NIH发布包含10600张CT图像数据库 为AI算法测试铺路

美国国立卫生研究院(NIH)最近发布了一个庞大的胸部X光数据库,现已公开近10600张CT扫描图像,以支持医疗人工智能算法的开发和测试。这个大型成像数据库被称为DeepLesion,是由美国国立卫生研究院的Ronald Summers及其同事创建的。他们对其机构里的放射科医生的CT扫描结果进行了临床相关的标注。


Summers是NIH影像生物标记和计算机辅助诊断实验室的高级研究员和放射学家。

根据美国国立卫生研究院的说法,这些标注通常很复杂,包括描述病变大小和位置的箭头、线条、分割和文本,以便让临床医生可以监测疾病变化。标注医学图像需要广泛的临床经验,并且会耗费大量时间。

实际上,缺乏可用于训练AI算法的大型医学图像数据库一直被认为是AI技术寻求突破的主要障碍之一。Summers及其同事的努力就是为了改变这种状况,至少在X光方面 。去年他们发布了ChestX-ray8数据库,库中包含了100000张X光图像。

DeepLesion通过提供足够强大的CT扫描数据库和附带的标注来训练深度神经网络,从而帮助绕过这些障碍。美国国立卫生研究院建议,有朝一日可以“使科学界能够创建一个具有统一框架的大规模通用病变检测器”。

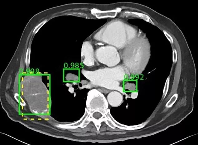
该数据库包括来自马里兰州贝塞斯达NIH临床中心的4400多名患者的大约10600项研究。虽然目前大多数数据库包含10至数百个单一类型的病变,但该组设计的DeepLesion可容纳超过32000个病灶,涵盖各种放射学发现,如肺结节、淋巴结肿大和肝肿瘤。


有了多范畴的病变数据库,DeepLesion为研究人员提供了开发人工智能算法的机会,能够自动检测和诊断多种病变类型。美国国立卫生研究院指出,未来它还可能发展成为一个通用病变检测器,可用作初始筛选工具,并将其结果发送到其他更专业的算法。此外,研究人员可能可以在同一次CT扫描中研究不同类型病变之间的关系,从而全面评估癌症负担。

为了开始展示这种潜力,Summers及其同事用DeepLesion数据库来训练一个典型的通用病变检测器,以发现各种病变。他们的探测器灵敏度达到81.1%,每个图像有5个假阳性。

研究人员计划继续向DeepLesion添加图像,以提高检测器的准确性,他们希望将MRI扫描包含在数据库中,并结合未来多家医院的数据。该研究小组认为,除了病变检测外,该数据库还可以帮助训练算法对病变进行分类,并根据现有模式预测病变的发展。

数据库的下载地址:

https://nihcc.app.box.com/v/DeepLesion


来源:

https://www.cnbeta.com/articles/tech/753991.htm


专 · 知

人工智能领域主题知识资料查看与加入专知人工智能服务群

专知AI知识技术服务会员群加入与人工智能领域26个主题知识资料全集获取欢迎微信扫一扫加入专知人工智能知识星球群,获取专业知识教程视频资料和与专家交流咨询


请PC登录www.zhuanzhi.ai或者点击阅读原文,注册登录专知,获取更多AI知识资料

请加专知小助手微信(扫一扫如下二维码添加),加入专知主题群(请备注主题类型:AI、NLP、CV、 KG等)交流~

 AI 项目技术 & 商务合作:bd@zhuanzhi.ai, 或扫描上面二维码联系!


关注专知公众号,获取人工智能的专业知识!

点击“阅读原文”,使用专知

展开全文
Top
微信扫码咨询专知VIP会员