成为VIP会员查看完整内容
VIP会员码认证
首页
主题
发现
会员
服务
注册
·
登录
0
Science:面对新冠病毒,孕妇的特殊风险和未知影响
2020 年 8 月 12 日
学术头条
Yalda Afshar 是加州罗纳德·里根大学(Ronald Reagan University of California)洛杉矶医疗中心的一名高危产科医生,她每天都能从她的病人那里听到这样的担忧:
我是否会因为怀孕而遭受更严重的新冠病毒感染?如果我被感染,病毒会伤害我的孩子吗?
作为一名产科医生,她比大多数人更了解孕龄妇女们的担忧,不仅仅因为她正在调查 COVID-19 对妊娠期的影响,更是因为她自己的第一个孩子也将于 10 月份出生。
Yalda Afshar
现阶段,虽然关于怀孕和 COVID-19 之间关系的研究数据并不充分,但是这些仅有的数据证明了一件事情,那就是胎儿在怀孕后期被感染似乎是罕见的,而且专家们对冠状病毒不会影响胎儿早期发育这一观点持谨慎乐观态度。
但是,新出现的数据表明,Afshar 患者的担忧在某种程度上是存在的:
怀孕确实似乎使女性的身体更容易感染由 SARS-CoV-2 引起的严重的 COVID-19。
这种风险一方面来自于孕妇独特的免疫系统,一方面是因为冠状病毒的攻击点——肺和心血管系统——在怀孕期间都十分危险。
孕妇更危险
美国疾病控制和预防中心(CDC)在 6 月底公布了迄今为止最有力的数据。在 91,412 名感染冠状病毒的育龄妇女中,有 8207 名孕妇最后住进了重症监护病房(ICU),其概率比未怀孕的同龄人高出 50%。孕妇需要呼吸机的概率也增加了 70%,尽管她们的死亡率与普通人相比并没有增加。
瑞典的公共卫生机构上个月在 Acta Obstetricia et Gynecologica Scandinavica 发表的论文中,使用了一个更为完整的医疗数据集。这篇论文统计了 3 月份和 4 月份瑞典被感染的孕妇入住 ICU 的比率和被感染的妊娠生育年龄妇女的比率。
虽然这项研究规模很小:在这段时间内,只有 13 名感染冠状病毒的孕妇和 40 名未怀孕的感染妇女被瑞典 ICU 收治。但是,洛桑大学医院(Lausanne University Hospital)研究新发传染病和妊娠的专家 David Baud 说:“在我看来,这是最可靠的数据。”
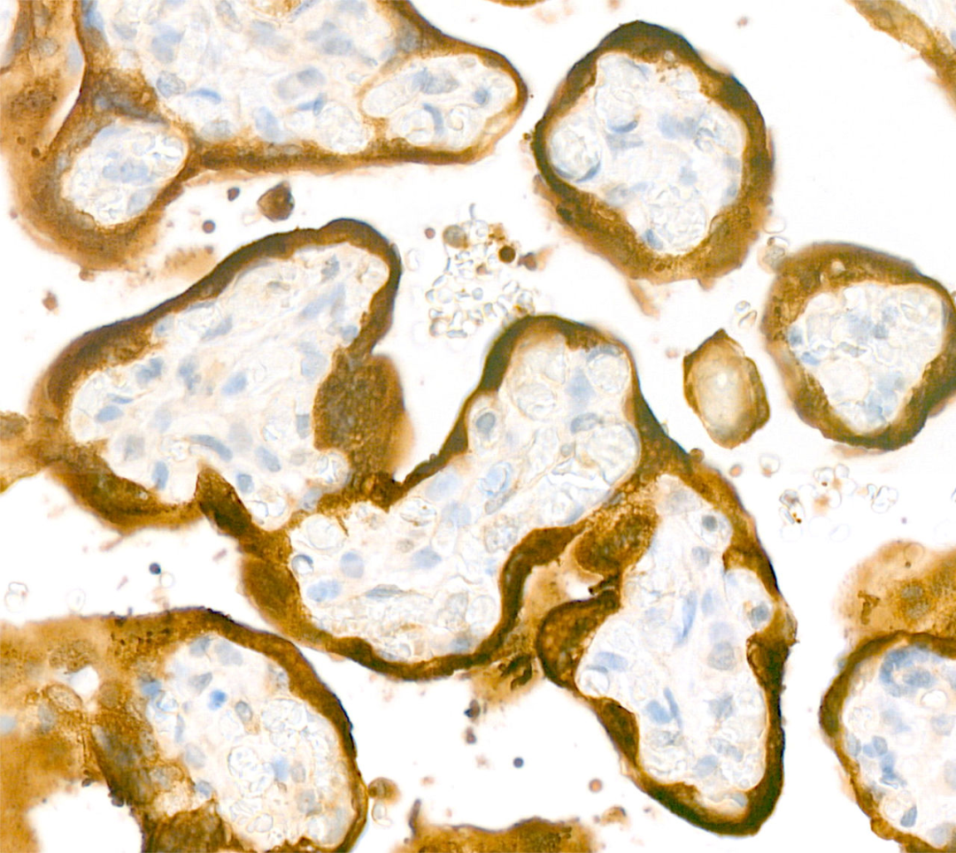
新冠病毒侵入胎盘的证据
这项研究的研究结果发人深省:
感染 COVID-19 的孕妇或刚产后的女性进入 ICU 的几率是未感染 COVID-19 的女性的近六倍。
众所周知,怀孕会增加呼吸道病毒感染引发严重疾病的风险。在 2009 年甲型 H1N1 流感流行期间,虽然孕妇约占美国人口的 1%,但却占了美国死亡人数的 5%。一项研究发现,患有严重急性呼吸系统综合症(SARS)的孕妇比未怀孕的孕妇更有可能被收住 ICU 并死亡。
威尔·康奈尔医学院(Weill Cornell medicine)的孕产妇和胎儿医学专家马拉维卡·普拉布(Malavika Prabhu)和他的同事上个月在 BJOG 杂志上发表的研究表明,
产妇面临的危险并不会随着分娩而结束。
他们在 3 月底和 4 月份对纽约三家医院收治的 675 名孕妇进行了为期 4 周的随访。在 70 名感染的妇女中,有 9 人(约 13%)在分娩后至少出现了医生在分娩后提醒她们需要注意的三种并发症中的一种:发烧、低血氧和再入院。在 605 名未感染的妇女中,有 27 人(4.5%)存在上述问题。
“很多疾病都是在产后暴露出来的。我们了解到 COVID-19 就是其中之一。”Prabhu 指出,入院时检测呈阳性的孕妇中有 79% 并没有症状。
孕妇的危险,还在后面
病毒感染在孕妇中更严重,可能是因为“孕妇的整个免疫系统都是为了确保不会产生任何反胎儿免疫反应,”耶鲁大学医学院的免疫学家 Akiko Iwasaki 说,
“为了保护婴儿的健康,母亲不得不牺牲自己的免疫防御。”
与此同时,在怀孕期间,免疫系统是不活跃的,“对感染真正显著的免疫反应肯定有可能引起并发症。”匹兹堡大学的病毒学家卡罗琳·科因(Carolyn Coyne)说。
此外,SARS-CoV-2 会袭击肺部和心血管系统,这些器官在怀孕期间已经很脆弱了。“随着子宫的生长,肺的空间越来越小。这就是为什么孕妇经常感到呼吸急促。”埃默里大学医学院妇产科主任 Denise Jamieson 说。
为了给胎儿提供营养,孕妇还需要额外的氧气和血液来运送胎儿。
到妊娠晚期,这一比例要高于 50%。这一因素也可能会增加 COVID-19 对心血管系统造成的压力。毕竟孕妇的心脏已经同时为两个人工作了,如果感染的是一种已知的会引起血管变化、炎症的病毒,这无疑将会进一步增加心脏的工作量。
最后,孕妇的血液凝块的概率会增加,这通常被认为是由于她们在分娩后需要迅速止血的正常现象。但是冠状病毒本身却有着类似的效果。“COVID 被认为会增加你凝血的可能性,然后怀孕会进一步增加你凝血的概率。”Jamieson 说。
但是,我们对于孕妇面对 COVID-19 时的特殊风险,仍然有太多未知。专家们也表示,他们迫切需要更好的数据来了解和应对感染冠状病毒的孕妇将会面临的风险,以及新出生婴儿的影响。
Jamieson指出,2009年感染H1N1流感、2015年和2016年感染寨卡病毒的孕妇的数据收集登记册,在疫情结束后被放弃。“我们确实需要对一个长期的、资金充足的数据监测系统进行投资,以获取更充分准确的妊娠研究结果。”
Afshar和加州大学旧金山分校的一位同事是妊娠冠状病毒结果登记中心(Pregnancy Coronavirus Outcomes Registry)的联合首席研究员,他们目前正在收集1100多名美国孕妇的数据。她希望这份报告能开始回答一些紧迫的问题,比如
抗COVID-19药物对母亲和胎儿的影响;感染如何影响母亲的免疫状况;以及抗凝血药物是否应该用于COVID-19孕妇以及如何使用。
Afshar说:“我向妇女和她们的家人提供咨询,并目睹着她们的压力,却不能给她们以证据为基础的建议,这让我感到很难受。我常常会因为担忧我是否为她们做出了正确的诊断而失眠。除此之外,我想说,我与她们也同时站在同一战线上。”
那么,孕妇们现在需要怎么做呢?或许正如洛桑大学医院David Baud给出的建议:“保护孕妇,
首先要让她戴口罩并尽量避免社交接触。
”
编译:赵彤彤
排版:赵辰霞
编审:王新凯
资料来源:
https://www.sciencemag.org/news/2020/08/why-pregnant-women-face-special-risks-covid-19?
想要了解更多学术进展、前沿科技资讯,参与学术头条每日话题讨论,可以扫描二维码或搜索AMiner308添加学术君微信,对学术君说: “我想进读者群”, 即可进入读者群,不定期发福利~
点击
阅读原文
,查看更多精彩!
喜欢本篇内容,请
分享、点赞、
在看
登录查看更多
点赞并收藏
0
暂时没有读者
0
权益说明
本文档仅做收录索引使用,若发现您的权益受到侵害,请立即联系客服(微信: zhuanzhi02,邮箱:bd@zhuanzhi.ai),我们会尽快为您处理
相关内容
COVID-19
关注
0
【ICML2020-哈佛】深度语言表示中可分流形
专知会员服务
13+阅读 · 2020年6月2日
计算机视觉用于新冠病毒COVID-19的控制综述,25页pdf
专知会员服务
53+阅读 · 2020年4月22日
【复旦大学-SP2020】NLP语言模型隐私泄漏风险
专知会员服务
25+阅读 · 2020年4月20日
【干货书】深度学习生命科学:基因组学、药物发现,238页pdf
专知会员服务
200+阅读 · 2020年3月18日
【哈佛大学】美国对新冠肺炎COVID-19住院和ICU床位的需求:来自中国城市的教训
专知会员服务
29+阅读 · 2020年3月11日
【调查研究】人工智能在预防与治疗新冠状病毒中起到多大作用?
专知会员服务
60+阅读 · 2020年3月10日
新型冠状病毒肺炎流行病学特征的最新认识
专知会员服务
29+阅读 · 2020年3月6日
【学科交叉】抗生素发现的深度学习方法
专知会员服务
25+阅读 · 2020年2月23日
武汉疾控中心编撰《新型冠状病毒肺炎预防手册》,108页ppt学习掌握科学知识守护你我(附下载)
专知会员服务
37+阅读 · 2020年1月23日
哈佛大学Miguel Hernan科学家最新2019年《因果推断:概念与方法》书稿终版,280页讲解因果效应(附下载)
专知会员服务
110+阅读 · 2019年12月14日
【ASCO 2019 抢先看】原创替雷利珠单抗为多种中国高发肿瘤带来新希望
肿瘤资讯
3+阅读 · 2019年5月27日
Science揭露:PD-1效果好不好,竟然与这一点有关!
生物探索
3+阅读 · 2019年5月6日
【NEJM】SWOG S0226研究长期随访结果:对于绝经后HR+转移性乳腺癌患者,氟维司群+阿那曲唑优于阿那曲唑单药
肿瘤资讯
5+阅读 · 2019年3月30日
Science:脂肪细胞外泌体对巨噬细胞发挥调节功能
外泌体之家
19+阅读 · 2019年3月7日
【最新】2018年版前列腺癌诊疗规范(附:原文下载)
肿瘤资讯
4+阅读 · 2019年1月13日
【最新】2018版胰腺癌诊疗规范(附:原文下载)
肿瘤资讯
4+阅读 · 2019年1月1日
【1883】2018WCLC | 朱正飞教授解读PACIFIC研究——免疫巩固治疗新证据
肿瘤资讯
14+阅读 · 2018年10月10日
科学家揭示沙利度胺的致畸原理
生物探索
5+阅读 · 2018年8月6日
人间充质干细胞来源的外泌体通过逆转胰岛素抵抗和缓解β细胞损伤从而减轻II型糖尿病
外泌体之家
8+阅读 · 2018年7月30日
干细胞外泌体的市场分析
外泌体之家
8+阅读 · 2017年12月19日
A Survey of Deep Learning for Scientific Discovery
Arxiv
29+阅读 · 2020年3月26日
Utilizing BERT for Aspect-Based Sentiment Analysis via Constructing Auxiliary Sentence
Arxiv
8+阅读 · 2019年3月22日
Why Self-Attention? A Targeted Evaluation of Neural Machine Translation Architectures
Arxiv
3+阅读 · 2018年8月27日
High Performance Software in Multidimensional Reduction Methods for Image Processing with Application to Ancient Manuscripts
Arxiv
4+阅读 · 2018年7月18日
Multi-hop Inference for Sentence-level TextGraphs: How Challenging is Meaningfully Combining Information for Science Question Answering?
Arxiv
3+阅读 · 2018年5月29日
The Users' Perspective on the Privacy-Utility Trade-offs in Health Recommender Systems
Arxiv
5+阅读 · 2018年4月13日
A Framework for Evaluating 6-DOF Object Trackers
Arxiv
6+阅读 · 2018年3月28日
Sentiment Analysis of Code-Mixed Indian Languages: An Overview of SAIL_Code-Mixed Shared Task @ICON-2017
Arxiv
6+阅读 · 2018年3月18日
SentiBubbles: Topic Modeling and Sentiment Visualization of Entity-centric Tweets
Arxiv
3+阅读 · 2018年1月23日
Cellular-Connected UAVs over 5G: Deep Reinforcement Learning for Interference Management
Arxiv
4+阅读 · 2018年1月16日
VIP会员
自助开通(推荐)
客服开通
详情
相关主题
COVID-19
加州大学 (University of California)
概率
ACTA
大学
增强现实(AR)
相关VIP内容
【ICML2020-哈佛】深度语言表示中可分流形
专知会员服务
13+阅读 · 2020年6月2日
计算机视觉用于新冠病毒COVID-19的控制综述,25页pdf
专知会员服务
53+阅读 · 2020年4月22日
【复旦大学-SP2020】NLP语言模型隐私泄漏风险
专知会员服务
25+阅读 · 2020年4月20日
【干货书】深度学习生命科学:基因组学、药物发现,238页pdf
专知会员服务
200+阅读 · 2020年3月18日
【哈佛大学】美国对新冠肺炎COVID-19住院和ICU床位的需求:来自中国城市的教训
专知会员服务
29+阅读 · 2020年3月11日
【调查研究】人工智能在预防与治疗新冠状病毒中起到多大作用?
专知会员服务
60+阅读 · 2020年3月10日
新型冠状病毒肺炎流行病学特征的最新认识
专知会员服务
29+阅读 · 2020年3月6日
【学科交叉】抗生素发现的深度学习方法
专知会员服务
25+阅读 · 2020年2月23日
武汉疾控中心编撰《新型冠状病毒肺炎预防手册》,108页ppt学习掌握科学知识守护你我(附下载)
专知会员服务
37+阅读 · 2020年1月23日
哈佛大学Miguel Hernan科学家最新2019年《因果推断:概念与方法》书稿终版,280页讲解因果效应(附下载)
专知会员服务
110+阅读 · 2019年12月14日
热门VIP内容
开通专知VIP会员 享更多权益服务
大语言模型幻觉:系统综述
《分析与预测陆军战斗体能测试表现:统计与机器学习方法》2025最新137页
【博士论文】数据与任务的物理学:深度学习中的局部性与组合性理论
代理式人工智能时代的决策优势
相关资讯
【ASCO 2019 抢先看】原创替雷利珠单抗为多种中国高发肿瘤带来新希望
肿瘤资讯
3+阅读 · 2019年5月27日
Science揭露:PD-1效果好不好,竟然与这一点有关!
生物探索
3+阅读 · 2019年5月6日
【NEJM】SWOG S0226研究长期随访结果:对于绝经后HR+转移性乳腺癌患者,氟维司群+阿那曲唑优于阿那曲唑单药
肿瘤资讯
5+阅读 · 2019年3月30日
Science:脂肪细胞外泌体对巨噬细胞发挥调节功能
外泌体之家
19+阅读 · 2019年3月7日
【最新】2018年版前列腺癌诊疗规范(附:原文下载)
肿瘤资讯
4+阅读 · 2019年1月13日
【最新】2018版胰腺癌诊疗规范(附:原文下载)
肿瘤资讯
4+阅读 · 2019年1月1日
【1883】2018WCLC | 朱正飞教授解读PACIFIC研究——免疫巩固治疗新证据
肿瘤资讯
14+阅读 · 2018年10月10日
科学家揭示沙利度胺的致畸原理
生物探索
5+阅读 · 2018年8月6日
人间充质干细胞来源的外泌体通过逆转胰岛素抵抗和缓解β细胞损伤从而减轻II型糖尿病
外泌体之家
8+阅读 · 2018年7月30日
干细胞外泌体的市场分析
外泌体之家
8+阅读 · 2017年12月19日
相关论文
A Survey of Deep Learning for Scientific Discovery
Arxiv
29+阅读 · 2020年3月26日
Utilizing BERT for Aspect-Based Sentiment Analysis via Constructing Auxiliary Sentence
Arxiv
8+阅读 · 2019年3月22日
Why Self-Attention? A Targeted Evaluation of Neural Machine Translation Architectures
Arxiv
3+阅读 · 2018年8月27日
High Performance Software in Multidimensional Reduction Methods for Image Processing with Application to Ancient Manuscripts
Arxiv
4+阅读 · 2018年7月18日
Multi-hop Inference for Sentence-level TextGraphs: How Challenging is Meaningfully Combining Information for Science Question Answering?
Arxiv
3+阅读 · 2018年5月29日
The Users' Perspective on the Privacy-Utility Trade-offs in Health Recommender Systems
Arxiv
5+阅读 · 2018年4月13日
A Framework for Evaluating 6-DOF Object Trackers
Arxiv
6+阅读 · 2018年3月28日
Sentiment Analysis of Code-Mixed Indian Languages: An Overview of SAIL_Code-Mixed Shared Task @ICON-2017
Arxiv
6+阅读 · 2018年3月18日
SentiBubbles: Topic Modeling and Sentiment Visualization of Entity-centric Tweets
Arxiv
3+阅读 · 2018年1月23日
Cellular-Connected UAVs over 5G: Deep Reinforcement Learning for Interference Management
Arxiv
4+阅读 · 2018年1月16日
大家都在搜
PINN
操作系统
2025最新文献
俄乌战争
NTU博士论文
突防
军民融合
朱克爱德华兹家族
事件相机
无人机测控通信自组网技术综述
Top
提示
微信扫码
咨询专知VIP会员与技术项目合作
(加微信请备注: "专知")
微信扫码咨询专知VIP会员
Top