高性能AI自动标注神器!助力产业数据标注效率提升10倍!

2021 年 11 月 15 日 PaperWeekly

深度学习大法固然好,但算法训练需要标注大量数据,不论是时间还是金钱成本都让很多从业的小伙伴们头疼不已。矩形框标注还相对简单,遇到像素级别的分割标注,工作量又是成倍增加,小编不禁想:要是能有自动标注的工具该有多好!

 

功夫不负有心人,小编终于淘到一款自动标注软件,可以极大的提升图像分割的标注效率,降低标注成本。

它就是飞桨PaddleSeg团队开源的交互式分割工具—EISeg。那什么是交互式分割呢?它其实就是先用预训练模型对图像预标注。对于标注不精准、有误差的地方,再通过较少的绿色点(正点)和红色点(负点)精准的调整目标对象的边缘,从而实现精细化标注,高效而实用。

EISeg是基于交互式分割工具开发的自动标注软件,提供了简单易操作的使用界面,用户加载官方提供的预训练模型,通过对图像交互点选,最终得到目标物体的轮廓信息,同时支持一键转化为角点,以便二次修正。

这么高效、实用还免费的软件,错过的话,就真的相当于错过了一个亿!识趣的小编赶紧贴上链接:

https://github.com/PaddlePaddle/PaddleSeg/tree/develop/EISeg


你以为EISeg仅仅是提供预训练算法和交互式分割操作方式就没什么特别的了吗?!Too Simple Too Naive!


丰富的标注模型,适用多种场景
除了提供通用的物体分割模型,EISeg团队在人像、遥感、医疗等领域持续建设,推出了一系列垂类场景的高质量交互式模型,方便开发者快速实现语义及实例标签的标注,降低标注成本。
以遥感为例,多通道和大尺幅是遥感领域的典型特征,为此EISeg开发团队联合中国四维测绘技术有限公司深入研究, 在新发布的0.4版本中提供高光谱、多光谱数据通道选择和大尺幅数据的切片(多宫格)处理和自动拼接等功能,使遥感场景数据标注更快更便捷。
同时遥感数据般都含有地理信息,为此EISeg支持读取GTiff(GIS和卫星遥感应用的行业图像标准文件)图像,并可以标注保存为带有地理参考的GTiffESRI Shapefile文件。
 
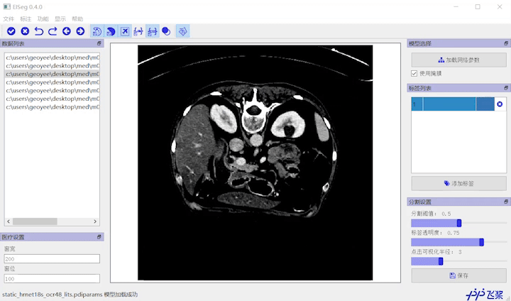
另外在医疗图像方向,EISeg支持打开CT和核磁共振产生的Dicom格式图像,如果打开图像的后缀为.dcm ,则会询问是否开启医疗组件,以支持用户自主设置窗宽和窗位。

超多人性化操作快捷键, 让标注效率一提再提!
为了进一步提高小伙伴们的标注效率,EISeg提供了超多人性化设计的快捷键:
到底标注效率有多快呢? 我们具体来做个测试

传统算法1分07秒

(EISeg 9秒)
看到,传统方法使用的标注时间是1分07秒,EISeg只用了9秒,使用的时间是传统方式的1/7还不到! EISeg的标注效率远超传统标注方式!

支持多种图像及标注格式,满足多种视觉任务
EISeg支持标注输出mask掩膜,还可以一键生成多边形角点,让用户可以对角点进行增删和局部修正。同时还可以输出伪彩色图、灰度图,以及coco数据格式,让用户根据类别设定的差异来选择生成语义标签或实例标签,灵活多样,满足用户的不同需求。
 
为了让开发者们更深入的了解EISeg工具以及交互式分割算法,飞桨团队精心准备了两日课。
11月17日~18日 19:00-20:00 百度资深高工将为我们从原理到实战,详细拆解EISeg分割背后的原理知识,全方位的解析交互式分割的前世今生,还在等什么!抓紧扫码上车吧!

扫码报名直播课,加入技术交流群



(长按收藏海报)
登录查看更多
2

相关内容

自动标注:利用机器学习等方法对无标注(无标签或者无输出)的数据进行自动化标记。属于AI领域范畴。
信通院最新发布!《AI 框架发展白皮书(2022年)》
专知会员服务
92+阅读 · 2022年2月27日
专知会员服务
14+阅读 · 2021年9月15日
专知会员服务
91+阅读 · 2021年3月31日
【AAAI2021】预训练用户表示提升推荐
专知会员服务
44+阅读 · 2021年2月8日
专知会员服务
51+阅读 · 2020年11月20日
【CVPR2020-北京大学】自适应间隔损失的提升小样本学习
专知会员服务
85+阅读 · 2020年6月9日
AllenAI | 用GPT-3帮助增建数据,NLI任务直接提升十个点!?
夕小瑶的卖萌屋
0+阅读 · 2022年1月19日
一文归纳AI数据增强之法
极市平台
2+阅读 · 2022年1月11日
OCR自训练平台的天花板!它来了…
CVer
0+阅读 · 2021年12月17日
微信AI的高性能检测器,让识图更精准
微信AI
0+阅读 · 2021年4月22日
微信攻AI,有软有硬
微信AI
0+阅读 · 2019年9月2日
3 行代码 5 秒抠图的 AI 神器,根本无需 PS
大数据技术
20+阅读 · 2019年7月24日
国家自然科学基金
3+阅读 · 2015年12月31日
国家自然科学基金
0+阅读 · 2014年12月31日
国家自然科学基金
3+阅读 · 2014年12月31日
国家自然科学基金
1+阅读 · 2013年12月31日
国家自然科学基金
0+阅读 · 2012年12月31日
国家自然科学基金
0+阅读 · 2012年12月31日
国家自然科学基金
2+阅读 · 2012年12月31日
国家自然科学基金
0+阅读 · 2008年12月31日
Arxiv
11+阅读 · 2018年4月8日
VIP会员
相关基金
国家自然科学基金
3+阅读 · 2015年12月31日
国家自然科学基金
0+阅读 · 2014年12月31日
国家自然科学基金
3+阅读 · 2014年12月31日
国家自然科学基金
1+阅读 · 2013年12月31日
国家自然科学基金
0+阅读 · 2012年12月31日
国家自然科学基金
0+阅读 · 2012年12月31日
国家自然科学基金
2+阅读 · 2012年12月31日
国家自然科学基金
0+阅读 · 2008年12月31日
Top
微信扫码咨询专知VIP会员