的治疗方法?【肿瘤资讯】邀您参与该病例的讨论,期待您的观点!

41本肿瘤患者指南丛书

点击下方图片即可免费阅读


70个肿瘤相关临床试验招募患者


点击下方图片或识别图片二维码即可查看详情


登录查看更多
0

相关内容

郑州大学(Zhengzhou University)简称“郑大”,由原郑州大学、郑州工业大学、河南医科大学于2000年7月10日合并组建而成,是一所涵盖理学、工学、医学、文学、历史学、哲学、法学、经济学、管理学、教育学、农学、艺术学12大学科门类的综合性大学,是河南省唯一的国家“211工程”重点建设高校,是河南省惟一一所入选国家“中西部高校综合实力提升工程”的高校,是河南省人民政府与国家教育部共建高校。
专知会员服务
29+阅读 · 2020年3月6日
【学科交叉】抗生素发现的深度学习方法
专知会员服务
25+阅读 · 2020年2月23日
广东疾控中心《新型冠状病毒感染防护》,65页pdf
专知会员服务
19+阅读 · 2020年1月26日
VIP会员
Top
微信扫码咨询专知VIP会员