清华、协和等单位开发乳腺癌AI诊断工具,可准确识别恶性肿瘤,并进行分子分型

2020 年 6 月 22 日 学术头条


乳腺癌是全世界女性中最常见的癌症,也是导致人类死亡的第二大癌种。高发病率、高致死率的乳腺癌虽然可怕,但如果能够做到及早发现、并按照最佳实践进行治疗,则有望大大改善存活率。

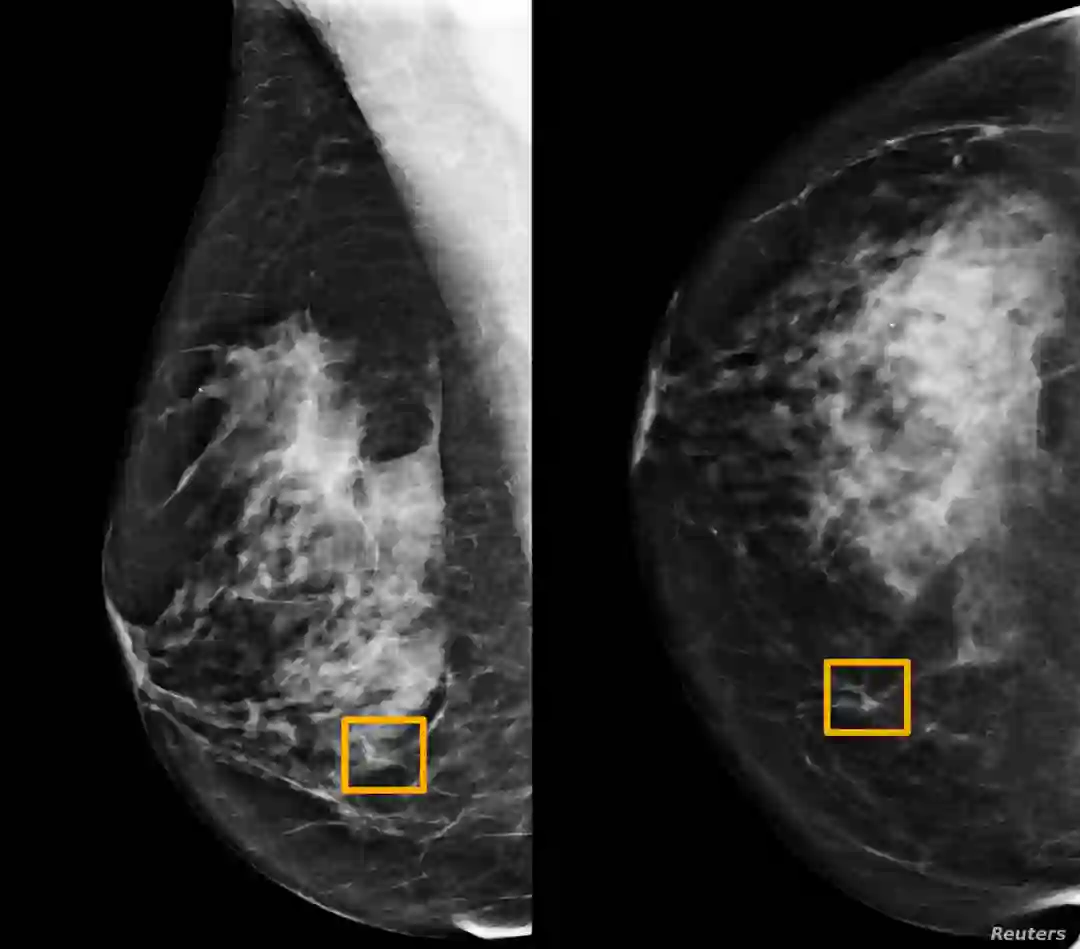
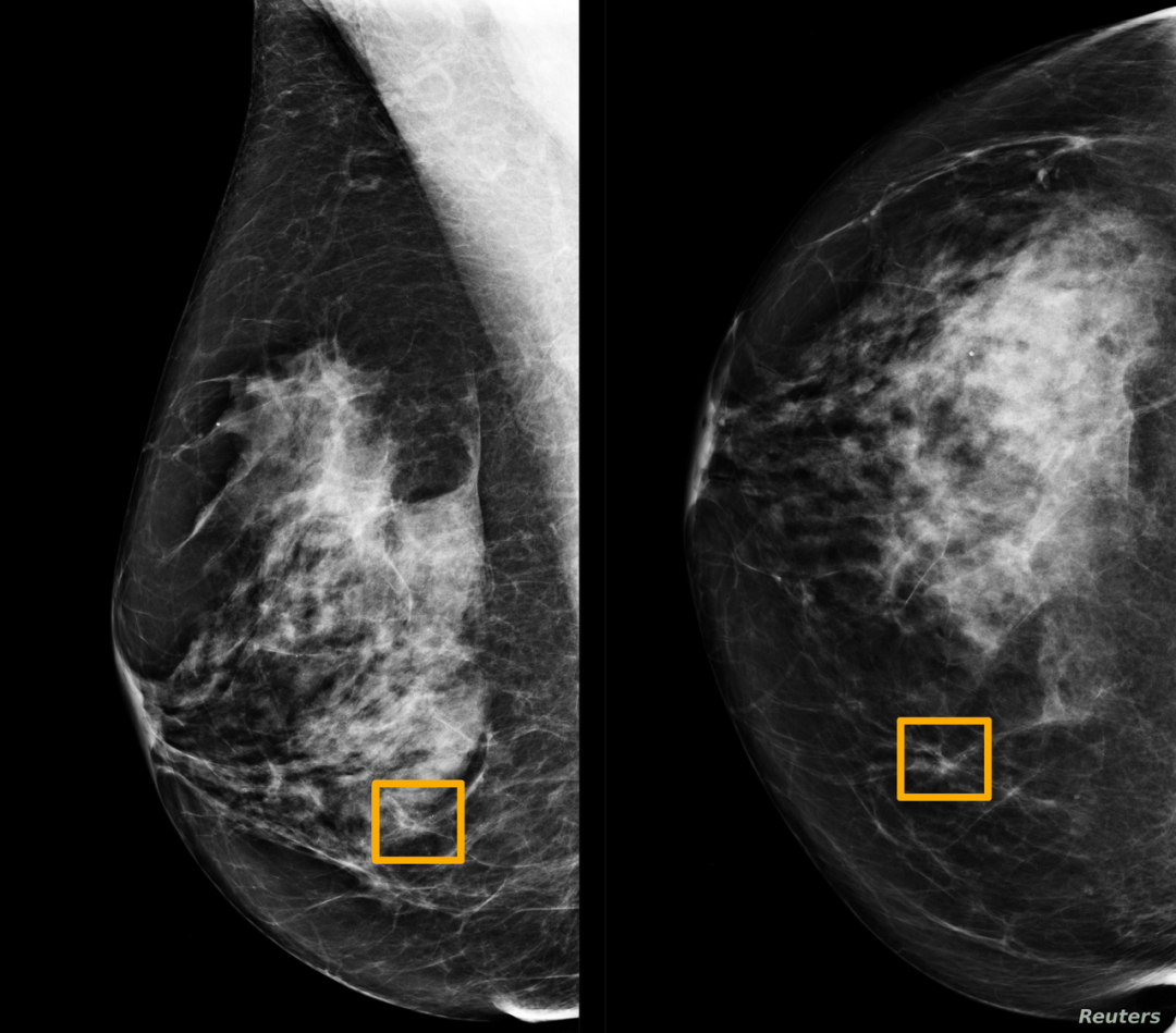
目前,超声等医学影像是乳腺癌筛查和诊断的主要手段,在乳腺癌的评估中起着至关重要的作用。但由于医疗资源等问题,全球约三分之二的人口仍无法获得放射学诊断信息。

近年来,随着人工智能技术的发展,越来越多的人工智能算法应用于医学图像领域,并深刻地改变了医学影像的发展,从一开始仅仅提供诊断信息,到引领个性化精准医疗的实现。

在 6 月 21 日举办的 2020 北京智源大会开幕上,智源研究院院长黄铁军介绍到,
清华大学、北京智源人工智能研究院、协和医院和首都医科大学的研究团队近日推出一项名为 SonoBreast 的研究成果,提出了一个经过监督学习预训练的、基于图像块的卷积神经网络分类器,可以利用超声波图像进行乳腺癌诊断筛查。



该工具包中包括一个恶性预测工具和一个分子亚型分析工具,可以进行乳腺癌的分子分型以及恶性肿瘤识别。具体而言,该模型在乳腺癌分子分型的准确率达到 56.3%,F1 Score 是 45.8%。

此研究项目由清华大学知识工程研究室(KEG)、北京智源人工智能研究院(BAAI)研究团队与北京协和医院专业医生共同开发,研究使用的数据集由北京协和医院提供。目前,该AI筛查工具已经上线。

学术君对该项目参与者、清华大学毕明杰(Alex)和张晨晖博士进行了采访,他们表示, SonoBreast 研究项目旨在开发一种工具包,利用超声波图像进行乳腺癌诊断筛查。借助 SonoBreast 恶性病变诊断系统,,配合与之相适应的硬件,力求实现在世界各地缺少熟练放射科医生和超声图像检查师的情况下进行早期乳腺癌诊断。

另外,乳腺癌的治疗方法会根据癌灶分子亚型的不同(Luminal A、Luminal B、HER-2阳性和三阴性)而有着非常显著的变化,因此,借助 SonoBreast 进行乳腺癌分子亚型的分析,有望提高患者治疗效果并减少有创活检的次数。


乳腺癌阻击战

乳腺癌具有高并发率和高死亡率的特点,严重威胁着全球女性的健康。

根据世界卫生组织(WHO)的报告,2018 年全球共有209 万乳腺癌病例,其中62.7万为死亡病例。乳腺癌已经成为全世界女性最常见的恶性肿瘤以及第二大癌症死因。

根据美国癌症协会的数据,1989 年至2016 年间,乳腺癌的死亡率已经降低了40%。2007 年以来,50 岁以下女性的死亡率并没有显著下降,但50 岁以上女性的死亡率仍在继续下降。




这些进展要归功于更好的治疗方法以及乳腺癌的早期诊断。

其中乳腺癌的早期诊断来自人们意识的提高和新型的筛查技术,而治疗方案需要根据乳腺癌的分子分型确定。乳腺癌的分子分型分为 Luminal A 型,Lunimal B 型,HER-2  过表达型和三阴型四种。目前,乳腺癌的分子分型需要通过穿刺活检来确定。但是,这种手术是侵入性的,具有一定风险,并且可能存在假阴性。

乳腺癌常见的影像学诊断方法有乳腺摄影、超声、磁共振成像、核医学技术等,其中,超声检查的应用最为广泛,尤其在亚洲国家地区。与其他筛查技术相比,超声检查具有非电离辐射、无创性、高敏感性、便携性、可及性和成本等优势,当然,超声检查由于噪声和伪影的存在,其图像质量也往往较低。

近年来,人工智能在医学影像识别方面取得了巨大的进步。在健康领域,神经网络具有非凡的能力,深度学习算法能够识别医学图像的特征并学习如何对它们进行分类。

可以确定的是,为医生提供辅助诊断的计算机系统,将在医学图像识别领域扮演着重要的角色。这是因为,重大疾病的筛检,不仅是医疗护理的早期阶段,甚至能够实现疾病的早期预防,而计算机辅助系统可以帮助医生评估和发现异常的医疗图像。



张晨晖博士在接受学术君采访时表示 ,“ 乳腺癌分子分型对病人的临床决策有重要意义。 目前确定分子分型的方法只能通过穿刺活检,该方法的缺点主要有:穿刺活检具有创伤性;如果肿瘤的异质性比较强,活检样本不具有代表性;与超声检查相比,穿刺活检的成本相对较高。”

“影像组学(Radiomics)是一种通过抽取大量医学影像特征分析肿瘤基因分型的方法,具有安全无创的特点,并且可以解决肿瘤异质性难以采集的问题。影像组学通常使用传统的图像特征提取方法, 我们提出利用深度学习技术自动提取和乳腺癌分子分型相关的影像特征,提高使用影像组学方法识别分子分型的准确率 。”

输入一张超声图像,输出一个分子分型结果

在 SonoBreast 研究项目中,研究人员尝试应用机器学习技术对乳腺癌的超声图像进行分型。具体而言,研究人员创建了一个分类器模型,以一组乳腺癌变的超声图像为输入,输出给定图像的乳腺癌分子亚型的概率分布。

以为类似的研究主要集中在乳腺病变的恶性肿瘤预测方面,研究人员认为,放射科超声提取的特征与乳腺癌分子亚型的类型相关,而乳腺癌分子亚型的诊断,对于疾病治疗和预后都有主要意义,因此,该分类器模型旨在重点实现通过乳腺癌病变的超声图像判断乳腺癌的分子分型。

研究人员表示,SonoBreast 项目是他们和北京协和医院超声医学科朱庆莉教授的团队一起合作的。


“在合作过程中,朱教授的团队提供了 1000 多例乳腺癌病例,包括 7000 多张乳腺癌超声影像,并对分子分型进行了标注。我们主要负责模型的设计和实现,并在朱教授团队提供的数据上训练和测试。我们和朱教授的团队共同分析实验结果,讨论改进方向。其中朱教授团队根据他们在超声图像处理、乳腺癌超声诊断等方面的领域知识和经验,为我们提供了专业的建议。”




恶性预测 :该工具可预测乳房病变是恶性还是良性。对于患者病变的给定超声图像,提供病变的恶性诊断以及置信度(恶性概率)。

分子亚型 :该工具可预测乳癌性病变的分子亚型。对于患者病变的一组给定的超声图像(至少一个图像),将提供病变的预测分子亚型诊断以及置信度(每个亚型的概率)。


该项目提出了一个经过监督学习预训练的,基于图像块的卷积神经网络分类器。在训练过程中,模型采用期望最大化(Expectation Maximization, EM)方法选取用于训练的图像块。预测过程中,每个图像块的预测结果通过一个注意力网络得到每个图片的预测;每个病例的预测结果进一步由病例中所有图片的预测结果通过整流网络得到。整流网络可以得到无偏的输出,并且能够调整先验概率。

目前,研究团队已经发布了 web 应用程序,允许病人和医生使用该预测模型上传超声图像。用户可以上传一定数量的超声图像,然后根据需要选择超声筛查部分,在提交图像后,由模型计算预测结果,并用直方图显示模型图的置信度。




毕明杰对学术君表示:“下一步我们计划将部分乳腺超声图像数据公开,并可能以数据竞赛的形式让更多人参与到 AI 辅助乳腺癌诊断的相关研究中。另外,我们正在尝试收集更多的乳腺癌超声影像,计划采用自监督学习的方法提高现有模型的准确率。目前准确率还不足以应用于临床实践。我们会继续提高识别精度,达到专家认可的准确率后再尝试在医院中临床应用。”

正如研究人员所说,
人工智能的确是未来医学的核心,借助交叉引用越来越多的数据,辅助手术、远程患者监控、智能假肢和个性化治疗都将成为未来医学的核心。


参考资料:

www.sonobreast.ai

点击 阅读原文 ,查看更多精彩!
喜欢本篇内容,请点在看
登录查看更多
1

相关内容

北京智源人工智能研究院(Beijing Academy of Artificial Intelligence,BAAI)是落实“北京智源行动计划”的重要举措,在科技部和北京市委市政府的指导和支持下,由北京市科委和海淀区政府推动成立,是依托北京大学、清华大学、中国科学院、百度、小米、字节跳动、美团点评、旷视科技等北京人工智能领域优势单位共建的新型研发机构。在2018年11月14日举行的2018中国(北京)跨国技术转移大会开幕式上,智源研究院正式揭牌。
【复旦大学-SP2020】NLP语言模型隐私泄漏风险
专知会员服务
25+阅读 · 2020年4月20日
专知会员服务
29+阅读 · 2020年3月6日
【华侨大学】基于混合深度学习算法的疾病预测模型
专知会员服务
97+阅读 · 2020年1月21日
肿瘤微环境评分: 预测肿瘤免疫治疗疗效的新方法
2017-2018年抗肿瘤药物行业研究报告
行业研究报告
7+阅读 · 2018年11月1日
苦尽甘来:AI为更有效地治疗抑郁症带来希望
英伟达NVIDIA中国
10+阅读 · 2018年3月1日
Deep learning for cardiac image segmentation: A review
Arxiv
21+阅读 · 2019年11月9日
Question Generation by Transformers
Arxiv
5+阅读 · 2019年9月14日
Arxiv
4+阅读 · 2018年6月1日
VIP会员
相关VIP内容
【复旦大学-SP2020】NLP语言模型隐私泄漏风险
专知会员服务
25+阅读 · 2020年4月20日
专知会员服务
29+阅读 · 2020年3月6日
【华侨大学】基于混合深度学习算法的疾病预测模型
专知会员服务
97+阅读 · 2020年1月21日
Top
微信扫码咨询专知VIP会员