网络游戏成瘾是种病:为了研究课题 我和儿子一起打王者荣耀

2018 年 9 月 2 日 中科院物理所

导读

相信暑假期间,为了小朋友窝在家里打电子游戏的事情,家长们一定不少操心。我自己就是个例子:我儿子今年10岁,9月份开学就要上五年级。他不知道从什么时候开始,迷上了《王者荣耀》、《吃鸡》等网络游戏。


出品 | 新浪科技《科学大家》

撰文 | 雷皓 中国科学院武汉物理与数学研究所 研究员

  

平时上学的时候,每天不说说《王者荣耀》里哪个英雄最厉害、《吃鸡》里面哪款武器威力最大,这一天就似乎白过了。让他做什么事都会反问一句说:“弄完了以后能不能玩一盘?”每逢周末、假期就变本加厉,自己给自己规定一天必须要玩两盘。因为好奇,我自己也曾跟着他玩《王者荣耀》。后来被妈妈严厉批评说:“不带好样,专带儿子打游戏”。这才下死命令规定周一到周五不许碰游戏,周末的两天每天能玩半个小时。

 


为了课题,我开始玩游戏


其实,我自己玩《王者荣耀》并不全是好奇或是觉得这游戏好玩,还有一个重要的原因就是“网络游戏成瘾”是我研究的一个课题。在2010年左右,我们团队与上海精神卫生中心、上海仁济医院合作研究发现:青少年网瘾患者伴随有大脑结构与功能的异常。


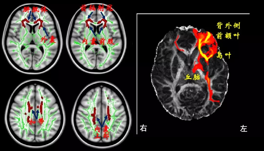
研究选取了35名14~21岁的青少年作为被试,其中有17名青少年有网络(游戏)成瘾的问题。将这35名青少年脑部的磁共振图像进行对比发现:网瘾青少年大脑中一些白质纤维束,包括胼胝体膝部、外囊、内囊、辐射冠、扣带等存在微观结构上的异常。这种白质异常的模式与英国科学家在鸦片依赖患者中看到的结果类似,且左侧外囊异常程度与网瘾严重程度显著相关。


相关研究还发现:网瘾青少年大脑前扣带回等脑区有明显的萎缩现象;一些大脑区域之间的功能连接也存在异常。这也就是说网络(游戏)成瘾不仅仅是不好的行为习惯或心理/精神层面的障碍,还伴随有大脑器质性的异常。


磁共振图像显示网瘾青少年大脑中的一些白质纤维束存在微结构异常(左图,箭头所指的红色区域)。其中,左侧外囊的异常部位是连接背外侧前额叶(DLPFC)、岛叶和丘脑这些脑区间信息交互的重要通道(右图)。网瘾越严重,此处的异常越显著


2010年的时候还没有《王者荣耀》和《吃鸡》。人们玩的网络游戏主要是《魔兽争霸》,还有稍后一点的《英雄联盟》。这类游戏有个共同的专业名称叫做“多人线上竞技场游戏”,用英文字母缩写的话也叫MOBA游戏。


这类游戏的特点就是多名玩家通过网络在线上临时组队,各自扮演不同的英雄角色,然后在一个虚拟的竞技场内按照游戏设定的规则捉对厮杀,直到分出胜负。《魔兽争霸》和《英雄联盟》这两个游戏都是美国出品,需要在台式电脑上玩,还要求电脑有比较高的配置和比较好的显卡。


我没玩过、也不会玩这两个游戏。《王者荣耀》出来后,我像大多数玩家一样发现玩网络游戏原来不需要台式电脑、不需要好显卡、也不需要网线:只要有个手机或iPad,有4G网络,就可以随时随地玩,十分容易也十分方便。


有一次看到儿子在玩,我突然脑洞大开,心想总不能整天说自己是研究网络游戏成瘾的,却什么游戏都不会玩吧?这岂不成了闭门造车、纸上谈兵。何不跟儿子一起玩玩看?一来支持一下国货,二来知道儿子到底在玩什么,三来也可以通过亲自体验加深对MOBA游戏的理解。一石三鸟,何乐而不为!于是,我也正式成为了“农药”的粉丝之一。



为什么那么多人迷恋上玩电子游戏


官方统计数据显示,《王者荣耀》注册用户超过2亿,日在线人数达5000万。网上流传的未经证实的非官方数据称:2017年第一季度《王者荣耀》月平均收入超过30亿,最高日收入达2亿,每天有8000-9000万场对局。


大家不禁要问,这款游戏为什么会有这么多的粉丝?它吸引人之处究竟在哪呢?我个人的观点是:一款电子游戏之所以能吸引人,最重要的原因就是它的设计和制作都充分考虑到了,或者说是利用了,人性的特点。电子游戏让我们在虚拟世界中无所不能,可以体验到许多在现实生活中体验不到的东西。


而这些东西又往往都是我们的大脑、我们的身体和我们的原始本能所喜欢的、所无法抗拒的。下面就来详细谈谈玩电子游戏究竟能给我们带来什么。

  

第一,MOBA游戏一般都有很强烈的视、听觉刺激,让人感觉十分酷炫、十分新奇;有穿越感和带入感的竞技场环境可以让人不由自主地沉浸其中。视听觉刺激对儿童和青少年的诱惑尤其大。少年儿童都喜欢看场面花里胡哨、情节天马行空的动画片;年轻人到了演唱会光怪陆离的现场,都会像变了一个人似的放任自己,大概都是这个道理;

  

第二,电子游戏的规则简单明了,没有什么“潜规则”。在游戏里,一切以“我”为主、我“想怎么打就怎么打”、“爱怎么玩就怎么玩”,不用听别人啰嗦、受别人的约束和限制,这可以极大地满足自我价值感,英文叫ego。大家可能都有体验,棋下得再烂的人都不喜欢别人在自己下棋时指手画脚;打扑克双升时会为了自己是否出了一张臭牌而跟别人争得面红耳赤,甚至掀桌子,这些都是ego在作怪;

  

第三,在电子游戏中,所有的奖赏都是即时的、不需要等待的;你放出一个技能,就能扣对方的血,就可能击倒对手;屏幕上马上就会有显示、还会有声音提示你是击杀了,还是助攻了;击杀对手就会有金币或经验的奖励;有了奖励就能升级装备,增强战力。这一切都来得如此之快、如此之直接,绝不拖泥带水,绝不会有耍赖、不兑现的情况出现。现实世界呢?努力不一定都会有奖励和回报;即使有,绝大多数情况下也是需要等待的;而且在经过漫长、焦虑的等待后还会有不兑现的可能;

  

第四,玩电子游戏是可以试错的。技战术用错了、输了,马上按重新开始键,重新组队再来一盘就好。嫌队友水平差,可以换队友。重新开局后,一切都好像前面的错误没有发生过。所以,游戏世界里试错和输的代价远比现实世界小;更重要的是还没有后遗症;

  

第五,电子游戏玩家可以通过多打比赛或用金钱购买、进阶装备,从而提升战力、战绩和游戏段位,获得玩家嘴中常说的自我满足感和成就感。“好”的游戏设计就是要让玩家们在付出了时间、精力和金钱后一定会获得回报,而且往往是超出其预期的回报,使玩家获得成就感,满足其虚荣心;

 

 

第六,MOBA游戏大多附带社交功能。玩家可以跟朋友一起组队战斗,分享心得和经验;你的朋友圈可以看到你装备水平和段位的高低。你可以嘲笑那些技术烂、战绩差、段位低的朋友。这一点上,游戏的段位有点像LV的包或Prada的鞋,不是生活必需,但可以彰显一个人“阶层”和“身份”。 对于玩家而言,MOBA游戏是其日常社交的一部分。

  

所以,只要你玩游戏,以上这六个“坑”就总会有一款适合你。只需要有一部手机和4G网络,有20-30分钟的闲散或无聊的时间,就可以随时随地玩上一局。从虚拟世界中获得愉悦、奖赏和成就感变得前所未有的容易和廉价。这也就难怪一些人会沉溺其中而不能自拔了。试想,如果我们像摆放共享单车一样在城市和乡村的角角落落都摆上老虎机,人们是不是都会时不时、不由自主地去拉一把碰碰运气呢?


  

有人说小学生是《王者荣耀》的主力军。随后网上有官方调查数据澄清说,该游戏超过80%的用户都是上班族和大学生,不是小学生。不管公布的调查数据如何,我自己的切身体验告诉我这款游戏的未成年玩家可能还真不少,其中就包括我儿子和他的一些同学。虽然绝大多数孩子们离“成瘾”还远得很,但用“非常喜欢”、“着迷”这样的字眼来形容他们也肯定不算为过。


前几天,有机会去了KPL(King Pro League)联赛的现场,发现大部分战队的成员、啦啦队和围观群众都是零零后,九零后都比较少,现场像我这样两鬓花白的“异类”不能说是绝无仅有,但肯定寥寥无几。

 

网络游戏:天使还是魔鬼?


在我眼里,电子游戏、网络游戏并不是洪水猛兽。《贪吃蛇》、《挖地雷》、《俄罗斯方块》、《坦克大战》这些游戏伴随了我们这一代人的成长和记忆。去年暑假期间,武汉中学和湖北省实验中学的几位小同学来我实验室实习。


我看见他们在午休时玩《挖地雷》,这一下子就拉近了我们之间的心理距离。国际上,电子游戏还被用做训练大脑和疾病康复的手段。有科学家让老年人每天在电脑上玩赛车游戏,并发现这样的训练可以提高老人们在某些方面的认知能力。众所周知,现在还有电子游戏竞技比赛。《英雄联盟》和《王者荣耀》都有职业联赛,《英雄联盟》甚至还有世界锦标赛。


  

事情但凡有好的一面,就会有坏的一面。电子游戏可以用于训练大脑、疾病康复和体育比赛,网络游戏会“成瘾”也是不容否认的事实。近年来,媒体中不断出现网络游戏的负面新闻。


2016年网上传出湖北当阳二高的一名学生在网吧连续5天5夜打《英雄联盟》,被队友抢掉一个5杀后躺在了冰冷的地上,再也没有起来。


2017年8月6号解放军报发表了题为《谨防王者荣耀“粘手”》的文章,说目前军营中部分官兵沉迷《王者荣耀》,这对他们的身体健康、军事训练都带来了不良的影响;警示这种现象将危害部队战斗力。社会上形形色色的“戒网瘾学校”也是新闻不断。例如,山东杨永信事件就曾经在媒体上闹得沸沸扬扬。

  

目前,学术界对网络游戏成瘾究竟是不是一种精神疾病还存在一些争议。美国精神病协会2013年正式出版的《精神疾病诊断与统计手册第五版》(DSM-5)中将 “网络游戏成瘾”列为“有待更多研究的情形”。


2018年6月,世界卫生组织(WHO)在第11版《国际疾病分类》(ICD-11)中,将“游戏成瘾”正式列为精神疾病之一(ICD编码6C71)。


WHO给出的“游戏成瘾”包含以下特征:1)对电子游戏自控力低下;2)将玩游戏的优先级至于其他兴趣和日常活动之上;3)在明知有负面后果时,仍会坚持玩游戏;4)以上情况持续12月以上。DSM-5和ICD-11中列入“游戏成瘾”,是基于近年来大量关于网络(游戏)成瘾基础研究的成果,也反应了全球范围内多数精神病学家和相关领域专家学者的共识。


美国精神病协会2013年正式出版的《精神疾病诊断与统计手册第五版》(DSM-5)中将 “网络游戏成瘾”(Internet Gaming Disorder)列为“有待更多研究的情形”


为何未成年玩家爱玩网络游戏


为什么会这样呢?这还要从我们大脑的发育说起。科学研究表明,人的大脑大概要到22-23岁才能完全发育成熟,达到正常成年人的水平。


更加有趣的是,人脑中不同区域发育成熟的时间有早有晚。脑门两侧下方的区域在解剖学上叫背外侧前额叶(DLPFC),负责注意、工作记忆和执行控制等高级认知功能。


这个脑区发育成熟的时间在大脑中是属于较晚的。小学生和初中生的家长们大概都有句口头禅“你怎么老是管不住自己?”殊不知,小孩们管不住自己是正常的,负责管住自己的脑区—DLPFC这时候还没有完全发育成熟呢!

  

那DLPFC跟玩电子游戏又有什么关系呢?有德国科学家在14岁左右青少年中研究发现,跟不经常玩游戏的相比,常玩游戏的其DLPFC区的脑皮层更厚;不常玩游戏的青少年每天玩半个小时,持续两到三个月,这个脑区的体积是增大的。这些结果都可解释为玩游戏锻炼了DLPFC。这些被试既不“上瘾”,也不是职业玩家。


德国科学家研究发现:青少年在两个月内每天玩至少半个小时的《超级玛丽》,其右侧大脑的背外侧前额叶区(DLPFC)和小脑(cerebellum)中的灰质密度会增加,提示这些脑区在玩游戏的过程中得到了锻炼


有趣的是,我们自己最近的一项研究表明:在校大学生在玩《英雄联盟》这款游戏时,其DLPFC大多数时候却是处于一种抑制的状态。这似乎跟德国科学家的研究结果矛盾了。如何解释这个矛盾呢?我们猜想,这可能与游戏种类有关。


在德国科学家的研究中,青少年玩的大多是《超级玛丽》这一类的单人冒险类游戏,而我们研究的《英雄联盟》是多人在线动作类游戏。玩家在不同种类游戏中所采用的策略、进行的游戏操作以及可能得到的奖赏都是不一样的。这可能就决定了DLPFC在游戏中是激活还是抑制,是得到了锻炼还是被“关机”了。


比如,我们发现《英雄联盟》玩家在游戏中击杀对手后DLPFC会出现最为显著的抑制,这可能与玩家那一瞬间正处于一种“杀红眼”的状态有关。


大学生玩家玩《英雄联盟》时大脑的实时功能活动监测结果。跟游戏开始前(左图)相比,游戏开始后双侧背外侧前额叶(DLPFC)中的氧和血红蛋白(HbO2)水平显著下降(中图),提示脑区的功能可能受到了抑制。遇到敌人并进入战斗后有所恢复(右图)


当DLPFC功能受到抑制时,人的理性思考和控制能力就会变弱;相应的,外界刺激的诱惑就会变强。天使与魔鬼交战的天平就会向魔鬼一侧倾斜,从而使我们 “欲罢不能”。


青少年期正是大脑前额叶发育的关键时期。在这个时期,前额叶要学习建立、适应并运用现实世界的各种规则;如果此时沉溺于游戏,大脑尤其是DLPFC就可能按照虚拟世界的规则来进行塑造,这会为其之后的学习和生活产生带来很多负面的影响。


正确地玩游戏,玩“正确”的游戏


去年,我去汉阳三中做了场关于网络(游戏)成瘾的科普报告。在出校门的路上,一位同学拦住我,对我说:“老师,我觉得您讲得不对!我们青少年玩游戏并不是玩物丧志!我从来就不用钱买装备,我只是想通过不断的练习来提高自己的技能,从而取得更好的战绩,晋升更高的段位,从而获得一种成就感。我们在学校里努力学习不也是这个道理吗?有什么不对吗?”


我在那一瞬间还真没有什么合适的话来回应他。想了片刻,我对他说:“你觉得虚拟世界的成就感跟现实世界的成就感相比,哪一个需要你付出更多的汗水和努力呢?”


他大概一时间没有明白我的意思。我接着问他:“不花钱买装备的话,你玩游戏从最低的菜鸟级别打到令身边大多数人会对你刮目相看的高级别需要多长时间?”


他一时也说不上来。这个其实我自己也不知道。我只知道我自己玩《王者荣耀》时,没花一分钱买装备,每天就玩2-3局,大概只花了几个月的时间就达到了所谓的荣耀黄金1级。


我看他不说话,接着说:“我们来算算看,从小学算起,我一共上了20年的学,之后又工作了快20年;今天才有资格、有机会到你们学校来做这个科普报告。你说是打到钻石级别容易,还是做场科普报告容易?哪个会更有成就感?”


他表面上似乎被我说服了。但从表情上看,我知道他心里并没有。毕竟,他的DLPFC还没有发育到我的水平,不能指望他能完全理解我的话的含义。


大脑中产生冲动和抑制冲动的脑区(左图)。青春期前后的一段时间内,产生冲动的脑区其发育成熟度要大于抑制冲动的脑区(右图)。处于这个年龄段的青少年往往难以控制冲动、冒险、反叛等行为,并忽视这些行为可能对自己带来的危险


青少年不是完全不能玩电子游戏,要警惕的是沉溺于游戏。千万不能因为玩游戏而影响到正常的学习和生活,对身体和大脑的发育带来负面影响。


一项来自西班牙的研究发现:小学生一周玩一小时电子游戏不仅没有害处,反而有助于提高手眼反应能力和在学校的行为表现;但如果每周玩电子游戏超过5-6个小时,就会带来负面影响。除了控制玩游戏时间的长短、做到定时定量以外,家长们还能做的就是成为孩子们的玩伴,陪他们一起玩。


陪孩子玩游戏可以增进跟他们之间的沟通与交流;也只有在成为他的玩伴或队友时,家长才有可能了解自己孩子玩网络游戏的动机、心理及感受,才有可能正确引导孩子分清楚虚拟世界和现实世界。


此外,多带孩子参加一些课外活动,培养孩子除游戏以外的兴趣爱好,也很有帮助。 最后,还有一条我个人觉得非常重要,就是不能把“玩游戏”当做让孩子写作业、干家务的奖励和砝码。这样做往往会适得其反,让孩子为了获得玩游戏的机会而“被利诱”或“屈服”,增加他们对游戏的渴望。

  

来源:新浪探索

编辑:Aprilis


近期热门文章Top10

↓ 点击标题即可查看 ↓

1. 正版印度神药为何这么贵?研究半世纪,两夺世界第一,出了五位顶级医学奖

2. 吃瓜时节,我们用公式计算告诉你,如何科学地挑选西瓜!

3. 一个64G的手机,装满文件后会变重吗?| No.114

4. 为什么三体不稳定,我们的太阳系如此稳定?

5. 世界杯伪球迷实用装 X 指南

6. 为什么空调吹出的风有一股“空调味”?| No.111

7. 火星上真的有水!“火星快车”探测到直径20千米的液态水湖泊

8. 这道像是奥数题的“填色问题”,至今无人能解决

9. 为什么奥利奥扭开以后,夹心总是粘在其中一面上?

10. 隐藏在这幅画中的17个物理世界

点此查看以往全部热门文章


登录查看更多
0

相关内容

王者荣耀 是由腾讯游戏开发并运行的一款运营在Android、IOS平台上的MOBA类端游,于2015年11月26号在Android、IOS平台上正式公测,游戏前期使用名称有《英雄战迹》、《王者联盟》。
游戏是类dota手游,游戏中的玩法以竞技对战为主,玩家之间进行1V1、3V3、3V5等多种方式的PVP对战,还可以参加游戏的冒险模式,进行PVE的闯关模式,在满足条件后可以参加游戏的年度排位赛等。

王者荣耀官方网站
还在修改博士论文?这份《博士论文写作技巧》为你指南
【ICML2020-哈佛】深度语言表示中可分流形
专知会员服务
13+阅读 · 2020年6月2日
专知会员服务
29+阅读 · 2020年3月6日
广东疾控中心《新型冠状病毒感染防护》,65页pdf
专知会员服务
19+阅读 · 2020年1月26日
吴恩达“官宣”荣升准爸爸~
AI100
4+阅读 · 2019年1月18日
AI情绪识别技术背后:一场悄然来袭的“暴政”
大数据文摘
7+阅读 · 2018年10月11日
盘点2017年度AI领域大事件
大数据文摘
5+阅读 · 2017年12月9日
人工神经网络是否模拟了人类大脑?
数说工作室
10+阅读 · 2017年7月19日
嘿,这是本应属于你的“红包”!
腾讯
3+阅读 · 2017年7月13日
谈谈王者荣耀
小道消息
4+阅读 · 2017年7月6日
Arxiv
21+阅读 · 2019年8月21日
Arxiv
6+阅读 · 2018年7月9日
Arxiv
3+阅读 · 2017年11月21日
VIP会员
相关资讯
吴恩达“官宣”荣升准爸爸~
AI100
4+阅读 · 2019年1月18日
AI情绪识别技术背后:一场悄然来袭的“暴政”
大数据文摘
7+阅读 · 2018年10月11日
盘点2017年度AI领域大事件
大数据文摘
5+阅读 · 2017年12月9日
人工神经网络是否模拟了人类大脑?
数说工作室
10+阅读 · 2017年7月19日
嘿,这是本应属于你的“红包”!
腾讯
3+阅读 · 2017年7月13日
谈谈王者荣耀
小道消息
4+阅读 · 2017年7月6日
Top
微信扫码咨询专知VIP会员