科技 | 未来已至,脑机接口正从科幻走向现实

2018 年 9 月 13 日 人工智能学家


来源:天大神经工程


科幻电影《机械战警》中,主人公墨菲遭遇事故,只剩下大脑和部分躯干,科学家为其打造完整的机械骨骼,墨菲通过大脑控制钢铁身躯,成为机械战警。


电影《环太平洋》中,人类能够通过脑神经连接操作机甲与怪兽搏斗,掀起了一轮机甲狂潮。



人类一直在幻想着有一天大脑能直接控制机械,取代肉体的缺陷。如果现在有人告诉你,这即将成为现实,是不是觉得很疯狂?事实上,这一天已经到来,这种技术就是本文要讲的脑机接口。


什么是脑机接口


脑机接口(brain-computer interface,BCI)通过解码人类思维活动过程中的脑神经活动信息,构建大脑与外部世界的直接信息传输通路,在神经假体、神经反馈训练、脑状态监测等领域有广泛的应用前景。


简单说,就是实现用意念控制机器。这意味着人与机器的主要交互方式,除了手工输入,以及近几年兴起的人工智能语音交互之外,还可以直接通过大脑向机器发指令。


目前的脑机接口技术可以分为两类,一类是侵入式,比如在大脑中植入芯片,还有一类为非侵入式,比如戴上可以采集脑电波的头盔或帽子。



2014年巴西世界杯开幕式,一名腰部以下瘫痪的少年,通过BCI控制的机器外骨骼从轮椅上站起来,向前迈出几步,踢出了世界杯的第一脚球。



目前正在应用的脑机接口工具


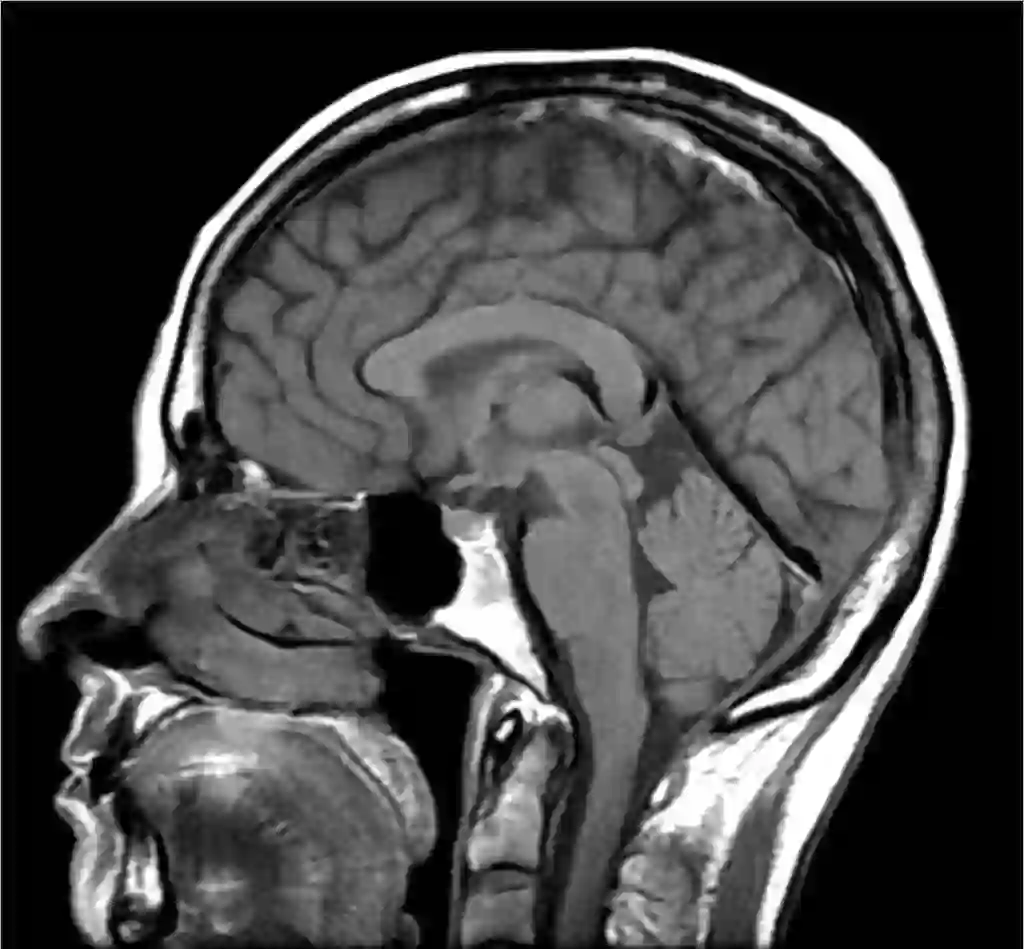
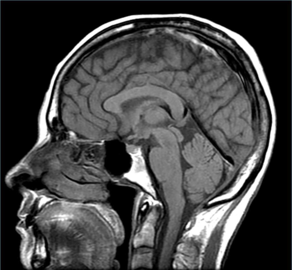
Ø 功能性磁共振成像(Functional Magnetic Resonance Imaging,FMRI)

  • 规模:大(能够显示整个大脑的信息)

  • 分辨率:空间分辨率为中低,时间分辨率为极低

  • 侵入性:非侵入性

FMRI 不是传统的脑机接口工具,但它是一种典型的记录工具——它能告诉你大脑内部的情况。



FMRI 能够扫描整个大脑,生成三维模型。



FMRI 的主要缺点在于分辨率,它扫描生成的图像确实会有一个分辨率,正如电脑屏幕上会有像素一样,只不过它的像素是三维立体的——也就是所谓的「体素」(voxel);


其次是在于时间分辨率。FMRI 所追踪的血流量并不精确,而且会有大约一秒钟的延迟。


Ø 脑电图(Electroencephalography,EEG)

  • 规模:大

  • 分辨率:空间性分辨率极低,时间分辨率中高

  • 侵入性:非侵入性

脑电图已经拥有接近一个世纪的历史,这种技术就是在脑袋上贴一堆电极:


 

一种完全非侵入性的脑机接口工具,脑电图可以记录下大脑中不同区域的电流活动,然后生成这样的结果:



Ø 皮质电图(Electrocorticography,ECoG)

  • 规模:大

  • 分辨率:空间分辨率低,时间分辨率高

  • 侵入性:部分侵入性

皮质电图的原理跟脑电图类似,同样都会采用电极——只是这种技术会将电极放在颅骨下面,也就是大脑表面。



虽然有点可怕,但很有效,至少比脑电图的效果好多了。没有了颅骨的干扰,皮质电图能够获取更高空间分辨率(1 厘米左右)和时间分辨率(5 毫秒)的信息。


Ø 局部场电位(Local Field Potential,LFP)

  • 规模:小

  • 分辨率:空间分辨率中低,时间分辨率高

  • 侵入性:高侵入性

介入脑部的微电极,直径在 10 到 30 微米之间。局部场电位领域的一项最新发展是多电极阵列(multielectrode array),它的原理和局部场电位一样,只是它会同时在皮质的某个区域同时插上 100 个微电极,如下图在4毫米x4毫米的小方块上有100个细小的硅电极,最尖端只有几微米:



Ø 单细胞记录(Single-Unit Recording)

  • 规模:极小

  • 分辨率:极高

  • 侵入性:高侵入性

单细胞记录也是采用微电极,但是这种电极的尖端会变得异常细小,因此它的电阻也会大大提高。这种方式可以屏蔽掉大多数的噪音,但也会导致电极几乎探测不到任何东西——除非在它特别靠近一个神经元的时候(也许距离 50 微米),神经元发出的信号强度足以穿过电极的电阻。


由于这种方式可以探测到单个神经元的独特信号,而且没有背景噪音的干扰,所以现在我们就可以监视单个神经元的个体活动。这种方式的记录规模最小,分辨率最高。


另外还有一种电极可以更近距离地探测神经元,它们采用的是一种叫做膜片钳(patch clamp)的技术,这种电极的顶端会被移除,剩下一根细小的玻璃吸管(作者注:它的直径只有人类头发的 1/100),它可以将神经元细胞膜的一部分吸进玻璃管内,从而实现更精确的测量:



最后一种电极会真正刺穿细胞膜,并完全进入神经元内部,这种方法叫做尖锐电极记录(sharp electrode recording)。如果电极顶端足够尖锐就不会破坏神经元细胞——因为细胞膜会在电极周围闭合。


这种方式可以轻易刺激神经元,或者记录神经元内外的电压差。但是这种技术对神经元的干预时间不长——因为被刺穿的神经元无法长时间存活。


风口上的脑机接口(BCI)


随着BCI技术的成熟,众多“头号玩家”争相进入BCI领域:


Ø Neuralink

你可能知道,“硅谷钢铁侠”马斯克用Tesla推动了电动汽车的迅猛发展,用SpaceX加快了太空探索的步伐,但你可能还不知道他创办了脑机接口公司Neuralink来改造人类自身。人工智能时代以降,为了对抗强人工智能不可控的风险,马斯克正努力促进人机融合,将人类自身打造成人工智能,这或许是人类物种能够延续的最终路径。



马斯克说,“我认为,人们不喜欢的一个事实是,自己已经成为一个半机械人。与20年甚至10年前相比,人已经不是同一种生物,比如,许多人已经一刻也离不开手机。我认为,人在某种程度上已经与手机、笔记本、应用等融合在一起。”Neuralink的目标是全脑脑机接口,能够与大脑的任何区域传输神经信号,它将成为综合的“数字化第三皮层”,人类将成为半机械人


Ø Facebook

2017年,Facebook在F8开发者大会上揭晓了神秘的部门Building8,并发布了黑科技“脑机语音文本界面”,用人话解释就是:不用动手,更不用说话,脑中所想会直接展示在显示器上。



发布会中Facebook展示的一段来自斯坦福的实验录像,实验对象通过脑部植入电极控制计算机光标,能实现每分钟8个英文单词的输入速度。



Ø 2018年,中国电子学会近日公布的《新一代人工智能领域十大最具成长性技术展望(2018—2019)》里,智能脑机交互赫然在列


BCI研究瓶颈


脑(Brain):人类对脑科学探索还处于婴儿期,如何在脑科学认知限制条件下研发BCI?


机(Computer):带宽瓶颈——如何小儿巧地容纳大量信息?


接口(Interface):如何解决生物相容性问题?人的免疫系统排斥本体之外的”入侵”物体,如何让BCI融入有机体?


脑机接口(BCI):伦理问题——试验阶段,如果开颅,可以做大量生物实验吗?推广阶段,如果读心实现,隐私何在?


BCI的未来


那么,问题就来了,什么时候BCI才能进入寻常百姓家?小编无法回答这个问题。


“我认为未来8至10年,脑机接口技术就可以用于普通人。值得指出的是,产品上市销售时间受到监管机构批准,以及各种疾病患者使用效果的影响。”

——马斯克如是说


未来智能实验室是人工智能学家与科学院相关机构联合成立的人工智能,互联网和脑科学交叉研究机构。


未来智能实验室的主要工作包括:建立AI智能系统智商评测体系,开展世界人工智能智商评测;开展互联网(城市)云脑研究计划,构建互联网(城市)云脑技术和企业图谱,为提升企业,行业与城市的智能水平服务。

  如果您对实验室的研究感兴趣,欢迎加入未来智能实验室线上平台。扫描以下二维码或点击本文左下角“阅读原文”

登录查看更多
4

相关内容

脑机接口的英文名称是brain-computer interface,简称BCI,也称作brain-machine interface或direct neural interface。脑机接口(BCI)提供了大脑与计算机或其他外部设备之间的直接通信连接。通过加强或替代人类的工作能力,它们提供了更大的自由度,并在康复、情感计算、机器人、游戏和神经科学等各个领域有潜在的应用。脑机接口是一个多学科交叉形成的研究领域,涉及信息学、神经学、材料学、生物学、医学、心理学、工程学等,是各学科基础理论交叉的集合体。

知识荟萃

精品入门和进阶教程、论文和代码整理等

更多

查看相关VIP内容、论文、资讯等
基于视觉的三维重建关键技术研究综述
专知会员服务
166+阅读 · 2020年5月1日
【ICMR2020】持续健康状态接口事件检索
专知会员服务
18+阅读 · 2020年4月18日
2019中国硬科技发展白皮书 193页
专知会员服务
86+阅读 · 2019年12月13日
【BAAI|2019】类脑神经网络技术及其应用,鲁华祥(附pdf)
专知会员服务
31+阅读 · 2019年11月21日
浅谈群体智能——新一代AI的重要方向
中国科学院自动化研究所
44+阅读 · 2019年10月16日
GIS最新热点以及未来发展热门
人工智能学家
10+阅读 · 2018年3月29日
脑机接口技术如何具体实现?
北京思腾合力科技有限公司
9+阅读 · 2017年12月8日
体素科技丁晓伟:医疗影像的哲学三问
机器之能
5+阅读 · 2017年11月25日
心理学与脑科学:进展、思考和展望
科技导报
9+阅读 · 2017年10月27日
Arxiv
7+阅读 · 2019年10月6日
Domain Representation for Knowledge Graph Embedding
Arxiv
14+阅读 · 2019年9月11日
Logic Rules Powered Knowledge Graph Embedding
Arxiv
7+阅读 · 2019年3月9日
Arxiv
8+阅读 · 2018年11月27日
Arxiv
5+阅读 · 2018年5月5日
Arxiv
29+阅读 · 2018年4月6日
VIP会员
相关VIP内容
相关资讯
浅谈群体智能——新一代AI的重要方向
中国科学院自动化研究所
44+阅读 · 2019年10月16日
GIS最新热点以及未来发展热门
人工智能学家
10+阅读 · 2018年3月29日
脑机接口技术如何具体实现?
北京思腾合力科技有限公司
9+阅读 · 2017年12月8日
体素科技丁晓伟:医疗影像的哲学三问
机器之能
5+阅读 · 2017年11月25日
心理学与脑科学:进展、思考和展望
科技导报
9+阅读 · 2017年10月27日
Top
微信扫码咨询专知VIP会员