3D成像揭示:胎儿在出生时如何改变头部形状

2019 年 5 月 22 日 中国生物技术网

| 原创编译,转载须注明来源!

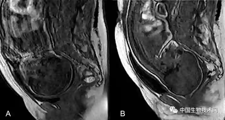
胎头成型和第二产程期间的头部形状变化 图片来源:《PLOS ONE》

近日,法国克莱蒙奥弗涅大学的研究人员利用三维磁共振成像(MRI)技术,拍摄了显示胎儿大脑和头骨在分娩前通过产道时如何改变形状的三维图像。该研究结果近日已发表在《PLOS ONE》上。

众所周知,胎儿头部在出生时是会发生形状改变的,这些变化被称为“胎头成型”,发生在分娩的第二阶段(第二产程)——当胎儿离开子宫通过产道时经历这些变化。然而,研究人员对胎头成型的细节仍知之甚少,只有一项先前的研究曾捕捉到这一过程的图像。

在这项新研究中,为了证明和描述胎头成型和分娩过程中大脑形状的变化,Olivier Ami博士领导的研究团队使用三维MRI捕捉了7名胎儿在分娩前和第二产程中头骨和大脑的详细图像。该分析揭示了所有7名胎儿在第二产程都有胎头成型,其中颅骨的不同部位存在不同程度地重叠。其中5名新生儿的头骨和大脑形状恢复到出生前的状态,但另外2名新生儿的头骨和大脑形状仍在变化。胎头成型程度最高的三名新生儿中有两名是通过紧急剖腹产手术分娩的,另一个是通过阴道分娩的。

图片来源:《PLOS ONE》

总的来说,该研究结果表明,胎儿在出生时承受的颅骨压力比之前所认为的要大,这可能是许多顺产新生儿出现无症状性脑出血和视网膜出血的潜在原因。

作者指出,还需要进行更大规模的研究以确认他们的发现,但这项工作证明了3D扫描技术在捕获胎头成型方面的价值。

Ami补充道:“在阴道分娩的过程中,胎儿的大脑形状会根据颅骨重叠的程度发生不同程度的变形。大多数新生儿出生后颅骨成型不再明显。有些头骨顺应变形以便于分娩,而另一些头骨不容易顺应变形。”

中国生物技术网诚邀生物领域科学家在我们的平台上,发表和介绍国内外原创的科研成果。


注:国内为原创研究成果或评论、综述,国际为在线发表一个月内的最新成果或综述,字数500字以上,并请提供至少一张图片。投稿者,请将文章发送至weixin@im.ac.cn


本公众号由中国科学院微生物研究所信息中心承办

微信公众号:中国生物技术网

回复关键词热点”可阅读热点专题文章,包括“施一公”、“肠道菌群”、“肿瘤”、“免疫”和“健康”

近期热文

直接点击文字即可浏览!

1、补牙或将成为历史?

2、科学你慢慢学,中医我先治病去了

3、科学告诉你应该多久洗一次澡

4、新证据:喝咖啡能延长寿命!

5、据说,这是生物医学硕士博士生的真实的生活写照
6、一顿早餐到底有多重要?
7、情商也是把双刃剑!高情商或让你更脆弱
8、施一公:压死骆驼的最后一根稻草,是鼓励科学家创业!
9、“科学禁食法”真能降低重大疾病风险
10、睡眠科学家揭示出8种睡好觉的秘诀

11、有志者事竟成!2型糖尿病成功被逆转

12、每周两半小时,任何形式的锻炼都可以使你更长寿

13、喝醉以后,你以为睡一觉就没事儿了?!

14、仰卧起坐等或将成为延寿运动?

15、冥想、瑜伽、太极等不仅能够改善身心健康...



登录查看更多
0

相关内容

专知会员服务
147+阅读 · 2020年6月15日
专知会员服务
126+阅读 · 2020年6月12日
德勤:2020技术趋势报告,120页pdf
专知会员服务
192+阅读 · 2020年3月31日
专知会员服务
29+阅读 · 2020年3月6日
浅谈外泌体抑制剂——鞘磷脂酶抑制剂GW4869
外泌体之家
8+阅读 · 2018年12月19日
外泌体相比干细胞的优势是什么?
外泌体之家
43+阅读 · 2018年11月15日
微表情检测和识别的研究进展与趋势
中国计算机学会
15+阅读 · 2018年3月23日
干细胞外泌体的市场分析
外泌体之家
8+阅读 · 2017年12月19日
心理学与脑科学:进展、思考和展望
科技导报
9+阅读 · 2017年10月27日
3D Deep Learning on Medical Images: A Review
Arxiv
13+阅读 · 2020年4月1日
Mesh R-CNN
Arxiv
4+阅读 · 2019年6月6日
Arxiv
5+阅读 · 2018年4月13日
VIP会员
相关VIP内容
Top
微信扫码咨询专知VIP会员