为什么运煤的火车没有盖子?这些日常物品的原理让人大开眼界

2019 年 1 月 9 日 中科院物理所

今天,小编带来了一些非常有趣的机械动图,让你秒懂日常物品的制造和工作原理。一起来看看吧!



△ 一些食品厂商会专门雇人把一箱一箱的水果扒拉出来,但也有人雇佣机器人倒水果。

@GalacticConquest



△ 运煤火车在发电厂这样卸货。这种火车的卸货设备叫做转筒式翻车机,它是最常用的铁路翻车机,用于自动卸载没有盖子的火车车厢。

@AnguishedHandyKob


衣架是怎么拗出来的。



△ 70年代的汪克尔发动机。它属于无活塞内燃机,是德国工程师 Flix Wankel 在1929年发明的。因为汪克尔发动机噪音小,功率重量比比活塞式发动机高,因此受到许多汽车生产厂商的欢迎,它们后来陆续对其进行了改良。

看到汪克尔发动机里面转动的奇怪的装置了吗?它的形状叫做勒洛三角形,它是一种很奇特的形状,在世界上,让窨井盖不会掉下去的形状除了圆形就是勒洛多边形了。



△ 机场会定期去除飞机轮胎留下的橡胶,从而增加下面的水泥或沥青和飞机的摩擦,减少打滑的可能性。这种橡胶胎印去除设备通常利用高压水枪把橡胶喷除。除了机场,赛车跑道也需要进行这样的处理。

@Rohsler&Co


△ 制造纸盒的机器。


△ 铁丝网是这样拗出来的。



△ 泡沫塑料切割车床利用电热丝刀具,可以切割出形状多样的泡沫塑件,这些泡沫塑件可以进一步用在包装、建筑,还有3D制图教学中。你收到的快递的泡沫塑料包装可能就是这么来的。

@CNC


△ 自动驾驶道路划线机。你没看错,车上没有司机。

@STiM company


△ 德克萨斯州农工大学做的卡车撞击测试,测试的不是卡车,而是路障。这种能把卡车挤爆的路障可以保护美国在海外的领馆。

@NewYorkDailyNews


△ 能把雪压成压缩饼干的除雪机。

@Snocom



△ 巨重的下水道盖子是怎么用磁性开启工具打开的。

@MTA Messtechnik GmbH


△ 拗钢丝的机器。

@CNC



△ 制作蛋筒的机器。



△ 测飞机场跑道摩擦力的机器。前面的管子喷射测试液,后面的测试轮记录摩擦力数据。

@skiddometer


△ 自行车上的气门芯,准确地说是美式气门芯(Schrader valve)的工作原理。打开气门嘴盖后,美式嘴会露出一根具有外螺纹的铜管,里面的空气通道叫作气门嘴本体。本体中间的芯腔锁著一个气芯,气芯里面有一根由螺旋弹簧支撑的芯杆,按下芯杆即可充或泄气。

@wikipedia


法式的气密性好于美式,所以越野自行车一般用美式,公路自行车一般用法式。英式主要是英国和我国使用,因为我国的自行车工业一开始学的是英国。



△ 打火石式打火机打火的过程。这种打火机的那圈圆形的转轮和打火石(也叫发火合金,铁铈齐)摩擦,打火石产生火花,火花点燃打火机口部的气态燃料。




△ 迪斯尼动画老电影里的景深怎么做的。

@Disney Family


看了这么多日常物品的原理,来看看一些超好玩的黑科技彩蛋吧。



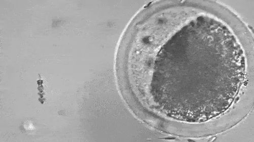
△ 2016年,德国科学家设计了一种金属纳米机器人,它可以抓住没用(游不动)的精子,在磁场的引导下把它拎到卵子那里,使卵子受精。

这种辅助生育技术听起来厉害极了,但是它有个缺点——在让精子和卵子相遇的时候,机器人常常不愿意撒手,因为精子的尾巴常常缠绕在机器人身上。这项研究发表在《奈米通讯》(Nano Letters)上。



仓鼠驱动的 strand beast。

Strander Beast 是物理学家转行的艺术家 Theo Jansen 在90年代发明的利用风能行走的装置。被做成玩具后受到世界人民的欢迎。网友 crabfuartworks 把它和仓鼠球连在了一起。




△ 澳洲癌症治疗机构 Peter MacCallum Cancer Centre 展示了一个叫做达芬奇的手术机器人在一个玻璃瓶里给一粒葡萄缝皮的过程。目前我国几十多家医院拥有达芬奇手术机器人。


△ 这个机器需要137亿年才能使末端的齿轮完成一圈转动。

137亿年?对天文物理学敏感的同学已经猜到了,这个机器是不是和宇宙大爆炸有什么关联?

没错,它的名字就叫做 kinetic sculpture: The Big Bang,是工程师 Arthur Ganson 设计的,目前在麻省理工学院博物馆里展出。在这个机器里,相邻齿轮的转速呈指数级下降,最后一个齿轮要在137亿年后才会完成一圈转动。


来源:把科学带回家

编辑:蓲阳


近期热门文章Top10

↓ 点击标题即可查看 ↓

1. 女生冬天穿那么少不冷吗?我找了个男生试了下......

2. 严肃科普:如何区分奥特曼

3. 人类花百年规划设计的铁路网,这些无脑生物26小时就搞定了

4. 2018 年最冷科学知识 Top 10

5. 一幅图读懂量子力学(Ⅳ)

6. Physics World 评选出2018年度十大科学突破

7. 昨晚,我在秋名山输给了一个沙发……

8. 假如有人告诉你这个世界的本质是弹簧,你愿意相信吗?

9. 磁铁可以只有一极吗?它或许能打开万物理论之门

10. 上坡要刹车; 下坡踩油门,关于怪坡你了解多少?

点此查看以往全部热门文章


登录查看更多
0

相关内容

卸载从硬盘删除程序文件和文件夹以及从注册表删除相关数据的操作
斯坦福2020硬课《分布式算法与优化》
专知会员服务
123+阅读 · 2020年5月6日
【MIT】Yufei Zhao《图论与加法组合学》,177页pdf
专知会员服务
51+阅读 · 2020年4月27日
【机器学习课程】Google机器学习速成课程
专知会员服务
170+阅读 · 2019年12月2日
卷积神经网络数学原理解析
算法与数学之美
20+阅读 · 2019年8月23日
我是怎么走上推荐系统这条(不归)路的……
全球人工智能
11+阅读 · 2019年4月9日
实例详解贝叶斯推理的原理
算法与数学之美
3+阅读 · 2017年10月3日
中美日全球美女机器人大PK,哪一款是你想要的味道?
机器人大讲堂
4+阅读 · 2017年9月16日
无人驾驶汽车
劲说
6+阅读 · 2016年8月26日
3D-LaneNet: end-to-end 3D multiple lane detection
Arxiv
7+阅读 · 2018年11月26日
Arxiv
7+阅读 · 2018年11月1日
Arxiv
7+阅读 · 2018年5月23日
Arxiv
5+阅读 · 2018年4月22日
Arxiv
6+阅读 · 2018年2月26日
VIP会员
相关资讯
卷积神经网络数学原理解析
算法与数学之美
20+阅读 · 2019年8月23日
我是怎么走上推荐系统这条(不归)路的……
全球人工智能
11+阅读 · 2019年4月9日
实例详解贝叶斯推理的原理
算法与数学之美
3+阅读 · 2017年10月3日
中美日全球美女机器人大PK,哪一款是你想要的味道?
机器人大讲堂
4+阅读 · 2017年9月16日
无人驾驶汽车
劲说
6+阅读 · 2016年8月26日
Top
微信扫码咨询专知VIP会员