浙江大学医学院Theranostics杂志发表综述:外泌体在生物学和转化医学中的治疗诊断作用

2018 年 1 月 4 日 外泌体之家 土豆


近日,来自浙江大学医学院的王本、骆严课题组在Theranostics杂志上发表综述,阐述了外泌体形成和摄取的基本过程,以及阐述了外泌体在生物学中的生理学和病理学作用,并重点说明如何将外泌体改造成为转化医学中的有力工具。

外泌体是由胞吐作用释放到细胞外的纳米级细胞外脂质双层囊泡,它们几乎会由所有的细胞类型在各种生理和病理条件下分泌。最初的研究认为外泌体是细胞处理的不需要的细胞成分。现在研究认为,它们通过细胞间转移核酸、蛋白质、脂质的特定物质,能够调节细胞中的蛋白质和脂质的胞内稳态。通过传递这些物质,外泌体可以调节靶细胞的性质,可能是有益作用或有害作用。外泌体调控许多基本的生理过程,如神经元通信、抗原呈递、免疫反应、器官发育和生殖过程。外泌体还参与一些病理的调控,包括癌症进展、心血管疾病、炎症、神经退行性疾病,以及病毒感染和朊病毒传播。

外泌体分泌是自然发生的,并且细胞应激和激活信号也可以调节外泌体的分泌过程。外泌体可以在多种类型的细胞外体液中发现,例如血液、尿、羊水、唾液、脑脊液甚至母乳。外泌体大小和货物的异质性反映了起源细胞的状态和类型。因此,外泌体可以用作疾病诊断甚至胎儿性别测定的生物标志物。由于外泌体上的表面结合蛋白质来源于其来源细胞的质膜,所以由抗原呈递细胞(APC)、树突细胞(DC)和肿瘤细胞释放的外泌体将有希望用于疫苗的开发。此外,外泌体具有双层膜和纳米尺寸的大小,可以保护外泌体免受清除或巨噬细胞杀伤,从而延长其循环半衰期并改善其生物活性。因此,外泌体可以用作疾病治疗药物的递送囊泡。此外,外泌体工程——将这些纳米级胞外脂质双层囊泡进行化学或生物学修饰,可以提供增强或拓宽外泌体的固有治疗能力。

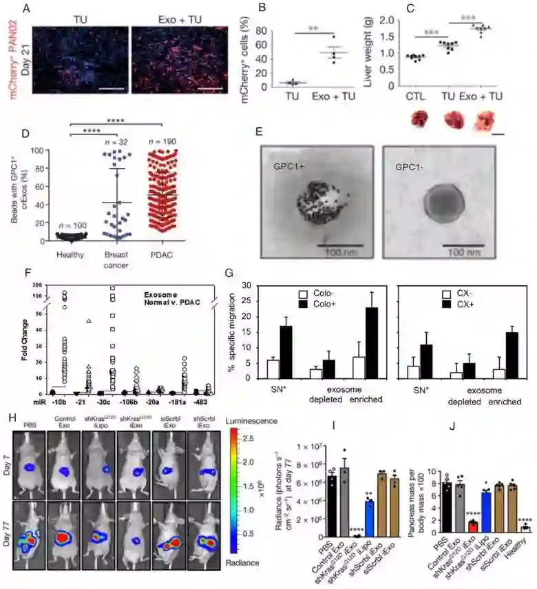
图:外泌体在胰腺癌中的治疗诊断作用

 

参考文献:He C, Zheng S, Luo Y, Wang B. (2018) Exosome Theranostics: Biology and Translational Medicine. Theranostics 8(1):237-255.




科研学习班推荐 (点击详细了解)

       TCGA、GEO及SEER公共数据库挖掘与应用学习会

       第十八期CRISPR/Cas9基因靶向修饰技术学习班


点击这里加入外泌体之家微信群(科研群、产品研发群)、QQ群


登录查看更多
0

相关内容

浙江大学,简称浙大,坐落于素有“人间天堂”美誉的历史文化名城杭州。前身是1897年创建的求是书院,是中国人自己最早创办的现代高等学府之一,是一所具有悠久历史的教育部直属全国重点大学,985、211工程重点建设高校。据ESI公布的数据,截至2015年9月,浙江大学18个学科进入世界学术机构前1%,居全国高校第二;7个学科进入世界前100位,4个学科进入世界前50位,居全国高校第一。
临床自然语言处理中的嵌入综述,SECNLP: A survey of embeddings
专知会员服务
29+阅读 · 2020年3月6日
【学科交叉】抗生素发现的深度学习方法
专知会员服务
25+阅读 · 2020年2月23日
Nature 一周论文导读 | 2019 年 8 月 1 日
科研圈
8+阅读 · 2019年8月11日
【2019-26期】This Week in Extracellular Vesicles
外泌体之家
11+阅读 · 2019年6月28日
Science:脂肪细胞外泌体对巨噬细胞发挥调节功能
外泌体之家
19+阅读 · 2019年3月7日
浅谈外泌体抑制剂——鞘磷脂酶抑制剂GW4869
外泌体之家
8+阅读 · 2018年12月19日
外泌体相比干细胞的优势是什么?
外泌体之家
43+阅读 · 2018年11月15日
国内外泌体领域进展总结(2018年8月)
外泌体之家
12+阅读 · 2018年9月6日
Hardness-Aware Deep Metric Learning
Arxiv
6+阅读 · 2019年3月13日
VIP会员
Top
微信扫码咨询专知VIP会员