太超前还是真骗局?麻省理工学院终止与人脑意识上传公司合作

2018 年 4 月 7 日 DeepTech深科技

长按识别二维码,收看2018《麻省理工科技评论》区块链商业峰会


今年 3 月中旬,《麻省理工科技评论》曾经报道过一家颇具争议的公司——Nectome。这家创始人背景皆为麻省理工学院的公司,希望通过“意识上传”实现数字化永生的人们推出“安乐死”服务。


Nectome 美国著名创业孵化器 Y Combinator 孵化,其客户名单已有 25 人的数量,Y Combinator 的创始人以及 OpenAI 联合创始人 Sam Altman 也在名单之中。


Nectome 已经募集到了20万美元资金。然而,这家公司的命运现在正迎来另一个拐点:近日,麻省理工学院媒体实验室(MIT Media Lab)宣布终止与大脑保存公司的合约。



图丨Nectome 的未来规划


事实上,就在《麻省理工科技评论》报道了 Nectome 推出的“100%致命”技术后,麻省理工学院与该公司的合作就遭到不少质疑。


因为,根据双方的合同,麻省理工学院收到了来自Nectome所得联邦资助中的 30 万美金,用以研发大脑保存与分析技术。


图丨Edward Boyden


而麻省理工学院在 4 月 2 日的声明称,麻省理工学院将终止与媒体实验室教授暨神经科学家 Edward Boyden 的研究合同。Boyden 是一名著名神经科学家,正在探索扩张显微技术(expansion microscopy)相结合。该技术能让脑组织扩大 10-20 倍,从而使各种测量手段得以实现。


Nectome 已经收到了许多对其技术的支持。迄今它已经筹集了一百万美元的基金,包括来自 Y Combinator 为其所有支持公司提供的 12 万美金。它还获得了来自美国国立精神卫生研究所(U.S. National Institute of Mental Health)的 96 万美金联邦资助,因其“纳米级全脑保存成像”为各种研究“提供了商业化的大脑保存”,包括药物研发。约有三分之一的联邦资助用于 Edward Boyden 实验室。


Boyden 则表示,他与Nectome并无任何经济利益牵涉或个人关系。


麻省理工学院与该公司的合作招来了许多神经科学家的尖刻批判,他们表示“意识上传”根本无法实现。从本质上来说,这家公司完全基于一个错误的理论。那是根本不可能发生的。”来自瑞典Karolinska 研究所的Sten Linnarsson说道。


他还补充说,麻省理工学院与Nectome的合作为此公司提供了可信性,从而增加了“人们通过自杀来捐献大脑”的几率。


“这实在是有悖伦理——我都说不出这到底有多过分,”Linnarsson说道,“这绝对是不是我们在医学研究中所做的。”


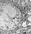
Nectome 正在研究如何保存人脑从而维持神经元间的连接。有人推测这样的“连接组”(connectome)能够保持个体的记忆信息。该公司已经获得联邦政府拨款,达成了与 麻省理工学院顶级神经科学家 Edward Boyden 的合作。此外,Nectome 的技术因成功保存了一只猪脑而赢得了价值 8 万美金的科学奖,由于大脑保存得极其完好,以至于每一个突触在电镜下都清晰可见。

 

图丨保存的猪脑在电镜下可见层叠的细胞和突触。有人相信作出这样一幅“连接组”图谱能帮助重构记忆。

 

Nectome 的大脑保存业务仍未上市,在未来许多年内也很难实现。至今我们仍然缺少能证明死亡组织保有记忆的证据。然而,该公司已经找到了研究市场的途径。参考电动车厂商 Tesla 的例子,Nectome 正通过邀请有远见的客户加入列队名单来逐渐扩大需求——只需交纳 10000 美元作为定金,而且客户一旦改变主意即可全额退款。


但是,大多数神经科学家认为,从脑组织提取记忆然后在计算机中重建意识的技术离我们至少还有几百年,甚至根本不可能实现。


图丨Nectome 公司的两位联合创始人 Michael McCanna 和 Robert Mclntyre 


作为Nectome的共同创始人之一,Robert McIntyre并没有立即回复关于麻省理工学院决定的评论请求。之前他曾表示,保存步骤应该开始于绝症病人生前,以尽可能保证大脑的新鲜程度。


在邮件中,McIntyre写道“我们非常感谢麻省理工学院给予我们的帮助。我们理解他们的选择,并予其诚挚祝愿。”他强调Nectome眼下并不提供任何临床的大脑保存服务,因为该技术尚在试验阶段。他还表示可以向那些登记了Nectome等候名单的人们退回定金。



在声明中,媒体实验室称“出于该公司商业计划下的科学理论基础,以及公司向公众发出的特定声明”,已经与Nectome解除了合约。


尽管已经终止合同,媒体实验室似乎仍未否认“意识上传”这一概念。其声明中反映了Boyden对此问题的思考,包括讨论了为何从死亡组织重新提取“记忆以及其他意识相关信息”是一个“非常有趣的基础科学问题”。


以下是完整声明:


关于麻省理工学院媒体实验室与Nectome关系的声明


关于对Edward Boyden教授及麻省理工学院与Nectome公司关系的疑问,麻省理工学院媒体实验室发表以下声明:麻省理工学院曾与Nectome订立合同并参与NIMH授予Nectome的小型企业基金,帮助Boyden 团队的研究项目将Nectome的化学技术与Boyden团队的发明——扩张显微技术(expansion microscopy)相结合,从而更好地观察小鼠大脑环路达到科研目的。


这样的创新型化学技术如果成功,便能够促进神经障碍药物研发、发展基础神经环路图谱以及为未来健康疾病研究而建立脑库。Boyden教授与Nectome公司没有任何个人牵涉——包括经济、运转以及合约上的关系。


出于该公司商业计划下的科学理论基础,以及公司向公众发出的特定声明,麻省理工学院与Nectome就协议条款达成共识,决定向Nectome提出终止麻省理工学院与Nectome 间的合同。


当前神经科学还未充分发展,不足以明确大脑保存方法是否足够强大以保存与记忆与意识相关的全部生物分子,也不确定能否重建一个人的意识。具体而言:


第一点,目前我们还不清楚具体应当保存哪些种类的生物分子以保持与意识相关的记忆等信息。由于不确定所需分子的确切组合,我们无法说明现有的大脑保存技术是否足以保留所需的全部生物分子细节,进而保存记忆和其他与意识相关的信息。这是一个非常有趣的基础科学问题,也是一个我们希望麻省理工学院能研究的问题,但总而言之,我们需要更进一步的科学。如果有一天,我们能做到测量整个神经环路中足量生物分子的分布与种类,并发现模拟这些足以重建大脑功能,那将妙趣横生且令人振奋。当然目前这一切尚未实现,就像其他任何基础科学问题,我们无法保证一切。


第二点,目前我们无法直接测量或创造意识。有这样的局限,我们该如何确定计算机或电脑模拟是否有意识呢?也许未来某天,我们能基于足够细节的生物分子图谱、用计算机高精确地模拟神经环路。但是现在我们仍不知道即使扩大到人脑规模,这样的计算机模拟会有什么样的“感觉”。我们需要更新的科学、于今日飞跃式的神经科学发展来理解这一点,因此有人认为这是一个无解的问题。


-End-


编辑:陈舒琪 校审:黄珊


登录查看更多
0

相关内容

深入学习的成功来自于三个方面:高效的算法、强大的硬件和大规模的数据集。我们的实验室针对前两个方面,麻省理工学院汉实验室正在寻找有动机的学生在深入学习和计算机架构领域来解决有影响的人工智能问题,具有较轻的模型和较高的计算效率。
AI创新者:破解项目绩效的密码
专知会员服务
35+阅读 · 2020年6月21日
广东疾控中心《新型冠状病毒感染防护》,65页pdf
专知会员服务
19+阅读 · 2020年1月26日
2019必读的十大深度强化学习论文
专知会员服务
59+阅读 · 2020年1月16日
【干货51页PPT】深度学习理论理解探索
专知会员服务
67+阅读 · 2019年12月24日
2019中国硬科技发展白皮书 193页
专知会员服务
86+阅读 · 2019年12月13日
IBM《人工智能白皮书》(2019版),12页PDF,IBM编
专知会员服务
22+阅读 · 2019年11月8日
无人零售的正确打开方式,到底是什么?
黑智
3+阅读 · 2018年1月22日
Music Transformer
Arxiv
5+阅读 · 2018年12月12日
Arxiv
9+阅读 · 2018年10月24日
Arxiv
4+阅读 · 2017年11月14日
VIP会员
Top
微信扫码咨询专知VIP会员