【导读】抗击新冠肺炎疫情还在继续。人工智能深度学习技术在抗击疫情方面有何作用?最近武汉大学人民医院在medRXiv预印版本论文,构建一个基于深度学习的系统,在高分辨率CT上检测2019-nCoV肺炎,减轻放射科医生的工作压力,提高诊断效率。在2月份真实病例数据上的实验结果揭示,基于深度学习的模型在更短的时间内取得了与专家放射科医师相当的效果。它在提高诊断效率、减轻一线放射科医师的工作压力、加快COVID19患者的诊断、隔离和治疗等方面具有巨大的潜力,有助于控制疫情。值得一提的是,该工作也得到了Keras作者 François Chollet的推评,本工作用到了Keras。
地址:
https://www.medrxiv.org/content/10.1101/2020.02.25.20021568v1
背景: CT是评估肺炎冠状病毒感染的首选影像学方法。我们的研究目的是构建一个基于深度学习的系统,在高分辨率CT上检测2019-nCoV肺炎,减轻放射科医生的工作压力,提高诊断效率。
方法: 收集了2019-nCoV肺炎患者40例21661张CT扫描图像和24例非2019-nCoV感染患者5100张CT扫描图像,训练卷积神经网络模型检测2019-nCoV肺炎。收集了11例和31例具有和不具有2019-nCoV肺炎的患者进行回顾性检测。前瞻性收集武汉大学人民医院于2020年2月5日连续接受CT扫描的27例患者,以评估和比较放射科医师对2019-CoV肺炎的治疗效率。
结果: 该模型对每个患者的敏感性为100%,特异性为93.55%,准确性为95.24%,PPV为84.62%,NPV为100%; 在回顾性数据集中,每幅图像的灵敏度为94.34%,特异性为99.16%,准确性为98.85%,PPV为88.37%,NPV为99.61%。在27名预期患者中,该模型与专家放射科医生相比,具有更短的阅读时间(41.34s [IQR 39.76-44.48] vs. 115.50s [IQR 85.69-118.17])。
解释: 我们已经开发了一个深度学习模型,显示了与专家放射科医生使用更短的时间的可比性能。这对提高临床诊断的效率,减轻放射科医师的工作压力具有很大的潜力。
摘要:
2019年12月,武汉首次报道一种新型冠状病毒感染疾病(以下简称COVID-19)。随后,疫情开始在中国乃至国外广泛传播[1-3]。
COVID-19新冠肺炎临床表现复杂,可表现为发热、咳嗽、肌痛、头痛、胃肠道症状。虽然核酸检测被认为是判定COVID-19感染的决定性因素,而且新型冠状病毒的快速检测工具已经大量生产,但CT扫描仍然是检测和评估肺炎严重程度的最有效方式。[5]更新序列显示,在所有140例经实验室确诊的COVID-19患者中,CT检查结果均为阳性,甚至在早期也是如此。[4,6]在国家卫生健康委员会发布的COVID-19诊断手册第五版中,肺炎的影像学特征被纳入湖北省临床诊断标准。随后,在2020年2月13日的一天内,武汉报告了14840例新的COVID-19病例,包括13332例临床诊断。[8]提示CT在COVID-19肺炎诊断中的重要性。
由于COVID-19的爆发,成千上万的患者在武汉等城市指定的发热门诊医院排队等待CT检查。截至2月14日,湖北省共有5534例疑似病例,38107例确诊病例正在医院接受治疗,77323例正在接受医学观察。据《中国卫生统计年鉴》(2018年)显示,湖北省目前有不到4500名放射科医生,其中大部分需要接受CT检查。同时,由于COVID-19感染早期肺部感染灶小,诊断时通常需要较薄的层扫描(2.5mm、1.25mm甚至0.625mm),而不是常规的CT扫描(5mm),这样更费时。这些都使得放射科医生超负荷工作,延误了对患者的诊断和隔离,影响了患者的治疗和预后,最终影响了COVID-19疫情的控制。
深度学习是近十年来人工智能领域的一个重要突破,在图像分析中提取微小特征方面具有巨大的潜力。本课题组还成功招募了该技术用于微小病变的检测和实时协助医生进行胃肠道内镜检查。[12-16]
在本研究中,我们构建并验证了一个基于深度学习的病毒性肺炎CT识别系统。我们的模型具有与专家放射科医师相当的性能,但花费的时间要少得多。
方法
病人
数据集
如图1所示,共收集51例COVID-19肺炎患者和55例其他疾病对照患者的46,096张CT扫描图像,用于建立COVID-19肺炎的模型。在过滤了那些没有良好肺炎的图像后,选择了35355张图像,并将其分成训练和回顾性测试数据集。在训练数据集中登记的图像几乎涵盖COVID19肺炎的所有常见CT特征,如图2所示。3名具有5年以上临床经验的放射科医师在训练数据集中标记COVID19肺炎患者的感染病症,在检测集中选取包含COVID19肺炎病灶的影像,并将其标记进行一致合并。为了对模型进行前瞻性测试,进一步收集了2020年2月5日在武汉大学人民医院连续接受CT扫描的27名患者的13911张图像。所有CT扫描均在武汉大学人民医院进行。本研究使用的仪器包括Optima CT680, Revolution CT和Bright Speed CT扫描仪(全GE医疗)。
训练算法
在回顾性数据中对模型进行测试
结果
模型在回顾性数据集上的性能
在11例covid19肺炎患者的4382张CT图像和31例对照组患者的9369张CT图像中,模型对患者的诊断正确率分别为100%,特异性为93.55%,正确率为95.24%,PPV为84.62%,NPV为100%。每幅图像的灵敏度为94.34%,特异性为99.16%,准确度为98.85%,PPV为88.37%,NPV为99.61%。模型预测的代表性图像如图4所示。
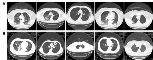
图4 模型预测的代表性图像。A. COVID19肺炎的CT图像。人工智能模型和放射学家的预测是一致的。绿色方框,放射科医生的标签; 红色的盒子,模型的标签。B.对照组CT图像。第一张是普通细菌性肺炎,显示右下肺叶实变。第二张图片为肺部肿瘤病变,左上肺叶有肿块,边缘有毛刺,叶状生长,内部有液泡。第三张图片是继发性肺结核,显示左侧根尖纤维束。第四张图片为支气管扩张合并感染,表现为支气管扩张、扩张、囊性改变及周围感染斑块。第五张图显示的是正常的肺。
该模型在连续预期患者中的表现
在前瞻性数据集中登记了27名患者。放射科专家诊断为病毒性肺炎16例(59.26%),其余11例未诊断为病毒性肺炎。另外两名放射科医师回顾了CT影像,认可了专家的诊断结果,总结出未被专家诊断的11例患者的CT特征为:磨砂玻璃结节5例,小结节3例,正常结节2例,纤维硬化1例。
该模型成功检测了经专家诊断的16例病毒性肺炎患者。其余11例患者中,模型检测2例。预测一个病例是纤维硬化病变,另一个是正常的胃泡。以放射科医师的诊断结果为真实标准,该模型对27例预期患者的敏感性为100%,准确率为92.59%,特异性为81.82%,PPV为88.89%,NPV为100%。在放射科诊断为病毒性肺炎的16例患者中,8例入院患者被确诊为COVID-19感染,其余为难以随访核酸结果的门诊患者。模型的平均预测时间为每位患者41.34s (IQR 39.76-44.48)。模型对COVID-19肺炎的检测结果如表3所示。
表3 深度学习模型在回顾性和前瞻性数据集上的性能
人工智能辅助下放射科医师工作效率的比较
放射科专家在第一次阅读27例预期患者的CT扫描图像时,判断每例患者是否患有病毒性肺炎的平均阅读时间为116.12s (IQR 85.69-118.17)。在10天的冲洗期后,同一位专家放射科医生在人工智能模型的帮助下重新阅读了27位预期患者的CT图像。确定每个患者是否有病毒性肺炎的结果没有改变,专家的平均阅读时间大大减少了65%。这说明在人工智能的帮助下,放射科医师的工作效率可以得到很大的提高。
网站已经可以提供免费获取当前模型(http://121.40.75.149/znyx-ncov/index)(图5)。CT扫描图像可以上传的临床医生和研究作为第二意见咨询服务,特别是在其他省份或国家不熟悉COVID-19的辐射特性。COVID-19肺炎病例也可在开放访问网站上获得,这可能是放射科医生和研究人员对抗COVID-19肺炎的有用资源。
图5 开放式人工智能平台主界面,为COVID19肺炎检测提供快速、灵敏的辅助
结论
截至2020年2月14日,国家卫生健康委员会报告了66492例确诊病例,1523例死亡病例和8969例疑似病例。面对如此多的患者和新型冠状病毒的高传染性(估计繁殖数R0为2.2~6.47),及时诊断和隔离是防止病毒进一步传播的关键。CT扫描是筛查和临床诊断COVID-19肺炎最有效的方式。[5,7]但相对于患者的需求,放射科医师的数量相对较少,尤其是在中国湖北省,这将大大延迟患者的诊断和隔离,影响患者的治疗和预后,最终影响COVID-19疫情的整体控制。
深度学习技术在提取放射学数据中的微小特征方面表现出良好的性能,有望缓解这一问题。近期[11]、Ardila D等实现了低剂量胸部CT端到端肺癌筛查,AUC为94.4%。[27] Chae KJ等人成功地利用卷积神经网络对CT扫描图像上的小结节(≤2cm)进行了分类。然而,很少有研究被用于检测病毒性肺炎。[11,27,28]在以往的工作中,我们小组成功招募了在微小病变检测方面的深度学习,以及在胃肠道内镜方面对医生的实时协助。[12-16]在这里,我们登记了CT图像中COVID-19肺炎的识别技术。回顾性和前瞻性患者的结果表明,该模型与放射专家水平相当,在减少诊断时间方面有很大潜力。(图6)
综上所述,基于深度学习的模型在更短的时间内取得了与专家放射科医师相当的效果。它在提高诊断效率、减轻一线放射科医师的工作压力、加快COVID19患者的诊断、隔离和治疗等方面具有巨大的潜力,有助于控制疫情。
参考文献:
Hui D S, Madani T A, Ntoumi F,et al. The continuing COVID-19 epidemic threat of novel coronaviruses to globalhealth-The latest 2019 novel coronavirus outbreak in Wuhan, China. International journal of infectiousdiseases: IJID: official publication of the International Society forInfectious Diseases 2020;91:264.
Holshue ML, DeBolt C, LindquistS,et al. First Case of 2019 Novel Coronavirus in the United States. N Engl J Med 2020 Jan 31.doi:10.1056/NEJMoa2001191.
Rothe C, Schunk M, Sothmann P,et al. Transmission of COVID-19 Infection from an
Asymptomatic Contact in Germany. N Engl J Med 2020 Jan 30.doi:10.1056/NEJMc2001468.
Huang C, Wang Y, Li X, et al.Clinical features of patients infected with 2019 novel coronavirus in Wuhan, China. The Lancet 2020 Jan 24. doi:10.1016/S0140-6736(20)30183-5.
Guan H, Xiong Y, Shen N, et.Clinical and thin section CT features of patients with COVID-19 pneumonia inWuhan. Radiologic Practice 2020.
Chen N, Zhou M, Dong X, et al.Epidemiological and clinical characteristics of 99 cases of 2019 novel coronavirus pneumoniain Wuhan, China: a descriptive study. TheLancet 2020 Jan 30. doi:10.1016/S0140-6736(20)30211-7.
National Health and HealthCommission of China.http://www.nhc.gov.cn/yzygj/s7652m/202002/e84bd30142ab4d8982326326e4db22ea.shtml
更多请下载论文查看
便捷下载,请关注专知公众号(点击上方蓝色专知关注)
后台回复“DLCT” 就可以获取《深度学习用于新冠肺炎CT诊断表现如何?武大人民医院medRxiv论文》专知下载链接