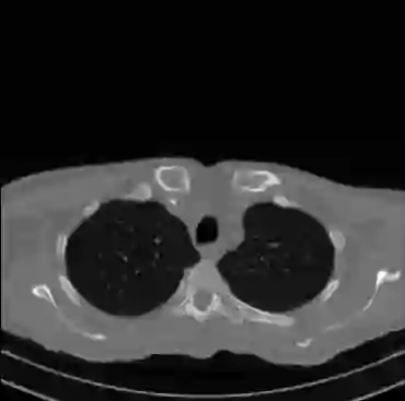
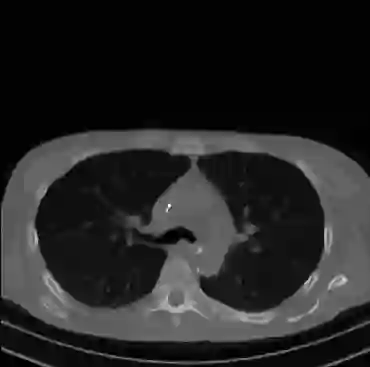
Early and reliable COVID-19 diagnosis based on chest 3-D CT scans can assist medical specialists in vital circumstances. Deep learning methodologies constitute a main approach for chest CT scan analysis and disease prediction. However, large annotated databases are necessary for developing deep learning models that are able to provide COVID-19 diagnosis across various medical environments in different countries. Due to privacy issues, publicly available COVID-19 CT datasets are highly difficult to obtain, which hinders the research and development of AI-enabled diagnosis methods of COVID-19 based on CT scans. In this paper we present the COV19-CT-DB database which is annotated for COVID-19, consisting of about 5,000 3-D CT scans, We have split the database in training, validation and test datasets. The former two datasets can be used for training and validation of machine learning models, while the latter will be used for evaluation of the developed models. We also present a deep learning approach, based on a CNN-RNN network and report its performance on the COVID19-CT-DB database.


翻译:根据胸前3-DCT扫描进行的早期和可靠的COVID-19诊断,可以在重要情况下帮助医疗专家。深层学习方法是胸部CT扫描分析和疾病预测的主要方法。然而,开发能够在不同的国家的不同医疗环境中提供COVID-19诊断的深层学习模型,需要大量附加说明的数据库。由于隐私问题,公开提供的COVID-19CT数据集非常难以获得,这阻碍了基于CT扫描的COVID-19人工诊断方法的研究和开发。本文我们介绍了COV19-CT-DB数据库,该数据库是COVID-19附加说明的,由大约5,000个3-DCT扫描组成。我们在培训、验证和测试数据集方面将数据库分开使用。前两个数据集可用于对机器学习模型进行培训和验证,而后者将用于对已开发模型进行评估。我们还根据CNN-RNN网络介绍了一种深层次学习方法,并在COVID19-CTDD数据库上报告其业绩。

0
下载
关闭预览

相关内容

[综述]深度学习下的场景文本检测与识别
专知会员服务
78+阅读 · 2019年10月10日
【SIGGRAPH2019】TensorFlow 2.0深度学习计算机图形学应用
专知会员服务
41+阅读 · 2019年10月9日
IEEE | DSC 2019诚邀稿件 (EI检索)
Call4Papers
10+阅读 · 2019年2月25日
人工智能 | CCF推荐期刊专刊约稿信息6条
Call4Papers
5+阅读 · 2019年2月18日
已删除
将门创投
4+阅读 · 2017年12月12日
计算机视觉近一年进展综述
机器学习研究会
9+阅读 · 2017年11月25日
深度学习医学图像分析文献集
机器学习研究会
19+阅读 · 2017年10月13日
Few-shot Scene-adaptive Anomaly Detection
Arxiv
8+阅读 · 2020年7月15日
Deep Learning for Deepfakes Creation and Detection
Arxiv
6+阅读 · 2019年9月25日
Augmentation for small object detection
Arxiv
13+阅读 · 2019年2月19日
VIP会员
相关资讯
IEEE | DSC 2019诚邀稿件 (EI检索)
Call4Papers
10+阅读 · 2019年2月25日
人工智能 | CCF推荐期刊专刊约稿信息6条
Call4Papers
5+阅读 · 2019年2月18日
已删除
将门创投
4+阅读 · 2017年12月12日
计算机视觉近一年进展综述
机器学习研究会
9+阅读 · 2017年11月25日
深度学习医学图像分析文献集
机器学习研究会
19+阅读 · 2017年10月13日
Top
微信扫码咨询专知VIP会员