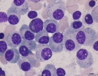
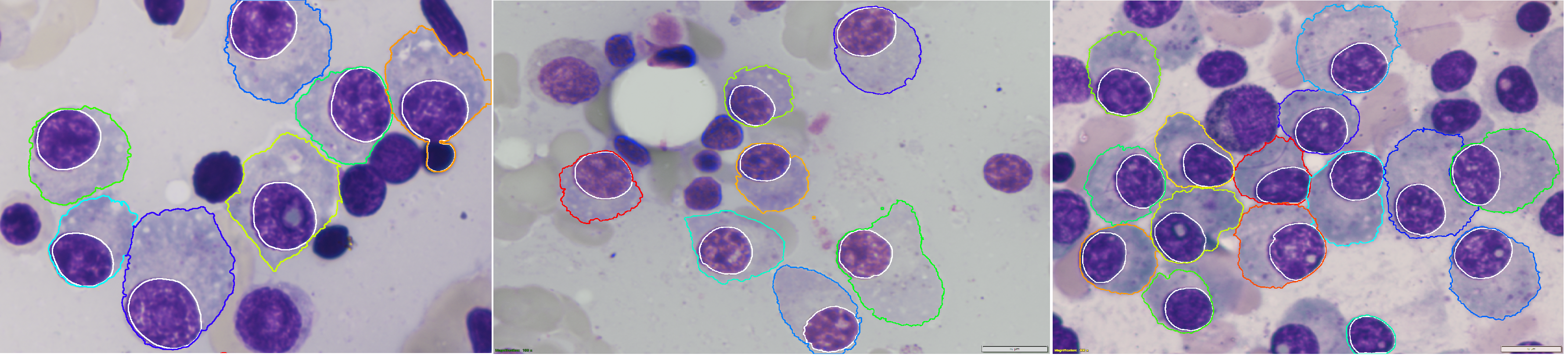
Multiple myeloma cancer is a type of blood cancer that happens when the growth of abnormal plasma cells becomes out of control in the bone marrow. There are various ways to diagnose multiple myeloma in bone marrow such as complete blood count test (CBC) or counting myeloma plasma cell in aspirate slide images using manual visualization or through image processing technique. In this work, an automatic deep learning method for the detection and segmentation of multiple myeloma plasma cell have been explored. To this end, a two-stage deep learning method is designed. In the first stage, the nucleus detection network is utilized to extract each instance of a cell of interest. The extracted instance is then fed to the multi-scale function to generate a multi-scale representation. The objective of the multi-scale function is to capture the shape variation and reduce the effect of object scale on the cytoplasm segmentation network. The generated scales are then fed into a pyramid of cytoplasm networks to learn the segmentation map in various scales. On top of the cytoplasm segmentation network, we included a scale aggregation function to refine and generate a final prediction. The proposed approach has been evaluated on the SegPC2021 grand-challenge and ranked second on the final test phase among all teams.


翻译:多种血浆癌是一种类型的血癌,当异常血浆细胞的生长在骨髓中失控时,就会发生这种类型的血癌。有多种方法可以诊断骨髓中的多种血浆瘤,例如完整的血清计数测试(CBC),或者使用人工视觉化或图像处理技术,在喷气幻灯片图像中计数血浆血浆细胞。在这项工作中,探索了一种用于检测和分解多种血浆血浆血浆细胞的自动深层次学习方法。为此,设计了一个两阶段深层学习方法。在第一阶段,核心检测网络被用来提取每个感兴趣的细胞。然后将提取的体积输入多尺度功能,以产生多尺度的表示。多尺度功能的目的是捕捉形状变异,减少物体在细胞图解分解网络上的影响。然后将生成的天平尺度输入一个细胞图网络的金字塔,以学习不同尺度的分解图。在细胞托拉斯分解网络的顶端,我们将一个规模的集合功能输入到二等分化网络上,我们把一个规模的集合功能输入到一个规模组,以产生一个多尺度的图层代表,然后进行最后的Seggs。提议的方法已经对21进行所有测试阶段进行了评估。

0
下载
关闭预览

相关内容

Networking:IFIP International Conferences on Networking。 Explanation:国际网络会议。 Publisher:IFIP。 SIT: http://dblp.uni-trier.de/db/conf/networking/index.html
专知会员服务
32+阅读 · 2021年6月12日
知识图谱推理,50页ppt,Salesforce首席科学家Richard Socher
专知会员服务
111+阅读 · 2020年6月10日
100+篇《自监督学习(Self-Supervised Learning)》论文最新合集
专知会员服务
167+阅读 · 2020年3月18日
FlowQA: Grasping Flow in History for Conversational Machine Comprehension
专知会员服务
34+阅读 · 2019年10月18日
Keras François Chollet 《Deep Learning with Python 》, 386页pdf
专知会员服务
162+阅读 · 2019年10月12日
最新BERT相关论文清单,BERT-related Papers
专知会员服务
53+阅读 · 2019年9月29日
Unsupervised Learning via Meta-Learning
CreateAMind
43+阅读 · 2019年1月3日
半监督多任务学习:Semisupervised Multitask Learning
我爱读PAMI
18+阅读 · 2018年4月29日
语义分割+视频分割开源代码集合
极市平台
35+阅读 · 2018年3月5日
【推荐】全卷积语义分割综述
机器学习研究会
19+阅读 · 2017年8月31日
VIP会员
相关资讯
Top
微信扫码咨询专知VIP会员