【新开放书】医学影像原理与应用,Medical Imaging Principles and Applications

【导读】一些独特的医学成像视角,如前沿的成像方法、数据分析、与神经认知功能更好的相关性,以及疾病监测的详细示例和总结,可能有助于传达医学成像原理和应用的方法学、技术和发展信息。这本书的目的是为初学者和医学成像领域的专家提供一般的图像和详细的描述成像原理和临床应用。具有最前沿的应用和最新的分析方法,这本书将有望获取医疗成像研究领域的同事的兴趣。精确的插图和彻底的审查,在许多研究课题,如神经成像定量和相关性,以及癌症诊断,是这本书的优势。



新书地址:

https://www.intechopen.com/books/medical-imaging-principles-and-applications



1.  结构和功能连接的纵向变化以及与神经认知指标的相关性 (Longitudinal Changes of Structural and Functional Connectivity and Correlations with Neurocognitive Metrics)By Yongxia Zhou


考虑到许多与年龄相关的风险,包括血管和神经炎症的增加,以及可能混淆基准功能磁共振参数图像,在相对较短的时间内揭示个体水平上的脑功能和微观结构变化尤其重要。细胞水平的轴索损伤和/或脱髓鞘以及弥散的中观水平物质异常聚集和结构/功能异常可在短的亚急性/急性期发生,而与年龄纵向变化相关的文献仅局限于我们以前的fMRI发现。纵向数据用来描述这些多参数,包括随机截距和个体间隔。性别交互作用对DTI分数各向异性(FA)和扩散系数均无显著影响。区间有效区域表现出FA的纵向变化,径向扩散系数(RD)/轴向扩散系数(AX)值与截面数据的老化结果相似。在DTI和fMRI指标之间,以及成像和神经认知数据(包括速度和记忆力)之间,发现了显著的相关性。我们的结果表明,年龄、性别和载脂蛋白E (APOE)基因型对结构和功能连接在短间隔和横断面范围内的显著和一致的影响,以及相关的神经认知功能。


https://www.intechopen.com/books/medical-imaging-principles-and-applications/longitudinal-changes-of-structural-and-functional-connectivity-and-correlations-with-neurocognitive-


2. 功能磁共振成像在神经性疼痛中的应用 The Application of Functional Magnetic Resonance Imaging in Neuropathic Pain By Zhi Dou and Liqiang Yang


在过去,神经性疼痛一直缺乏理想的影像学研究方法,这不仅限制了我们对神经性疼痛发病机制的研究,而且严重影响了治疗的预后。近年来,随着fMRI技术的飞速发展,越来越多的学者开始将fMRI技术应用于神经性疼痛的研究。这为揭示神经性疼痛的内在机制和改进临床治疗理念提供了新的思路。在这一章中,我们对fMRI在神经性疼痛中的最新研究进行了综述,以便读者更好的了解研究现状和未来的研究方向。


https://www.intechopen.com/books/medical-imaging-principles-and-applications/the-application-of-functional-magnetic-resonance-imaging-in-neuropathic-pain



3. 电离辐射与物质的相互作用,x射线计算机断层成像,核医学SPECT, PET和PET- ct断层成像 The Ionizing Radiation Interaction with Matter, the X-ray Computed Tomography Imaging, the Nuclear Medicine SPECT, PET and PET-CT Tomography Imaging By Evangelos Gazis


描述了重带电粒子、电子和光子与物质的电离辐射相互作用的机理。这些影响造成能量损失的辐射与吸收或衰减的顺序效应提出。介绍了几种具有相关电子学和数据采集系统(DAQ)的特征检测系统的特点。这些探测器与医学成像传感器系统有关。介绍了单光子计算机断层扫描(SPECT)、正子断层扫描(PET)和PET- ct联合成像在医学成像过程中的特点。计算机x射线断层摄影,称为CT,和核医学断层摄影被提出,实现了大部分以前的部分,因为他们被定义为PET和SPECT成像加上PET与CT的结合PET-CT。


https://www.intechopen.com/books/medical-imaging-principles-and-applications/the-ionizing-radiation-interaction-with-matter-the-x-ray-computed-tomography-imaging-the-nuclear-med


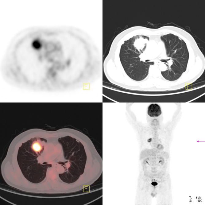
4. PET-CT的原理及其在肺癌治疗中的应用 PET-CT Principles and Applications in Lung Cancer Management By Long Chen, Hua Sun and Yunchao Huang


肺癌是世界上最常见的恶性肿瘤;正电子发射断层扫描(PET-CT)结合了来自PET的新陈代谢信息和来自CT的解剖学细节,这是目前最先进的技术。本文介绍了PET-CT及其在肺癌诊断、分期和治疗中的应用。从肺癌的临床特点、分型、分级、病理、PET-CT的原则、诊断和治疗的评价等方面进行了综述。详细说明了每种癌症亚型、分期标准和分类。内容将有利于临床医生以及放射科医生。




https://www.intechopen.com/books/medical-imaging-principles-and-applications/pet-ct-principles-and-applications-in-lung-cancer-management



5. 医学影像处理技术的研究 Research in Medical Imaging Using Image Processing Techniques By Yousif Mohamed Y. Abdallah and Tariq Alqahtani


医学成像是为了识别或研究疾病而获取身体部位的医学图像的过程。全世界每周都有数百万的成像过程。由于图像处理技术的发展,包括图像识别、分析和增强,医学影像正在迅速发展。图像处理增加了检测组织的百分比和数量。本章介绍了简单和复杂的图像分析技术在医学成像领域的应用。本章还总结了如何使用不同的图像处理算法(如k-means、基于roi的分割和分水岭技术)来举例说明图像解释的挑战



https://www.intechopen.com/books/medical-imaging-principles-and-applications/research-in-medical-imaging-using-image-processing-techniques


便捷下载,请关注专知公众号(点击上方蓝色专知关注)

  • 后台回复“MIP” 就可以获取《医学影像原理与应用》新书下载链接索引~ 


专 · 知


专知,专业可信的人工智能知识分发,让认知协作更快更好!欢迎注册登录专知www.zhuanzhi.ai,获取5000+AI主题干货知识资料!
欢迎微信扫一扫加入专知人工智能知识星球群,获取最新AI专业干货知识教程视频资料和与专家交流咨询
点击“阅读原文”,了解使用专知,查看5000+AI主题知识资料
展开全文
Top
微信扫码咨询专知VIP会员