X 光如何看穿你的颈椎、腰椎病

2019 年 5 月 14 日 中科院物理所



-文字稿-


低头玩手机!长时间久坐!你是否每天下班回家,都觉得肩颈僵硬!腰酸背痛!



别再苦苦支撑了!快去医院,照 X 光、扫 CT ,看看你的颈椎、腰椎到底出了什么问题!


人体的脊椎,从上到下共有 33 块骨头,靠椎间盘、肌肉、韧带连接而成,周围还紧紧依附着血管和神经。



健康的脊椎会在颈、胸、腰、骶四处微微弯曲,增强整体韧性,支撑躯干。而长期低头弯腰,很容易造成颈椎、腰椎的曲度变直最终压迫血管或神经。



X 光可以快速看出你的脊椎是直是弯。


这是一台 X 光机,其中最重要的部件是 X 光球管,外壳是熔点高、绝缘强度大的钼组硬质玻璃,内部真空,并分成两极,通电时,电压差可达 150kV。



在阴极的这个位置,装有钨制灯丝,单独接入 6~12V 的低压电,像灯泡一样发光发热并放出高能电子,温度越高,电子越多。




在两极电压差的影响下,电子将从阴极快速撞击在由铼钨合金制成的阳极靶盘上,因为减速,电子损失的动能就会转化成“制动辐射”。



此外,阳极靶盘上的原子,其本身低能级的内层电子会被阴极发出的电子撞飞,这时高能级的外层电子就会往里跃迁,填补空位,损失的能量就会转化成“特征辐射”。



在这里,两种辐射就是 X 光,波长在 0.01~10nm 之间,会从阳极靶盘 6~17.5° 的斜面射到球管外面。



而阳极靶盘在电机驱动下,每分钟可转一万圈,以免电子持续轰击在一点上,损坏盘面。



球管外循环流动着散热油,一起封装在铅制管套内,防止辐射外泄,只留一个窗口放出 X 光。



X 光能穿透人体,但体内不同密度的组织会让 X 光不同程度地衰减,最终投影在探测器上。



其中,低密度的脂肪,因为衰减的少,在 X 光片上偏黑,而高密度的骨骼或其他钙化组织则偏白,在 X 光片上也最明显。




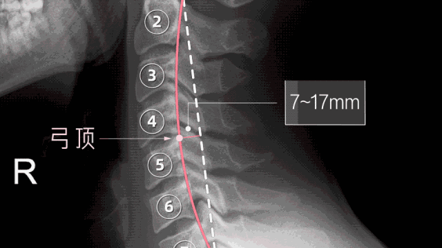
我们先看颈椎,从第二椎体的齿状突上缘至第七椎体下缘连线,画出一个弓形。正常情况下,弓顶在第五椎体上缘,且到连线的距离约 7~17mm 。



距离过小就意味着曲度变直,乃至更严重的反弓。




不论颈椎、腰椎,曲度变直都可能伴随其他病变,比如韧带钙化、骨质增生、椎间隙过窄。



椎间隙过窄,就很可能有椎间盘病变。但椎间盘不是骨骼,在 X 光片上看不到,要想确诊最好再做 CT——计算机断层扫描。



这是一台 CT 机,在扫描架中有一个 X 光球管,对面则是一排探测器。当扫描架绕着人体旋转一圈,X 光也照了一圈,经计算机处理后就能得到截面图。



这个过程看上去简单,但其实需要非常复杂的计算。


当 X 光从一个角度照射人体,只能得到 X 光经过所有组织衰减后的投影,我们无法确定不同组织对 X 光分别衰减了多少,也就无法区分各个组织有多厚以及在哪个位置。



所以用 CT 照完一圈后,只能得到这样一个图像,称为正弦图(Sinogram),横坐标上不同的位置就对应着不同角度获得的投影。

 

   

要想还原正弦图,最直接的方法是反投影。



我们看一个简单的例子。画面上有两个方块,用 X 光从横、竖、斜向照射后会得到三个投影。

     


我们先把横向的投影延伸到整个画面,再叠加上竖向、斜向的反投影,不断叠加其他角度的反投影,就可以大致看到原始的两个方块。



但有个问题,方块周围原本没有东西的区域也被高亮了,一旦反投影复杂图案就会出现光晕,边界模糊,这称为“星状伪迹”。

     


所以在反投影前最好先滤波,简单来说,单个角度的投影可以转化成波形图,代入一个函数使波形图中高峰两侧出现负值的低谷,在反投影时就表现为越亮的区域两侧越暗,这样在多角度反投影后,方块周围就基本不会有星状伪迹。



同样,对于复杂图案,滤波反投影后也能还原出更清晰的边界

  

需要注意,CT 截面重建的核心数学原理是拉东变换和傅里叶切片定理,过程非常曲折。



有了 CT 图像,我们就可以看到椎间盘形态。这是一个正常的椎间盘。


而其他这些 CT 则分别显示椎间盘外围纤维环钙化、左后旁中央型突出、椎间盘膨出压迫椎管。



X 光和 CT 虽然可以快速看穿你的颈椎、腰椎病,但也伴随着辐射。脊椎单次 X 光的辐射剂量可达 1.5mSv ,单次 CT 可达 6mSv。


不过根据国际放射防护委员会的研究,成人单次剂量在 50mSv 以下,在统计上未发现显著的致癌风险。

     


需要注意,身材越胖,X 光衰减也越多,所以为了获取清晰的图像,医生可能会在安全范围内稍微提高剂量,如果你特别担心这点辐射的话,最好还是减肥吧。



来源:回形针PaperClip

编辑:Quanta Yuan


近期热门文章Top10

↓ 点击标题即可查看 ↓

1. 首届黑洞PS大赛来袭!为了这张「高糊」的图,中国科学家做出了啥贡献?

2. 物理学四大神兽,除了“薛定谔的猫”还有谁?

3. 地下多大的金矿才能影响到单摆实验?| No.149

4. 为什么用木棍打衣服就可以洗干净衣服?| No.150

5. 为了替你出气,我们给讨厌的杨柳絮来个「以暴制暴」

6. 玩扫雷还有什么技巧?科学家的玩游戏方法你绝对想不到

7. 在我国,没有任何一张地图能告诉你你的真实位置

8. 在客户鱼嘴里提供服务的小清洁虾、清洁鱼,是怎么知道自己不会被吃掉的呢?

9. 你以为土拨鼠只会尖叫?其实它可能正在骂你

10. 你知道为了测博尔特的速度,我们有多努力嘛?

点此查看以往全部热门文章


登录查看更多
0

相关内容

少标签数据学习,54页ppt
专知会员服务
204+阅读 · 2020年5月22日
 【SIGGRAPH 2020】人像阴影处理,Portrait Shadow Manipulation
专知会员服务
29+阅读 · 2020年5月19日
【2020新书】如何认真写好的代码和软件,318页pdf
专知会员服务
65+阅读 · 2020年3月26日
Python数据分析:过去、现在和未来,52页ppt
专知会员服务
103+阅读 · 2020年3月9日
阿里巴巴达摩院发布「2020十大科技趋势」
专知会员服务
108+阅读 · 2020年1月2日
2019中国硬科技发展白皮书 193页
专知会员服务
86+阅读 · 2019年12月13日
周志华教授:如何做研究与写论文?
专知会员服务
161+阅读 · 2019年10月9日
【新手福利】qPCR分析外泌体RNA如何选参照
外泌体之家
10+阅读 · 2019年11月8日
实战 | 如何制作一个SLAM轨迹真值获取装置?
计算机视觉life
11+阅读 · 2019年10月16日
Science:脂肪细胞外泌体对巨噬细胞发挥调节功能
外泌体之家
19+阅读 · 2019年3月7日
冬日里的一首歌 | 清华快闪女指挥王明媚讲述背后的故事
清华大学研究生教育
59+阅读 · 2019年1月9日
可视化理解四元数,愿你不再掉头发
计算机视觉life
31+阅读 · 2019年1月2日
一杯咖啡背后的拓扑 | 顾险峰
中国物理学会期刊网
7+阅读 · 2018年2月2日
已删除
将门创投
6+阅读 · 2017年7月6日
Attend More Times for Image Captioning
Arxiv
6+阅读 · 2018年12月8日
Arxiv
11+阅读 · 2018年9月28日
Arxiv
24+阅读 · 2017年3月9日
VIP会员
相关VIP内容
少标签数据学习,54页ppt
专知会员服务
204+阅读 · 2020年5月22日
 【SIGGRAPH 2020】人像阴影处理,Portrait Shadow Manipulation
专知会员服务
29+阅读 · 2020年5月19日
【2020新书】如何认真写好的代码和软件,318页pdf
专知会员服务
65+阅读 · 2020年3月26日
Python数据分析:过去、现在和未来,52页ppt
专知会员服务
103+阅读 · 2020年3月9日
阿里巴巴达摩院发布「2020十大科技趋势」
专知会员服务
108+阅读 · 2020年1月2日
2019中国硬科技发展白皮书 193页
专知会员服务
86+阅读 · 2019年12月13日
周志华教授:如何做研究与写论文?
专知会员服务
161+阅读 · 2019年10月9日
相关资讯
【新手福利】qPCR分析外泌体RNA如何选参照
外泌体之家
10+阅读 · 2019年11月8日
实战 | 如何制作一个SLAM轨迹真值获取装置?
计算机视觉life
11+阅读 · 2019年10月16日
Science:脂肪细胞外泌体对巨噬细胞发挥调节功能
外泌体之家
19+阅读 · 2019年3月7日
冬日里的一首歌 | 清华快闪女指挥王明媚讲述背后的故事
清华大学研究生教育
59+阅读 · 2019年1月9日
可视化理解四元数,愿你不再掉头发
计算机视觉life
31+阅读 · 2019年1月2日
一杯咖啡背后的拓扑 | 顾险峰
中国物理学会期刊网
7+阅读 · 2018年2月2日
已删除
将门创投
6+阅读 · 2017年7月6日
Top
微信扫码咨询专知VIP会员