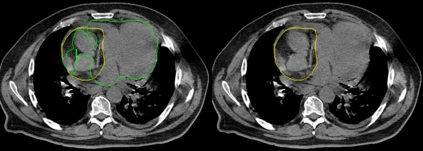
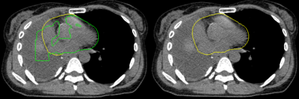
Organ-at-risk contouring is still a bottleneck in radiotherapy, with many deep learning methods falling short of promised results when evaluated on clinical data. We investigate the accuracy and time-savings resulting from the use of an interactive-machine-learning method for an organ-at-risk contouring task. We compare the method to the Eclipse contouring software and find strong agreement with manual delineations, with a dice score of 0.95. The annotations created using corrective-annotation also take less time to create as more images are annotated, resulting in substantial time savings compared to manual methods, with hearts that take 2 minutes and 2 seconds to delineate on average, after 923 images have been delineated, compared to 7 minutes and 1 seconds when delineating manually. Our experiment demonstrates that interactive-machine-learning with corrective-annotation provides a fast and accessible way for non computer-scientists to train deep-learning models to segment their own structures of interest as part of routine clinical workflows. Source code is available at \href{https://github.com/Abe404/RootPainter3D}{this HTTPS URL}.


翻译:在对临床数据进行评估时,许多深层次的学习方法都未能达到所承诺的结果。我们调查了使用交互式机械学习方法进行器官与风险同流工作所产生的准确性和节省时间的情况。我们将这种方法与剪贴胶合软件进行比较,并找到与手动划界的强烈一致,其分数为0.95。 使用纠正性注释制作的说明也花费较少的时间来制作图像,因为更多的图像有附加说明,因此与人工方法相比节省了大量时间,而心脏平均需要2分2秒的时间,在923个图像被标定后,平均需要2分2分2秒的时间来划定,而手动脱线时则需要7分钟和1秒。我们的实验表明,交互式机械学习与矫正性注解为非计算机科学家提供了一个快速和方便的途径,以训练深层次学习模型,将自身感兴趣的结构分成日常临床工作流程的一部分。源代码可在以下https://github.com/Abe04/RoootPAinter3}。

0
下载
关闭预览

相关内容

超文本传输安全协议是超文本传输协议和 SSL/TLS 的组合,用以提供加密通讯及对网络服务器身份的鉴定。
【干货书】真实机器学习,264页pdf,Real-World Machine Learning
专知会员服务
119+阅读 · 2019年12月24日
Keras François Chollet 《Deep Learning with Python 》, 386页pdf
专知会员服务
163+阅读 · 2019年10月12日
【新书】Python编程基础,669页pdf
专知会员服务
197+阅读 · 2019年10月10日
机器学习在材料科学中的应用综述,21页pdf
专知会员服务
50+阅读 · 2019年9月24日
【CMU】机器学习导论课程(Introduction to Machine Learning)
专知会员服务
61+阅读 · 2019年8月26日
Unsupervised Learning via Meta-Learning
CreateAMind
43+阅读 · 2019年1月3日
A Technical Overview of AI & ML in 2018 & Trends for 2019
待字闺中
18+阅读 · 2018年12月24日
Python机器学习教程资料/代码
机器学习研究会
8+阅读 · 2018年2月22日
【推荐】Python机器学习生态圈(Scikit-Learn相关项目)
机器学习研究会
6+阅读 · 2017年8月23日
Deep Learning & Neural Network 免费学习资源【译】
乐享数据DataScientists
5+阅读 · 2017年8月20日
【推荐】TensorFlow手把手CNN实践指南
机器学习研究会
5+阅读 · 2017年8月17日
Andrew NG的新书《Machine Learning Yearning》
我爱机器学习
11+阅读 · 2016年12月7日
Arxiv
0+阅读 · 2021年8月22日
Arxiv
26+阅读 · 2019年11月24日
Techniques for Automated Machine Learning
Arxiv
4+阅读 · 2019年7月21日
Arxiv
6+阅读 · 2018年6月21日
Arxiv
6+阅读 · 2018年2月26日
Arxiv
5+阅读 · 2018年1月23日
VIP会员
相关VIP内容
【干货书】真实机器学习,264页pdf,Real-World Machine Learning
专知会员服务
119+阅读 · 2019年12月24日
Keras François Chollet 《Deep Learning with Python 》, 386页pdf
专知会员服务
163+阅读 · 2019年10月12日
【新书】Python编程基础,669页pdf
专知会员服务
197+阅读 · 2019年10月10日
机器学习在材料科学中的应用综述,21页pdf
专知会员服务
50+阅读 · 2019年9月24日
【CMU】机器学习导论课程(Introduction to Machine Learning)
专知会员服务
61+阅读 · 2019年8月26日
相关资讯
Unsupervised Learning via Meta-Learning
CreateAMind
43+阅读 · 2019年1月3日
A Technical Overview of AI & ML in 2018 & Trends for 2019
待字闺中
18+阅读 · 2018年12月24日
Python机器学习教程资料/代码
机器学习研究会
8+阅读 · 2018年2月22日
【推荐】Python机器学习生态圈(Scikit-Learn相关项目)
机器学习研究会
6+阅读 · 2017年8月23日
Deep Learning & Neural Network 免费学习资源【译】
乐享数据DataScientists
5+阅读 · 2017年8月20日
【推荐】TensorFlow手把手CNN实践指南
机器学习研究会
5+阅读 · 2017年8月17日
Andrew NG的新书《Machine Learning Yearning》
我爱机器学习
11+阅读 · 2016年12月7日
相关论文
Arxiv
0+阅读 · 2021年8月22日
Arxiv
26+阅读 · 2019年11月24日
Techniques for Automated Machine Learning
Arxiv
4+阅读 · 2019年7月21日
Arxiv
6+阅读 · 2018年6月21日
Arxiv
6+阅读 · 2018年2月26日
Arxiv
5+阅读 · 2018年1月23日
Top
微信扫码咨询专知VIP会员